El manejo incluyó quimioterapia con paclitaxel e inmunoterapia con cem...
El manejo incluyó quimioterapia con paclitaxel e inmunoterapia con cem...
A pesar de tener niveles de ácido úrico "normales", el paciente sufrió...
El lipoma gigante en la región posterior del cuello que creció de 5 cm...
El diagnóstico correcto se estableció al cumplir los Criterios de Whip...
Este caso destaca la importancia de considerar diagnósticos alternativ...
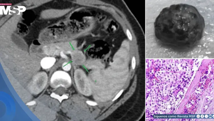
El adenomioma gástrico representa una entidad patológica infrecuente q...
El sarcoma de Kaposi puede presentarse en pacientes inmunocompetentes y VIH negativos, lo que retrasa su diagnóstico al confundirse con enfermedades más comunes como la celulitis o la dermatitis por estasis.
La cirugía reveló tres testículos izquierdos independientes, sin presencia de cáncer, y el paciente logró alivio total del dolor tras la orquiectomía y colocación de una prótesis.
Paciente con cáncer de mama triple negativo metastásico fungiante, que tras progresar a dos líneas de quimioterapia, logró una respuesta clínica significativa con radioterapia ultrahipofraccionada
Las metástasis en el cuero cabelludo son una presentación poco común pero posible en pacientes con cáncer de mama metastásico, como se evidenció en dos casos clínicos de mujeres jóvenes con receptores hormonales positivos y HER2 negativo.
El diagnóstico se logró tras meses de tratamientos fallidos y estudios de imagen que revelaron una masa inflamatoria en la nasofaringe; la biopsia confirmó la presencia de vasculitis y anticuerpos PR3-ANCA, característicos de la GPA.
Paciente masculino de 50 años con reemplazo valvular mitral protésico en tratamiento anticoagulante desarrolló hematomas lingual y sublingual que comprometieron la vía aérea, requiriendo traqueostomía de emergencia
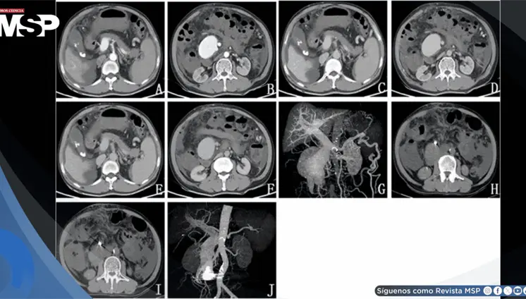
Las imágenes mostraron una aorta abdominal significativamente dilatada, con un diámetro transversal de 4.4 centímetros, muy por encima del límite normal de 3 centímetros.
La persistencia de los síntomas durante meses y la magnitud de la elevación inflamatoria generaron preocupación por infección oculta, malignidad o vasculitis de grandes vasos.
Las pruebas descartaron infecciones y enfermedades autoinmunes sistémicas, y la biopsia de piel apuntó a una inflamación vascular, reforzando la hipótesis de que el anticoagulante había desencadenado la reacción inmunitaria.
El abordaje incluyó corrección de la acidosis metabólica con líquidos, electrolitos, insulina y bicarbonato, además un tratamiento antibiótico dirigido contra la bacteria multirresistente, soporte nutricional con sonda nasogástrica y acompañamiento psicológico.
La fisiopatología se relaciona con la alta retención orofaríngea del medicamento y su posterior deglución. Hasta un 70% del corticosteroide puede depositarse y ser ingerido, exponiendo el esófago a los efectos inmunosupresores del fármaco y favoreciendo la proliferación de Candida.
Los hallazgos en resonancia magnética mostraron el patrón característico de edema vasogénico en regiones parieto-occipitales bilaterales.
El cuadro se caracterizó por neumonía necrotizante, aleteo auricular con respuesta ventricular rápida, insuficiencia cardíaca biventricular y formación de trombos intracardíacos bilaterales.
Este caso ilustra la dificultad del reconocimiento clínico de la enfermedad de Lyme en áreas no endémicas, especialmente cuando coexisten infecciones bacterianas oportunistas.
