Los niveles extremadamente altos de glucosa y los síntomas previos no ...
Los niveles extremadamente altos de glucosa y los síntomas previos no ...
La exposición crónica al arsénico puede causar HACRE, una enfermedad q...
Antes de la visita al especialista, resulta útil preparar una lista de...
Polímero innovador llamado OP, capaz de transportar insulina a través ...
A pesar de mostrar un aumento radiológico del tumor durante la quimioi...
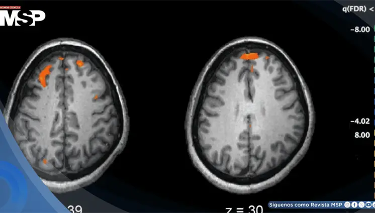
Experta destaca cómo el estrés y las emociones no controladas pueden d...
La actividad física no es opcional para quienes viven con diabetes; es una herramienta terapéutica comprobada que mejora el control de azúcar y previene complicaciones.
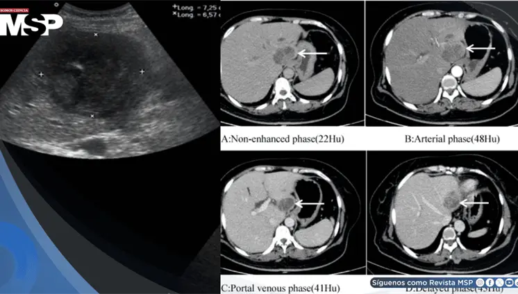
La ecografía y la tomografía abdominal detectaron lesiones hepáticas que imitaban otras enfermedades graves, pero la biopsia confirmó larva migratoria visceral hepática, una infección producida por la migración de larvas al hígado.
Un estudio reciente mostró que actúan como disruptores endocrinos y eliminarlos durante un mes reduce marcadores de riesgo de cáncer.
Fiebre prolongada, pérdida del olfato, dolor facial o congestión en un solo lado pueden indicar condiciones serias como sinusitis crónica o pólipos nasales.
Las mujeres con hipertensión gestacional presentan un riesgo significativamente mayor de insuficiencia cardíaca, accidentes cerebrovasculares y enfermedad coronaria en los siguientes cinco años tras el parto.
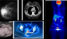
Este caso destaca la importancia de los estudios de imagen multimodales y plantea la necesidad de reconsiderar las estrategias de detección en mujeres no fumadoras, población en la que se observa un incremento creciente de esta neoplasia.
Especialista explica cómo tres sentidos "internos" poco conocidos son clave para entender los desafíos alimenticios en niños con autismo
Especialista explica que el diagnóstico de esta condición autoinmune genera culpa injustificada en muchas familias, a pesar de que no es prevenible.
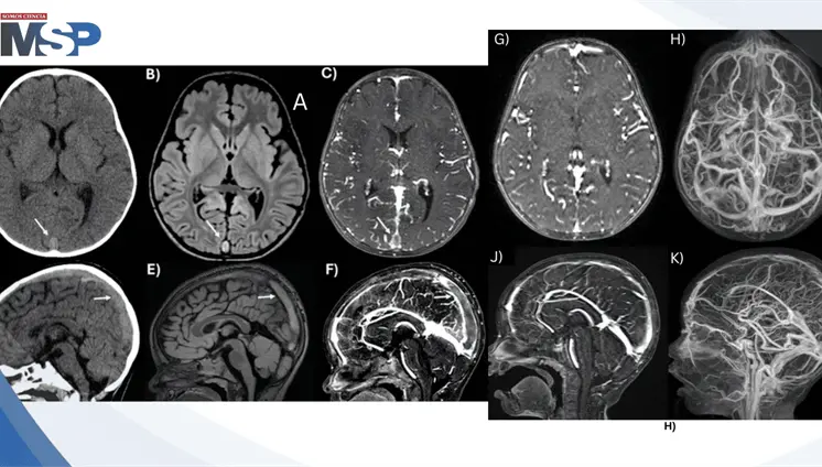
Los episodios de hemorragia cerebelosa, pérdida de visión y alteraciones severas del estado mental, junto con lesiones desmielinizantes progresivas. A pesar de tratamientos como esteroides, timectomía y plasmaféresis, la paciente continuó deteriorándose.
