Esta es una de las afecciones más comunes del estómago actualmente, ge...
Esta es una de las afecciones más comunes del estómago actualmente, ge...
Trastornos digestivos como el síndrome del intestino irritable o el es...
Existen factores de riesgo como hepatitis B o C, cirrosis, consumo pro...
Sus causas son variadas: enfermedades inflamatorias intestinales, infe...
Un sensor oral compuesto por microesferas con bacterias y partículas m...
FEAT cumple más de 14 años de trabajo educativo continuo y celebra su ...
Gastroenterólogo, explica desde el 15to Simposio de la Fundación Esther Torres cómo las nuevas terapias permiten alcanzar remisiones más profundas y sostenibles en enfermedades inflamatorias intestinales
Las personas con esta condición tienen mayor riesgo de desarrollar la enfermedad en los próximos cinco a diez años, lo que hace que esta señal sea clave para la vigilancia temprana.
Especialista explica cómo los avances médicos de la última década ofrecen esperanza y mejor calidad de vida a pacientes con enfermedades inflamatorias intestinales.
Durante las vacaciones, es común relajar la dieta y consumir más alimentos procesados, picantes, alcohol y menos fibra. Esto puede provocar estreñimiento o diarrea.
El 15° Simposio Viviendo con Crohn y Colitis Ulcerosa evidenció los significativos avances terapéuticos y enfatizó la importancia de la detección temprana, el tratamiento personalizado y el apoyo entre pares para mejorar la calidad de vida de los pacientes.
El estrés agrava trastornos gastrointestinales funcionales como el síndrome del intestino irritable o el reflujo, intensificando el dolor y los síntomas por una mayor sensibilidad cerebral al malestar intestinal.
Los médicos no recomiendan su uso con antibióticos o antiinflamatorios ni tampoco con el estómago vacío.
Una investigación de cuatro años muestra que el 78% de los pacientes que lograron remisión clínica al año de tratamiento con mirikizumab mantuvieron ese estado libre de síntomas.
Los resultados mostraron que los pacientes con psoriasis tenían una mayor cantidad de ciertos tipos de células inmunitarias en el intestino delgado, y estas células mostraban signos de actividad proinflamatoria.
Los estudios clínicos PURSUIT demostraron resultados de eficacia y seguridad, con una remisión clínica alcanzada en el 32% de los pacientes a la semana 6 y mantenida en más de la mitad hasta la semana 54, lo que respalda su uso a largo plazo.
#MSP: El lugar donde médicos, pacientes y profesionales de la salud pueden entrar. #SomosCiencia
Su mayor incidencia está entre los 15 y 40 años y debe sospecharse ante síntomas persistentes como diarrea crónica, sangrado rectal, pérdida de peso o anemia.
Aunque los pacientes desarrollan una relación estrecha con los gastroenterólogos debido al seguimiento constante, el médico primario continúa siendo una pieza indispensable en el abordaje de otras condiciones.
El SIBO se asocia a menudo con otras enfermedades digestivas, como el síndrome de intestino irritable (SII) y la enfermedad de Crohn, lo que aumenta la dificultad para su diagnóstico.
El papel del médico primario es clave en la detección temprana de la EII, no para confirmar el diagnóstico, sino para identificar señales de alarma, descartar causas comunes y referir oportunamente al gastroenterólogo con estudios iniciales adecuados.
El hallazgo abre la puerta a nuevas terapias, como usar cepas bacterianas específicas o derivados del tabaco que imiten los beneficios del fumar en la CU, aunque el estudio tiene limitaciones en la muestra y en la traslación de modelos animales a humanos.
El síndrome de autocervecería (ABS) es una condición médica extremadamente rara que provoca intoxicación alcohólica sin consumir alcohol.
De continuar la tendencia, la incidencia del cáncer colorrectal de aparición temprana podría duplicarse cada 15 años en países como Estados Unidos, Canadá, Reino Unido y Australia.
Investigadores de Estados Unidos, Reino Unido, Gales y Finlandia analizaron millones de datos de salud para demostrar la conexión bidireccional entre el intestino y el cerebro.
Las dolencias en la espalda, suelen ser consecuencia de una disfunción de la vesícula biliar.
La Fundación, junto con Johnson & Johnson, lidera una campaña de concienciación para educar al público sobre estas condiciones y promover la empatía hacia quienes usan la tarjeta, como un gesto de dignidad y apoyo.
