Es una neoplasia benigna muy poco frecuente, con menos de 100 casos reportados en la literatura médica.

Una mujer de 33 años, sin antecedentes ginecológicos ni urológicos relevantes y nulípara (que nunca ha parido), acudió a consulta externa de urología tras identificar de manera incidental un bulto cerca del orificio uretral durante la higiene personal.
La paciente se encontraba asintomática al momento de la consulta, sin referir disuria, polaquiuria, tenesmo, hematuria ni antecedentes de infecciones urinarias, instrumentación previa o traumatismos. Sus antecedentes clínicos y quirúrgicos eran normales, con ciclos menstruales regulares y sin signos de desequilibrio hormonal.
Durante la exploración física se identificó una masa ovalada, rojiza y bien delimitada que sobresalía entre 0,5 y 1 cm desde el meato uretral posterior, extendiéndose hacia la pared vaginal anterior. La lesión, firme pero móvil a la palpación, no presentaba ulceraciones, sangrado ni signos de infección. El meato uretral externo se encontraba desplazado hacia adelante por la masa, aunque aún visible.
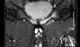
Con el fin de caracterizar mejor la lesión, se solicitó una resonancia magnética pélvica. Las imágenes mostraron una lesión bien circunscrita y realzada de 1,7 × 1,4 cm, predominantemente intraluminal, localizada en la uretra distal con extensión hacia la pared vaginal anterior, pero sin evidencia de invasión tisular profunda ni afectación de órganos vecinos. La uretra proximal no mostraba alteraciones y no se evidenciaron hallazgos sugestivos de malignidad.
Dado el tamaño, la localización distal y la ausencia de signos de agresividad, se optó por la resección quirúrgica. En la intervención se identificó una masa rojiza y ovalada que sobresalía de la cara posterior del meato uretral, fácilmente diferenciable del orificio uretral, el cual no se encontraba comprometido. La lesión fue extirpada completamente sin complicaciones.
El análisis histopatológico reveló una neoplasia bien circunscrita, compuesta por haces entrecruzados de células musculares lisas fusiformes sin atipia ni actividad mitótica, compatible con un leiomioma uretral. No se observaron focos de necrosis ni signos de transformación maligna.
Como señalan los autores (Abdul Hamidet al), la recuperación postoperatoria fue favorable. La paciente fue dada de alta al día siguiente con manejo analgésico e instrucciones para el cuidado de la sonda vesical. Tres semanas después, en la consulta de seguimiento, se retiró la sonda y se comprobó una micción adecuada, sin síntomas ni complicaciones. La herida quirúrgica había cicatrizado por completo y no se observaron signos de recurrencia.
El leiomioma uretral primario es una neoplasia mesenquimal benigna de muy baja prevalencia, con menos de 100 casos descritos en la literatura médica. Se origina en fibras musculares lisas de la uretra, con predilección por mujeres en edad reproductiva. Aunque puede presentarse con síntomas urinarios obstructivos o irritativos, aproximadamente una cuarta parte de los casos permanecen asintomáticos y se detectan incidentalmente.
La evaluación por resonancia magnética permite determinar con precisión la localización y las características del tumor, y es útil para descartar malignidad. El diagnóstico definitivo, no obstante, se establece mediante el análisis histológico, que evidencia células fusiformes benignas sin signos de atipia.
El tratamiento de elección es la escisión quirúrgica completa. En lesiones distales menores de 2 cm, como en este caso, la resección simple suele ser suficiente y curativa. Las tasas de recurrencia son bajas si la extirpación es completa, y no se han reportado transformaciones malignas en los seguimientos a largo plazo. Se recomienda, no obstante, vigilancia clínica e imagenológica periódica.