Estudio revela que el medicamento Rhosin mejora la capacidad regenerativa del sistema inmunitario al revertir el envejecimiento celular en la médula ósea.
Existen factores de riesgo como hepatitis B o C, cirrosis, consumo prolongado de alcohol, hígado graso, diabetes y enfermedades hereditarias que aumentan la probabilidad de desarrollarlo.
Aunque la transmisión a personas es extremadamente rara, el riesgo aumenta cuando hay contacto directo con aves infectadas. La vigilancia, el uso de protección y las medidas básicas de higiene son esenciales para evitar contagios.
#MSP: El lugar donde médicos, pacientes y profesionales de la salud pueden entrar. #SomosCiencia
Los estudios de neuroimagen revelaron vasculitis cerebral como complicación tardía, manifestándose con áreas de realce de contraste en sustancia blanca, edema vasogénico e infartos múltiples.
Tras la realización de un tatuaje en la pierna derecha, el individuo observó la aparición progresiva de placas eritemato-descamativas bien delimitadas, limitadas inicialmente al diseño tatuado.
La educación nutricional es esencial para que las personas puedan elegir bien en cualquier temporada del año los alimentos adecuados según sus características y necesidades, ya que entender etiquetas y tomar decisiones informadas es sumamente importante.
La Asociación de Enfermería Oncológica y Hematológica de Puerto Rico celebra su convención anual con énfasis en la humanización del tratamiento del cáncer.
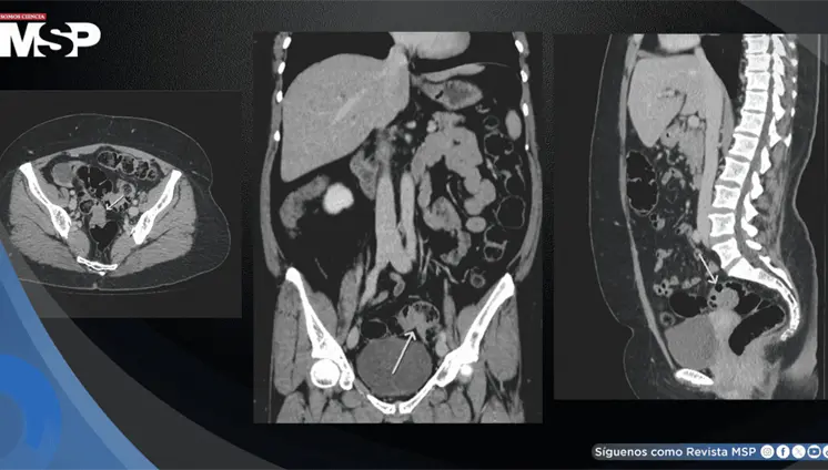
Se destaca la importancia de mantener un alto índice de sospecha diagnóstica ante presentaciones urológicas atípicas en pacientes con factores de riesgo cardiovascular, especialmente cuando la evolución clínica no corresponde con el tratamiento instaurado.
El humo de tercera mano se refiere a los residuos químicos y partículas que quedan en superficies y objetos después de que el humo del tabaco se haya disipado.
Sus causas son variadas: enfermedades inflamatorias intestinales, infecciones de transmisión sexual, infecciones alimentarias, antibióticos, cirugías intestinales, alergias en lactantes y radioterapia dirigida a la pelvis o el recto.
Investigación sugiere que las mujeres con alta densidad mamográfica tienen mayor probabilidad de desarrollar subtipos tumorales agresivos como HER2+ y triple negativo, especialmente en premenopáusicas y mujeres con sobrepeso.
Según las especialistas, la actividad busca demostrarle a los pacientes que sí se puede vivir con diabetes y alcanzar el control y el bienestar a través del conocimiento, las alternativas de manejo y la tecnología disponible.
Tras un tatuaje, piercing, microblading o acupuntura, es obligatorio esperar 4 meses antes de donar sangre por el periodo ventana, necesario para descartar infecciones como hepatitis B y C, VIH o sífilis.