A pesar del inicio de tratamiento con corticoesteroides y hormonas tiroideas, el paciente falleció por insuficiencia cardíaca y neumonía, dejando en evidencia la gravedad y complejidad del síndrome de Cronkhite-Canada.
El desencadenante de la HLH fue una infección severa por Salmonella Typhi que causó un choque séptico. La autopsia reveló la presencia de esta bacteria y otros gérmenes, confirmando que la infección fue el evento que desató la respuesta inmunológica extrema.
Paciente con marcapasos reciente desarrolló endocarditis infecciosa por Staphylococcus epidermidis complicada con pseudoaneurisma del intervalo mitral-aórtico y perforación valvular mitral.
Los hallazgos sugieren que tanto la infección por SARS-CoV-2 como la vacunación podrían actuar como desencadenantes de trastornos autoinmunes en personas genéticamente susceptibles, aunque no se establece una relación causal definitiva.
Paciente con insuficiencia multiorgánica, hipoglucemia severa y úlceras duodenales tras inyectarse intencionalmente ocho veces su dosis habitual de semaglutida, en el primer caso documentado de intento de suicidio con este fármaco antidiabético.
A pesar de los análisis normales, presentaba reserva ovárica baja y hallazgos ecográficos anormales. Durante la cirugía se descubrió daño severo en sus órganos reproductivos, con adherencias, trompas bloqueadas y destrucción del tejido ovárico.
La compresión de la arteria coronaria principal izquierda (LMCA) por dilatación de la arteria pulmonar representa una complicación subdiagnosticada de la hipertensión pulmonar severa, con prevalencia del 6%.
El pólipo, de aproximadamente 3 × 1.7 × 1.5 cm, fue identificado mediante endoscopia y resecado completamente por polipectomía con asa diatérmica, con confirmación histopatológica de leiomioma positivo para Desmina y anticuerpo anti-músculo liso.
El caso destaca la importancia del reconocimiento temprano mediante tomografía computarizada y el manejo agresivo con drenaje percutáneo y antibioticoterapia de amplio espectro.
El aneurisma, detectado mediante una resonancia magnética, representaba un alto riesgo de ruptura y muerte, lo que obligó a una intervención urgente.
La paciente, quien había adoptado un gato callejero seis meses antes, consultó por disminución visual aguda del ojo izquierdo con escotoma central de una semana de evolución.
El adolescente sufrió lesiones graves en el intestino debido a la unión de más de 80 imanes de neodimio, lo que obligó a realizar una cirugía de emergencia y resección intestinal.
Se confirmó un embarazo intrahepático de 23 semanas, una condición extremadamente rara en la que el feto se desarrolló dentro del lóbulo hepático derecho, con irrigación directa de la arteria hepática y una placenta firmemente adherida al tejido del hígado.
Se destaca la importancia de mantener un alto índice de sospecha diagnóstica ante presentaciones urológicas atípicas en pacientes con factores de riesgo cardiovascular, especialmente cuando la evolución clínica no corresponde con el tratamiento instaurado.
Hombre desarrolló síntomas agudos de sudoración, náuseas y vómitos durante tomografía computarizada 4D, las imágenes revelaron pinzamiento de la vena cava inferior entre la aorta y el riñón derecho
El caso requirió cirugía urgente y una larga rehabilitación, con secuelas permanentes como daño nervioso, dolor crónico y fibromialgia, además de un fuerte impacto emocional y psicológico.
El paciente falleció durante la cirugía de un quiste hidatídico hepático, inmediatamente después de la inyección de peróxido de hidrógeno al 3% en la cavidad quística.
Un hombre con diabetes, hipertensión y fallo renal desarrolló gangrena en el pene tras una cirugía por calcifilaxis, una condición rara que provoca necrosis por acumulación de calcio en los vasos sanguíneos.
El diagnóstico se confirmó con ANA positivo (1:1280), anticuerpos anti-dsDNA, anti-Smith y anti-RNP positivos, leucopenia e hipocomplementemia.
Los estudios médicos confirmaron una úlcera extensa en el esófago, y los especialistas concluyeron que la causa fue una reacción adversa al uso prolongado de semaglutida, tras descartar otras posibles enfermedades o medicamentos.