Los investigadores destacan que evaluar y tratar la deficiencia de vitamina D puede ser una estrategia clínica segura, económica y efectiva para reducir hospitalizaciones, caídas y deterioro cognitivo en pacientes con enfermedad hepática.
#MSP: El lugar donde médicos, pacientes y profesionales de la salud pueden entrar. #SomosCiencia
Investigación del Hospital General de Massachusetts comprueba que ciertos patrones alimenticios previenen el estreñimiento crónico con mayor eficacia que el simple aumento de fibra en la dieta.
#MSP: El lugar donde médicos, pacientes y profesionales de la salud pueden entrar. #SomosCiencia
Los datos epidemiológicos revelan que la hepatitis C mantiene una presencia endémica en Puerto Rico, con 4,219 casos reportados en 2024.
Entre los principales desafíos se evidencian la falta de acceso a tratamientos antivirales para hepatitis C, la carencia de un registro nacional específico y la escasez de pruebas diagnósticas para confirmar la carga viral.
Hoy en día, la hepatitis C puede tratarse con medicamentos orales con tasas de curación de hasta un 98 %.
#MSP: El lugar donde médicos, pacientes y profesionales de la salud pueden entrar. #SomosCiencia
El estreñimiento crónico es la causa más común, aunque también pueden influir factores psicológicos como estrés, cambios en la rutina o aprendizaje conflictivo del uso del baño.
#MSP: El lugar donde médicos, pacientes y profesionales de la salud pueden entrar. #SomosCiencia
Investigadores revelan cómo la interacción entre genes mutados, flora intestinal alterada y proteínas específicas intensifica esta enfermedad que afecta a millones de personas en el mundo.
Un crecimiento preocupante en la incidencia de cánceres gastrointestinales, especialmente entre adultos menores de 50 años, ha encendido las alertas en la comunidad médica global.
Los investigadores lograron bloquear esta molécula con un fármaco experimental, previniendo por completo la enfermedad en modelos animales, lo que abre la puerta a nuevos tratamientos.
La cirrosis hepática es un daño crónico del hígado que puede desarrollarse durante años sin síntomas evidentes.
La gastroenteritis, una inflamación del estómago e intestinos que causa diarrea y vómitos, es una de las afecciones más frecuentes a nivel mundial.
Experto explicó las diferencias clínicas entre la enfermedad de Crohn y la colitis ulcerativa, abordó las complicaciones más comunes si no se tratan a tiempo, e hizo un llamado a empoderar al paciente para transformar su calidad de vida.
Desde esofagitis eosinofílica hasta innovaciones en inteligencia artificial durante la colonoscopia, el evento reunió a especialistas para revisar el estándar y avances de cuidado en enfermedades digestivas.
Programas poblacionales que combinen pruebas diagnósticas accesibles con protocolos de erradicación antibiótica podrían salvar millones de vidas.
En 2024, por primera vez, las guías clínicas incluyen biomarcadores como eje central para el manejo de la enfermedad de Crohn.
La gastroenteróloga María Ríos recalcó la importancia de adaptar el tratamiento de enfermedades como Crohn y colitis ulcerosa a las particularidades de cada paciente, en lugar de aplicar un enfoque estandarizado.
La inmunoterapia es un tipo de tratamiento que utiliza sustancias producidas por organismos vivos para estimular el sistema inmunológico y ayudarlo a combatir el cáncer de manera más eficiente.
El hígado graso no alcohólico ya afecta a 1 de cada 4 personas en el mundo y es considerado la nueva cara hepática del síndrome metabólico, impulsado por obesidad, diabetes y disfunción genética.
¿Puedes tener hígado graso aunque no consumas alcohol? ¡
La ciencia avanza, y con ella, las herramientas para diagnosticar y tratar las EII con mayor precisión.
as enfermedades inflamatorias del intestino, como el Crohn y la colitis ulcerosa siguen en aumento en la isla. ¿
¿Qué estrategias de manejo plantean las nuevas guías de gastroenterología?
Cada paciente es único, y su tratamiento también debería serlo.
Experta alerta sobre el crecimiento sostenido de casos de enfermedad de Crohn y colitis ulcerosa en todas las franjas etarias de la Isla, atribuido a factores genéticos, cambios en el microbioma y hábitos alimentarios.