La ceremonia se celebró el 22 de noviembre de 2025 en el Wyndham Grand Rainforest, con una cena de gala y la presencia de alrededor de 450 asistentes, respaldada por la alianza con MCS.
Su motor es un sentido de servicio y responsabilidad social heredado de sus padres; por eso trabaja en pro de los más vulnerables, empeñado en garantizar que todos los niños reciban el cuidado que merecen y en construir un futuro más saludable para ellos.
El herpes labial permanece latente en el cuerpo y se reactiva cuando el sistema inmunitario se debilita: resfriados, fiebre, estrés, falta de sueño o cambios hormonales pueden detonar un brote.
Lejos de limitarse a su reconocido papel en el sistema inmunológico, nuevas investigaciones revelan que la vitamina D tiene un impacto en múltiples funciones vitales del organismo.
La convención incluyó una amplia oferta académica dirigida a necesidades reales del escenario clínico actual.
Solo una de cada seis millones de personas posee sangre Rh nulo, conocida como "sangre dorada" por su compatibilidad universal.
Algunos virus, pulmonía, asma y otras condiciones comparten síntomas y hasta hallazgos radiológicos, por lo que solo un especialista puede diferenciarlas con precisión.
El que se haya escogido a la isla para realizar este congreso demuestra el alto calibre de los médicos locales al poder compartir y aprender conocimientos junto a colegas de otros países.
El cuadro clínico evoluciona rápidamente hacia compromiso multiorgánico severo y desenlace fatal, a pesar del manejo intensivo neonatal, lo que confirma el pronóstico extremadamente grave descrito en la literatura.
Un sensor oral compuesto por microesferas con bacterias y partículas magnéticas permite identificar hemorragias gastrointestinales en minutos tras su recolección en heces.
Mantener la cabeza inclinada hacia adelante provoca una sobrecarga que degenera los discos cervicales, generando dolor crónico, parestesias, cefaleas y problemas respiratorios.
Estudio revela que condiciones como delirio, deshidratación o desnutrición después de operaciones importantes aumentan drásticamente las complicaciones y la mortalidad en pacientes de la tercera edad
Experto advierte sobre la importancia de la vacunación temprana contra el VSR, especialmente en adultos con condiciones respiratorias crónicas.
La Alianza de Apoyo al Paciente con Dermatitis Atópica destaca la necesidad de atender la salud mental de los afectados durante evento de Cross the Goal Foundation
Este sábado 15 de noviembre en Plaza Las Américas, la fundación conmemorará su aniversario con charlas, testimonios y orientación sobre diabetes tipo 1. Uniéndose a la celebración, AAPDA educará sobre dermatitis atópica y bienestar emocional.
La cardióloga pediátrica Liana Negrón García advierte sobre el incremento alarmante de casos de presión alta en la población infantil y subraya que la prevención comienza en casa con cambios sustanciales en el estilo de vida de toda la familia
Conocer tus necesidades como paciente y entender la Guía de Beneficios de tu plan médico es clave para elegir un seguro que realmente cubra tus tratamientos, especialmente si requieres medicamentos especializados o terapias avanzadas.
Un hombre joven que desarrolló mucositis difusa tras la administración de levofloxacina, cuyo diagnóstico se retrasó por la ausencia de manifestaciones cutáneas.
Un diagnóstico como la diabetes impacta tanto lo emocional como lo físico, generando miedo, ansiedad y frustración que deben atenderse con una mirada integral.
La celebración de los 10 años de Cross the Goal se convirtió en un encuentro muy humano, donde pacientes y familias compartieron cómo la diabetes tipo 1 transforma la vida más allá del diagnóstico.
Los masajes deportivos no solo relajan sino que también ayudan a preparar el cuerpo para el esfuerzo que implica una carrera.
Este defecto técnico podría impedir que el cuerpo absorba la cantidad correcta del medicamento, afectando su capacidad para reducir el colesterol LDL, aunque la FDA clasifica el retiro como de "Clase II", indicando un riesgo moderado y reversible.
El evento Warm Up 5K reunió a corredores, especialistas y público general en una tarde de concienciación sobre una condición que afecta a más de un millón de puertorriqueños.