Un inusual caso de malformación vascular mandibular (AVM) en una gestante de 39 semanas derivó en una hemorragia potencialmente mortal y parto por cesárea de emergencia.
Aunque inicialmente se sospechó una embolia pulmonar, los estudios descartaron tromboembolismo y evidenciaron una lesión quística mediastínica que, sin intervención quirúrgica, presentó una notable regresión posparto.
El paciente consumió pastillas de mentol durante dos décadas, desarrollando un síndrome clínico complejo caracterizado por alteración del estado de conciencia, rabdomiólisis severa, insuficiencia renal aguda y lesiones cutáneas extensas.
Trastorno que se caracteriza por hipersecreción ácida gástrica secundaria a la producción excesiva de gastrina.
La reparación quirúrgica con técnica de Krackow y seguimiento funcional permitió una recuperación completa del movimiento y la fuerza del tobillo.
El paciente requirió intubación nasotraqueal con fibra óptica debido a la inflamación de las vías respiratorias durante la cirugía, lo que complicó aún más el manejo anestésico.
El caso evidencia los retos diagnósticos que surgen cuando una neoplasia rara coincide con los cambios fisiológicos del embarazo, así como la complejidad terapéutica que implica equilibrar la seguridad materno-fetal frente a las limitaciones de recursos.
Este caso ilustra la importancia del síndrome de Sweet como posible manifestación heraldo de enfermedad inflamatoria intestinal subyacente y la necesidad de evaluación gastroenterológica sistemática en estos pacientes.
Caso de estenosis aórtica crítica que desarrolla shock obstructivo agudo días después de implante valvular transcatéter, revelando una rara complicación de carcinoma urotelial invasivo no diagnosticado.
La perforación septal permitió el drenaje parcial pero insuficiente del contenido menstrual. Esta clasificación tiene implicaciones terapéuticas directas, siendo la resección quirúrgica completa del tabique obstructivo (marsupialización) el tratamiento definitivo.
La evaluación odontológica reveló múltiples caries, ausencia de piezas dentales y hallazgos faciales críticos como la pérdida completa de la columela y destrucción casi total del tabique nasal.
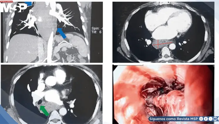
Tras múltiples evaluaciones cardíacas normales, estudios de imagen revelaron un schwannoma espinal a nivel D6-D7 como causa del dolor torácico neuropático.
Un caso de ruptura de absceso amébico en la vena cava inferior, con un trombo que se extiende hasta la aurícula derecha y tromboembolismo pulmonar tratado con éxito.
A pesar de encontrarse asintomática y hemodinámicamente estable, la ecografía transvaginal reveló implantación cornual izquierda con manto miometrial adelgazado y actividad cardíaca fetal.
La selección de estos agentes se sustentó en su cobertura complementaria: mientras el meropenem mostró actividad contra posibles patógenos gramnegativos aerobios, el metronidazol mantuvo su efectividad contra los anaerobios predominantes.
Paciente presentó una regurgitación aórtica aguda en el contexto de infección por COVID-19, atribuida a trombosis valvular pese a la anticoagulación terapéutica.
El paciente fue dado de alta tras un accidente de tráfico sin que se sospechara daño interno, ya que solo presentaba heridas superficiales y dolor leve.
Los médicos encontraron casi un litro de pus alrededor del corazón, confirmando una pericarditis purulenta que evolucionó a una forma constrictiva, impidiendo al corazón latir con normalidad.
La paciente fue diagnosticada con endometriosis del nervio ciático derecho tras años de dolor incapacitante y diagnósticos erróneos.
Los tumores presentaron un patrón histológico casi idéntico y localizado en el área de contacto directo con el dispositivo, lo que sugiere un posible efecto relacionado con la exposición prolongada a la radiación electromagnética.
El encuentro reunió a psiquiatras del centro hospitalario y de la comunidad para actualizar conocimientos sobre tratamientos emergentes y poblaciones vulnerables.
La clave estaba en entender que la tos violenta había generado una presión súbita en las arterias del cuello, causando un desgarro en la pared interna de la arteria carótida derecha.