Fue el primer evento en Puerto Rico enfocado exclusivamente en revisar y actualizar guías clínicas para el manejo de enfermedades gastrointestinales.
La Fundación Cardioinfantil – LaCardio realizó el pasado 14 de mayo la primera ablación biliar por radiofrecuencia bipolar en el país, utilizando el dispositivo especializado Habib EndoHPB Bipolar Radiofrequency Catheter.
Qué es el colangiocarcinoma y cómo se está transformando su tratamiento en Colombia?
La similitud de síntomas entre la colitis ulcerosa y la enfermedad de Crohn - como el dolor abdominal recurrente, los cambios en el hábito intestinal y la pérdida de peso progresiva - frecuentemente conduce a confusiones diagnósticas.
La Enfermedad Inflamatoria Intestinal requiere diagnóstico temprano y tratamiento integral para evitar complicaciones y mejorar la calidad de vida.
El proceso para aprobar tratamientos de alto costo en Puerto Rico incluye evaluación médica, validación de documentos y cumplimiento de requisitos por parte del paciente.
#MSP: El lugar donde médicos, pacientes y profesionales de la salud pueden entrar. #SomosCiencia #MSPLíderesPioneros #MSPLegadoQueInspira
#MSP: El lugar donde médicos, pacientes y profesionales de la salud pueden entrar. #SomosCiencia #MSPLíderesPioneros #MSPLegadoQueInspira
#MSP: El lugar donde médicos, pacientes y profesionales de la salud pueden entrar. #SomosCiencia #MSPLíderesPioneros #MSPLegadoQueInspira
El 19 de mayo fue proclamado Día de Concienciación sobre las Enfermedades Inflamatorias del Intestino en Puerto Rico.
#MSP: El lugar donde médicos, pacientes y profesionales de la salud pueden entrar. #SomosCiencia #MSPLíderesPioneros #MSPLegadoQueInspira
#MSP: El lugar donde médicos, profesionales de la salud y pacientes pueden entrar. #MSPLíderesPioneros
#MSP: El lugar donde médicos, profesionales de la salud y pacientes pueden entrar. #MSPLíderesPioneros #MSPLegadoQueInspira
El Dr. Ahmed Morales, especialista en enfermedades inflamatorias del intestino asegura que actualmente se ha dado la oportunidad de tener un menú de opciones para que el paciente pueda tratar su enfermedad.
#InfografíaMSP Cuando se padece de colitis ulcerosa, el intestino no es capaz de absorber adecuadamente nutrientes importantes como el zinc, el calcio y las vitaminas D y B12, lo que debilita aún más el organismo y lo hace más vulnerable a nuevos brotes.
La prevalencia de las enfermedades inflamatorias va en aumento en niños y adolescentes. Es fundamental una detección temprana.
Las personas con enfermedades inflamatorias intestinales (EII), como la enfermedad de Crohn y la colitis ulcerosa, enfrentan un riesgo elevado de sufrir ansiedad y depresión.
Esta condición a menudo suele diagnosticarse como síndrome de intestino irritable.
Esta enfermedad no cuenta con una cura, pero sí con varios tratamientos que permiten llevar una mejor calidad de vida.
Dos de estos fármacos ya fueron aprobados por la FDA para el tratamiento de las enfermedades inflamatorias del intestino.
La colitis ulcerosa se trata con inmunomoduladores y, dependiendo del tipo de condición y severidad de la misma, se determina cuál es la molécula a intervenir.
Este enfoque combina la historia clínica con pruebas de heces caseras, específicamente de calprotectina fecal (FCP), para identificar con precisión a los pacientes con sospecha de EII.
Una dieta alta en alimentos ultraprocesados puede aumentar un 70% el riesgo de recaída clínica en pacientes con enfermedad de Crohn.
Este abordaje integral que se viene mostrando en el simposio, va enfocado en que se empiece a considerar totalmente necesario que todo el equipo de expertos pueda abordar a los pacientes, para así recibir un cuidado completo
En estas épocas de celebración, muchas personas suelen comer en exceso o consumir alimentos poco saludables. Sin embargo, es importante planificar estos alimentos para evitar problemas inflamatorios en los intestinos.
En pacientes con enfermedad inflamatoria activa se recomienda aumentar el consumo de proteína hasta 1.5 g/kg/día.
La inflamación crónica en el área afectada puede aumentar el riesgo de complicaciones a largo plazo, como el desarrollo de cáncer de colon.