Los investigadores, entre ellos Xavier Rosselló y Borja Ibáñez, enfatizan que no existe ningún subgrupo de pacientes postinfarto con función cardíaca conservada que se beneficie de estos fármacos.
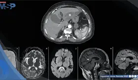
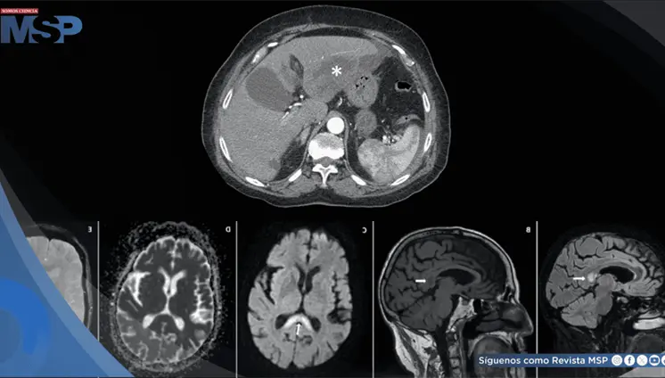
Los estudios revelaron anemia microcítica severa (hemoglobina 6.5 g/dL) y neuroimágenes confirmaron trombosis venosa extensa.
La educación y el acompañamiento multidisciplinario son la base del manejo efectivo de la diabetes en Puerto Rico, porque permiten que el paciente entienda su condición, tome decisiones informadas y no se sienta solo en el proceso.
La organización celebró una década de trabajo comunitario con un evento multitudinario en Plaza Las Américas, donde la Alianza de Apoyo al Paciente con Dermatitis Atópica (AAPDA) ofreció orientación integral sobre el impacto físico y emocional de esta condición crónica.
La Alianza de Apoyo al Paciente con Dermatitis Atópica (AAPDA) reforzó la importancia de atender no solo la salud física, sino también el bienestar emocional de quienes viven con esta condición crónica.
La organización conmemoró sus 10 años de labor ininterrumpida en Plaza Las Américas con una actividad que reunió a especialistas y pacientes para abordar el manejo integral de esta condición.
Colocar al médico familiar al centro del cuidado no es solo una estrategia clínica, sino una apuesta humana: cuando un profesional conoce toda la historia del paciente, su diabetes, su presión, sus riñones, su corazón, puede anticiparse, prevenir crisis y reducir costos para el Estado.
Experto alerta sobre la pérdida de masa muscular en tratamientos para bajar de peso y su impacto en la salud cardiovascular
La "Triple Meta", es un modelo que busca mejorar la experiencia del paciente, optimizar los resultados clínicos y reducir costos. Donde se exige integrar emociones y apostar por un control integral que incluya, dolor total, fatiga, tecnologías modernas y trabajo interdisciplinario.
Los biomarcadores PRO-BNP y proteína C-reactiva son esenciales para evaluar riesgo cardiovascular en diabetes, una población cuya principal causa de muerte sigue siendo la enfermedad cardiovascular por un proceso acelerado de aterosclerosis.
La enfermedad se relaciona con fallas del sistema inmunológico y, en este caso, podría estar ligada a la miastenia gravis y al timoma previo de la paciente, factores que complicaron el diagnóstico.
Este modelo tridimensional replica la complejidad real de la médula ósea, permitiendo estudiar cómo se forman las células sanguíneas humanas sin depender de modelos animales y abriendo la puerta a terapias más precisas.
El medicamento puede causar efectos secundarios leves o graves, por lo que requiere vigilancia clínica, especialmente en pacientes con antecedentes hepáticos o que tomen otros fármacos.
El organismo advierte que bacterias como E. coli, Klebsiella y Staphylococcus aureus muestran resistencia a múltiples fármacos, comprometiendo la capacidad del sistema de salud para tratar infecciones comunes.
Estas herramientas están impulsando una nueva era en la medicina, permitiendo diagnósticos más rápidos y tratamientos más individualizados, aunque aún enfrentan retos de accesibilidad e integración.