El paciente había consultado a ChatGPT buscando alternativas al cloruro de sodio y, siguiendo esta información, reemplazó la sal de mesa por bromuro de sodio adquirido en línea.
La causa fue un traumatismo por sonda urinaria colocado mientras estuvo en coma por drogas. El roce prolongado y silencioso de la sonda había creado lentamente esta peligrosa comunicación interna entre a próstata/uretra y el recto
El caso pone de relieve la necesidad de sospecha clínica temprana y tamizaje sistemático de VIH en pacientes con Mpox.
Los hallazgos de laboratorio e imagen clínica llevaron al diagnóstico de un Síndrome Poliglandular Autoinmune Tipo 2, en el cual el sistema inmunitario ataca simultáneamente varias glándulas endocrinas.
El diagnóstico de Enfermedad Respiratoria Exacerbada por Aspirina (AERD) se confirmó mediante desafío oral con aspirina, evidenciando la tríada clásica de poliposis nasal, asma eosinofílica e hipersensibilidad a antiinflamatorios no esteroideos.
Los lipomas uterinos son tumores benignos poco frecuentes cuya histogénesis aún es incierta. Debido a su rareza y a los hallazgos radiológicos inespecíficos, suelen confundirse con leiomiomas o incluso con tumores malignos.
La paciente desarrolló simultáneamente un carcinoma mamario triple negativo de rápido crecimiento y un adenocarcinoma rectal invasivo, ambos confirmados como tumores primarios independientes.
Durante el ejercicio, la fricción y el sudor liberan químicos de la tela (como tintes o resinas de formaldehído) que penetran en la piel y, en personas sensibilizadas, desencadenan una reacción de hipersensibilidad retardada (tipo IV).
Paciente desarrolló babesiosis severa con shock cardiogénico secundario a miocardiopatía de Takotsubo tras picadura de garrapata en el noreste de Estados Unidos.
El informe describe el caso de un paciente joven sin factores de riesgo previos que desarrolló una lesión hepática extensa de diagnóstico complejo.
Paciente presenta ruptura intraperitoneal de quiste parasitario después de presión abdominal súbita, manifestando dolor intenso en hipocondrio derecho con irradiación al hombro.
El paciente presenta una neuropatía sensitivo-motora progresiva y crónica, con debilidad, pérdida de la sensibilidad vibratoria y táctil, así como alteraciones en la marcha y el equilibrio, lo que indica un compromiso neurológico difuso.
La trombosis de la vena espermática está asociada a enfermedades inflamatorias intestinales, como la colitis ulcerativa y la ileítis terminal, que generan un estado protrombótico debido a su naturaleza inflamatoria.
La investigación reveló más hallazgos: livedo reticular en la piel, úlceras bucales, anemia, trombocitopenia y alteraciones en coagulación, además de un historial de aborto, eclampsia y síntomas articulares.
Un caso médico inusual revela cómo la migraña común puede evolucionar hacia una forma devastadora y poco frecuente
El deterioro reciente del rendimiento escolar y la evaluación inicial por TDAH enmascararon el diagnóstico de feocromocitoma, confirmado mediante elevación significativa de metanefrinas plasmáticas.
El paciente presentaba una infección fúngica primaria por dermatofitos, complicada por una sobreinfección bacteriana por Pseudomonas aeruginosa.
La ingesta elevada de calcio (˜2,500 mg/día, más del doble de lo recomendado) provocó hipercalciuria y favoreció la formación de cálculos renales.
La evaluación hormonal y estudios de imagen confirmaron insulinoma pancreático, representando el primer caso documentado de esta asociación.
La mujer de 71 años, con antecedentes de histerectomía total y salpingooforectomía izquierda hace 30 años, presentó distensión abdominal progresiva y aumento de peso durante cuatro años.
Se ha confirmado que el VPH tipo 16 provoca el 70% de los carcinomas de cuello uterino y está relacionado con el carcinoma esofágico.
Los hallazgos operatorios fueron significativos: aproximadamente 50 cc de sangre en cavidad pélvica secundarios a ruptura de quiste ovárico derecho y un absceso de aproximadamente 75 cc con contenido purulento fétido.
