El menor un peso al nacer de 1,365 g, desarrolló síndrome de distrés respiratorio agudo en su primer día de vida, por lo que requirió soporte ventilatorio invasivo.

La literatura médica presenta el caso de un neonato masculino prematuro de 31,4 semanas de gestación, nacido por cesárea debido a la ausencia de flujo diastólico en la arteria umbilical y estado fetal insatisfactorio evidenciado en ecografía Doppler.
La madre, de 28 años de edad, tenía antecedentes de preeclampsia y un embarazo previo con muerte fetal a las 26 semanas por agenesia renal. No se reportaron antecedentes de trombofilia.
El neonato, con un peso al nacer de 1,365 g, desarrolló síndrome de distrés respiratorio agudo en su primer día de vida, por lo que requirió soporte ventilatorio invasivo y la administración de una dosis de surfactante pulmonar exógeno, con respuesta inicial favorable.
No obstante, en el tercer día de vida se inició tratamiento antibiótico de primera línea debido a hallazgos clínicos y de laboratorio sugestivos de sepsis neonatal precoz. Dos días después, se ajustó el esquema antibiótico ante la sospecha de neumonía.
El manejo incluyó un plan de recuperación nutricional mixto (enteral y parenteral) desde el segundo día de vida. A los 10 días de edad, presentó enterocolitis necrotizante en estadio IIB, lo que requirió acceso venoso central para nutrición parenteral total y antibioterapia de segunda línea.
A los 30 días de vida, se realizó intervención quirúrgica debido a isquemia intestinal del colon ascendente y dilatación grave de asas intestinales, practicándose ileostomía, apendicectomía profiláctica y lavado peritoneal.
Durante su evolución, presentó múltiples complicaciones que requirieron cirugías adicionales a los 32, 42, 56 y 82 días de vida para el manejo de perforaciones intestinales, peritonitis, obstrucción intestinal por adherencias y vólvulo intestinal. Se descartó la enfermedad de Hirschsprung mediante biopsias de colon descendente y sigmoide.
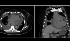
A los 90 días de vida, desarrolló un aumento del diámetro cervical lateral izquierdo, con irradiación a la hemiface izquierda, distensión yugular, cianosis central y taquipnea. Se sospechó síndrome de vena cava superior (SVCS), por lo que se retiró el catéter venoso central.
La ecografía Doppler reveló trombosis de la vena cava superior sin afectación de la unión de las venas yugular y subclavia en la aurícula derecha. Se inició anticoagulación con heparina de bajo peso molecular debido al riesgo de tromboembolismo pulmonar paradójico por foramen oval permeable.
Dado que no se observó mejoría con el tratamiento inicial, se realizó una reunión interdisciplinaria que determinó la necesidad de cavografía y flebografía, seguidas de trombectomía mecánica, trombolisis con alteplasa y angioplastia de la vena cava superior.
Durante el procedimiento, se halló un trombo compuesto en un 70% por material purulento y en un 30% por material hemático, lo que motivó la administración de antibioterapia con vancomicina y meropenem a dosis máximas. Se presentó sangrado abundante, requiriendo transfusión de hemoderivados y reanimación con fluidos intravenosos.
A pesar de los procedimientos, la sintomatología persistía, por lo que a los 102 días de vida se programó una segunda trombectomía mecánica con trombolisis continua por siete días. La angiografía de control mostró recanalización parcial de la vena cava superior y persistencia del trombo en la vena yugular interna derecha.
Se continuó con terapia anticoagulante y antiplaquetaria dual. A los 128 días de vida, presentó edema en el hemisferio derecho y circulación colateral, lo que motivó reinicio de heparina sódica en infusión continua. Finalmente, a los 146 días de vida y tras 56 días de tratamiento, se logró la recanalización completa.
El paciente fue dado de alta hospitalaria a los 210 días de vida, con manejo ambulatorio en el programa canguro y tratamiento anticoagulante oral. En estudios posteriores, el servicio de hematología confirmó el diagnóstico de síndrome de plaquetas pegajosas.
El SVCS en neonatos es una entidad poco frecuente, con evidencia limitada respecto a su tratamiento óptimo. La terapia anticoagulante con heparina de bajo peso molecular es preferida sobre la heparina no fraccionada por su mayor biodisponibilidad y menor necesidad de monitorización.
Sin embargo, en casos de persistencia del trombo, los autores (Ángela Milena Díaz-Díaz) señalan que la trombolisis con activador tisular del plasminógeno es la estrategia de elección, aunque se reserva para situaciones críticas por el riesgo de hemorragia.
Diversos estudios han evaluado el uso de trombolíticos en neonatos con catéteres venosos centrales, mostrando que la uroquinasa presenta mayor eficacia que la estreptoquinasa, y que la fibrinolisis intraluminal es superior a la administración sistémica.
La prevención de trombosis en pacientes con catéteres venosos centrales es esencial, con el uso de infusiones de heparina a bajas dosis para reducir el riesgo de trombosis intravascular.