El cáncer de pulmón debe enfrentarse con dos pilares: la prevención, que incluye reducir la exposición al tabaco, contaminantes ambientales y riesgos laborales y la detección temprana, porque es este diagnóstico precoz el que realmente salva vidas.
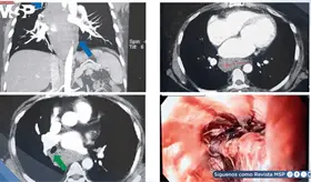
El paciente sufrió una ruptura hipofaríngea tras un accidente de tránsito inicialmente subestimado, requiriendo reevaluación, estudios avanzados y manejo multidisciplinario conservador.
La Asociación de Farmacias de la Comunidad solicita que los farmacéuticos también puedan recetar medicamentos bajo supervisión médica, mientras se debate en el Senado una medida que otorgaría facultades de prescripción a enfermeros con educación avanzada.
La tuberculosis extrapulmonar puede presentarse como pancitopenia severa, una manifestación poco común que suele retrasar el diagnóstico porque sus síntomas iniciales son inespecíficos.
Una investigación con más de 200.000 adultos reveló que quienes sufren molestias persistentes en varias partes del cuerpo tienen hasta un 75% más de probabilidades de desarrollar presión arterial alta.
Un reciente estudio ha revelado que las características vasculares de la retina, que se pueden observar mediante fotografía de fondo ocular, están estrechamente asociadas con el riesgo de sufrir un accidente cerebrovascular.
Las úlceras varicosas son la manifestación visible de una insuficiencia venosa crónica: más del 80% de las úlceras en las piernas tienen su origen en varices y en la hipertensión venosa producida por válvulas que dejan de funcionar.
A pesar del tratamiento intervencionista exitoso mediante embolización, evolucionó con complicaciones de hipertensión portal severa, presentando descompensación aguda con hemorragia digestiva alta y choque hipovolémico.
La prevalencia de la hipertensión en la población pediátrica se sitúa entre el 1% y el 5%, experta advierte que, a diferencia de los adultos, las causas primarias de presión arterial alta en niños menores de 13 años están directamente relacionadas con problemas renales
Gracias a la investigación, han surgido nuevas terapias como anticuerpos biespecíficos, tratamientos dirigidos y combinaciones con quimioterapia que están mejorando la respuesta y la progresión de estos pacientes.
El crecimiento progresivo de la masa y la limitación mecánica del movimiento ocular fueron indicios clave que llevaron a profundizar en el estudio.
La enzima ADO resulta esencial para que las células de glioblastoma sobrevivan en condiciones de bajo oxígeno; al inhibirla, la hidralazina induce senescencia en las células tumorales y frena su crecimiento.
En esta condición, la cápsula del hombro se vuelve más gruesa y rígida, formando bandas duras de tejido conocidas como adherencias.
La inmunización antigripal disminuye los eventos cardiovasculares en un 34% durante el año posterior a su administración, mientras que la vacuna de la Covid-19 atenúa las complicaciones tromboembólicas
Con el propósito de impulsar la importancia de investigación clínica y traslacional para la salud en Puerto Rico, el Recinto de Ciencias Médicas de la Universidad de Puerto Rico (RCM-UPR) llevó a cabo el lanzamiento oficial de la Alianza para la Investigación Clínica y Traslacional (La Alianza)
aunque la Isla mantiene una incidencia de 11.1 casos por cada 100,000 mujeres, se han logrado avances significativos gracias a iniciativas intersectoriales que integran investigación, servicios clínicos y educación comunitaria.
La ruptura de una aguja espinal durante una cesárea urgente dejó un fragmento de 4 cm en la musculatura paravertebral de una paciente embarazada.
La hipertensión en pacientes con diabetes se origina en una disfunción endotelial provocada por la resistencia a la insulina, y favorece un estado inflamatorio y de rigidez arterial.
Gastroenterólogo, explica desde el 15to Simposio de la Fundación Esther Torres cómo las nuevas terapias permiten alcanzar remisiones más profundas y sostenibles en enfermedades inflamatorias intestinales
La fisiopatología se relaciona con la alta retención orofaríngea del medicamento y su posterior deglución. Hasta un 70% del corticosteroide puede depositarse y ser ingerido, exponiendo el esófago a los efectos inmunosupresores del fármaco y favoreciendo la proliferación de Candida.