La combinación de isotretinoína oral y suplementos de vitamina A generó un estado de hipervitaminosis A, lo que desencadenó hipertensión intracraneal idiopática, manifestada principalmente por cefalea resistente a analgésicos y papiledema.
El cuadro inició con infección respiratoria por virus sincitial respiratorio, que evolucionó a neumonía bacteriana y, tras el uso de antibióticos, desencadenó un episodio de colitis por Clostridioides difficile en una paciente con múltiples comorbilidades.
Tras 48 horas sin mejoría, la reevaluación neumológica identificó un dato crucial: uso diario de cigarrillos electrónicos durante el último mes. Este hallazgo orientó el diagnóstico hacia lesión pulmonar asociada a vapeo (EVALI).
La suspensión del fármaco y tratamiento esteroideo corto resultaron en recuperación completa.
El diagnóstico se confirmó mediante electromiografía que demostró lesión axonal del tronco superior del plexo braquial izquierdo.
Se debe mantener un alto índice de sospecha ante síntomas respiratorios persistentes, especialmente tos que perdura por más de tres semanas.
La pericarditis causa un engrosamiento y un endurecimiento significativo del pericardio.
El linfoma NK estaba localizado en el seno maxilar izquierdo, con edema inflamatorio circundante.
El linfoma extraganglionar de células NK/T es un subtipo raro de linfoma no Hodgkin que afecta principalmente a la cavidad nasal y otras áreas distintas a los ganglios linfáticos.
Hallazgos como los patrones de desgaste dental, la hipertrofia de los músculos maseteros, la presencia de contracturas en la musculatura cervical y una historia clínica detallada, son los pilares fundamentales para formular una hipótesis diagnóstica precisa.
El manejo con benzodiacepinas, baclofeno, gabapentina e inmunoglobulina intravenosa produjo mejoría significativa; en casos refractarios se plantean terapias como rituximab o recambio plasmático.
Según el autor del caso, incluso pacientes vacunados con Jynneos (la vacuna contra MPOX) pueden contraer la infección, aunque presenten formas más leves de la enfermedad.
Paciente femenina fenotípica presenta ausencia de menstruación y desarrollo mamario detenido, con hallazgos compatibles con disgenesia gonadal pura y riesgo elevado de tumores de células germinales.
El manejo incluyó antivirales y corticoides de urgencia, además de iniciar terapia antirretroviral. La inmunosupresión por VIH explica que la enfermedad fuera tan agresiva y con mayor riesgo de sordera o daño neurológico permanente.
Este caso evidencia la dificultad de identificar micosis fungoides en la infancia, ya que sus lesiones suelen confundirse con dermatosis benignas como eccema o pitiriasis alba.
Los anticonceptivos orales combinados pueden provocar trombosis venosa cerebral incluso en mujeres jóvenes y sin otros factores de riesgo.
Este fenómeno, conocido como Síndrome de la Bolsa de Orina Púrpura (PUBS), representa una manifestación visual distintiva de infección del tracto urinario por bacterias productoras de enzimas específicas.
Las especies nutricionalmente variantes como Granulicatella son de difícil diagnóstico y manejo, lo que exige antibioticoterapia prolongada y ajustes terapéuticos basados en la respuesta clínica.
La malformación provocó hipertensión pulmonar severa, disfunción ventricular izquierda y complicaciones como trombo auricular y aleteo auricular.
La resección tumoral resolvió de forma inmediata las alteraciones cardiovasculares y neuropsiquiátricas, lo que sugiere una secreción hormonal atípica responsable de la desregulación metabólica y clínica.
La tomografía reveló un absceso colónico con un objeto radiopaco incrustado, lo que llevó a una cirugía donde se extrajo la espina y se confirmó que no había tumor, sino inflamación crónica.
Dolor abdominal intenso, ictericia, orina oscura y heces pálidas fueron las señales que lo llevaron a urgencias, donde las pruebas revelaron un patrón claro de daño hepatocelular.
Medicina y Salud Pública
Medicina y Salud Pública


