Detecta rápidamente biomarcadores clave como calprotectina, proteína C reactiva (PCR) e interleucina-6 (IL-6).
Las enfermedades inflamatorias del intestino son un problema anatómico y el síndrome de colon irritable por otro lado es un problema relativo a la funcionalidad.
Estas condiciones solían afectar específicamente a adolescentes y adultos mayores, pero su incidencia ha aumentado en todos los grupos poblacionales.
La joven quien recuperó su vida después de una ostomía, decidió aceptarse como es y visibilizar su Enfermedad Inflamatoria Intestinal.
El seguimiento postoperatorio se extenderá por cinco años, con evaluaciones periódicas para detectar posibles recurrencias
La enfermedad se manifiesta de forma distinta en adultos y niños. En adultos los síntomas son dificultad al tragar, sensación de ahogo y reflujo. En niños, además de estos síntomas, dolor abdominal, vómitos y dificultades en el desarrollo.
#MSP: El lugar donde médicos, pacientes y profesionales de la salud pueden entrar. #SomosCiencia #MSPLíderesPioneros #MSPLegadoQueInspira
Investigadores del CNIO identifican que la degradación de la proteína p53, regulada por URI, inicia la formación de tumores agresivos en etapas tempranas
Utilizando secuenciación de ADN de última generación, los científicos identificaron que aproximadamente un tercio de los casos presentaba alteraciones en cuatro genes específicos.
La prueba de cinco proteínas tuvo una precisión de un 84 % en la predicción de la enfermedad del hígado graso cinco años después del inicio, y de un 76% en la predicción de 16 años antes del diagnóstico.
El estudio revela cómo ciertas bacterias, como Enterococcus faecalis, provocan modificaciones epigenéticas en las células inmunitarias.
LiverRisk es una herramienta que facilita la detección temprana de la fibrosis hepática en personas asintomáticas. Su facilidad de uso, precisión y bajo costo lo convierten en una opción prometedora para su implementación en Atención Primaria.
Los investigadores descubrieron que, a los 60 años, casi el 10 % del revestimiento del estómago presenta mutaciones en genes asociados al cáncer.
Comprender estos factores de riesgo y adoptar medidas preventivas puede reducir las probabilidades de desarrollar esta enfermedad. La detección temprana, a través de exámenes regulares, es clave para mejorar los resultados y salvar vidas.
Reconocer los síntomas clave, como dolor abdominal, diarrea, sangrado rectal y anemia por deficiencia de hierro, puede marcar la diferencia en la detección temprana y el tratamiento efectivo de esta enfermedad.
La intensidad del dolor de los participantes se calificó en una escala de tres puntos y su localización se trazó en cuatro cuadrantes abdominales.
La razón por la cual Helicobacter pylori afecta a algunas personas mientras que en otras no causa síntomas está relacionada con diversos factores.
El Dr. Kermit Richiez explica en exclusiva sobre la esofagitis eosinofílica, una condición alérgica cada vez más común que afecta el esófago.
#MSP: El lugar donde médicos, profesionales de la salud y pacientes pueden entrar. #SomosCiencia #MSPLíderesPioneros #MSPLegadoQueInspira
El consumo de yogur no se asoció con una reducción general del riesgo de cáncer colorrectal. Sin embargo, se observó una asociación con un menor riesgo de desarrollar tumores Bifidobacterium-positivos, en el colon proximal.
El evento contará con la participación de reconocidos expertos, quienes compartirán sus conocimientos y experiencias en el campo de la endoscopia terapéutica y el manejo de enfermedades digestivas.
Personas con diverticulosis son diagnosticadas incidentalmente y pueden atribuir síntomas digestivos a esta condición, pero el estudio sugiere que debe buscarse otra causa antes de asumir que los síntomas provienen de la diverticulosis.
#MSP: El lugar donde médicos, profesionales de la salud y pacientes pueden entrar. #SomosCiencia
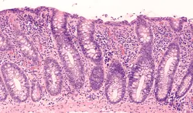
Un nuevo estudio ofrece pautas clave para distinguir la enfermedad inflamatoria intestinal (EII) de trastornos como la enfermedad celíaca, la sarcoidosis y la colitis microscópica, lo que permite un tratamiento más adecuado y personalizado.
Medicina y Salud Pública
Medicina y Salud Pública


