Las personas con esta condición tienen mayor riesgo de desarrollar la enfermedad en los próximos cinco a diez años, lo que hace que esta señal sea clave para la vigilancia temprana.
Especialista explica cómo los avances médicos de la última década ofrecen esperanza y mejor calidad de vida a pacientes con enfermedades inflamatorias intestinales.
Por dos décadas, la Asociación de Médicos Pediatras del Área Este (AMPRE) ha sido un pilar en la educación médica continua, la unión profesional y el compromiso con el bienestar de los niños en el país.
Un estudio con más de 30.000 pacientes confirma que el tratamiento extendido disminuye significativamente nuevos trombos y mortalidad, aunque incrementa hemorragias graves
El mundo está viendo un aumento en los diagnósticos de cáncer de tiroides, pero gran parte de ese crecimiento no significa más enfermedad, sino más detección de tumores diminutos que antes pasaban desapercibidos.
La reumatóloga puertorriqueña, quien también padece la enfermedad, compartió su experiencia personal y profesional durante ReumaExpo 2025 sobre esta condición autoinmune que afecta principalmente a mujeres jóvenes
Durante las vacaciones, es común relajar la dieta y consumir más alimentos procesados, picantes, alcohol y menos fibra. Esto puede provocar estreñimiento o diarrea.
Advierten que esta práctica viral en redes sociales carece de evidencia científica y puede sustituir tratamientos médicos efectivos
Especialistas, padres y pacientes compartieron herramientas, experiencias y testimonios que visibilizaron la importancia de la educación, la nutrición consciente y el manejo emocional como pilares para convivir con enfermedades crónicas y mejorar la calidad de vida.
El 15° Simposio Viviendo con Crohn y Colitis Ulcerosa evidenció los significativos avances terapéuticos y enfatizó la importancia de la detección temprana, el tratamiento personalizado y el apoyo entre pares para mejorar la calidad de vida de los pacientes.
Estudio revela que diversas bacterias pueden atravesar la barrera hematoencefálica y establecerse en glioblastomas y metástasis cerebrales, influyendo en la progresión del cáncer y en la resistencia a tratamientos como la temozolomida.
La democracia, al igual que la medicina, exige un principio básico: no hacer daño. Pero en el Colegio Médico Dominicano (CMD), la Comisión Electoral parece haber tomado el bisturí sin anestesia, sin guantes y sin consentimiento informado.
Una inusual situación mantiene en tensión al Colegio Médico Dominicano (CMD) luego de que, a más de 48 horas del proceso electoral del pasado miércoles, la Comisión Electoral aún no ha ofrecido los resultados finales.
La paciente pertenece al grupo rarísimo de "controladores élite excepcionales", ya que su sistema inmunológico posee mecanismos naturales eficaces, en especial las células natural killer, capaces de bloquear la replicación del virus y reducirlo a formas defectuosas.
A pesar de los análisis normales, presentaba reserva ovárica baja y hallazgos ecográficos anormales. Durante la cirugía se descubrió daño severo en sus órganos reproductivos, con adherencias, trompas bloqueadas y destrucción del tejido ovárico.
Un riñón porcino mínimamente editado y acompañado del timo del mismo donante logró funcionar de manera estable durante dos meses en un receptor humano en muerte cerebral.
Son esferas microscópicas de hidrogel, con un diámetro aproximado de 30 micras, diseñadas para sobrevivir en los fluidos corporales y ser completamente absorbidas sin generar efectos adversos.
Un estudio preclínico de la Universidad Miguel Hernández demuestra que el fármaco MCH11 disminuye el consumo de alcohol en ratones, con diferencias según el sexo y potencial para tratar el trastorno por uso de alcohol.
#MSP: El lugar donde médicos, pacientes y profesionales de la salud pueden entrar. #SomosCiencia
Medicina y Salud Pública
Medicina y Salud Pública


















