Durante el tratamiento oncológico, la paciente desarrolló una reactivación del virus de la hepatitis B, una complicación potencialmente mortal asociada al uso de inmunosupresores y quimioterapia citotóxica.

Una mujer de 55 años y madre de cinco hijos, consultó por una masa mamaria derecha de rápido crecimiento que había cambiado sus características en los últimos meses. Refirió tener antecedente de un pequeño nódulo estable en esa misma mama durante aproximadamente diez años.
Al examen físico se encontró una tumoración firme de aproximadamente 5 cm en el cuadrante inferior lateral de la mama derecha, con signos clínicos de malignidad como retracción del pezón y piel con aspecto de "piel de naranja".
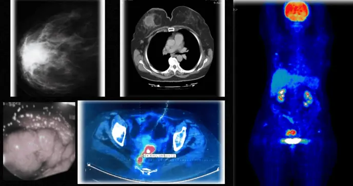
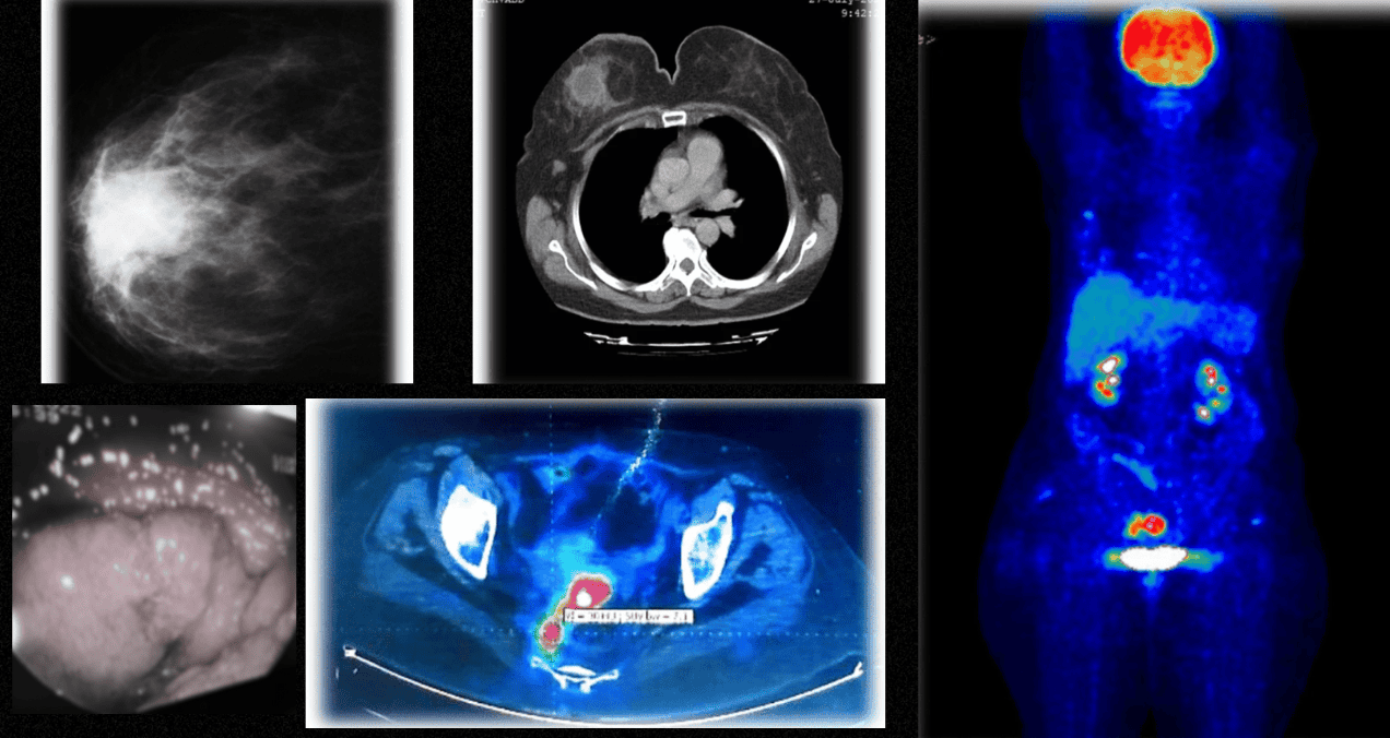
Los estudios imagenológicos confirmaron las sospechas: la mamografía mostró una masa lobulada con bordes espiculados y la tomografía computarizada reveló una lesión heterogénea de características sólido-quísticas de 5 × 4 cm localizada retroareolar, acompañada de adenopatías axilares ipsilaterales.

Mamografía que muestra opacidad espiculada en la mama derecha
La biopsia histopatológica estableció el diagnóstico de carcinoma ductal invasivo triple negativo (negativo para receptores de estrógeno, progesterona y HER2/neu), con estudio genético que demostró mutación patogénica en el gen BRCA1.
Se inició esquema de quimioterapia neoadyuvante con paclitaxel y carboplatino semanal más pembrolizumab cada tres semanas.
Los primeros cuatro ciclos fueron bien tolerados, con únicamente efectos adversos leves como fatiga y náuseas. Sin embargo, previo al quinto ciclo se detectó elevación significativa de las transaminasas (ALT 236 U/L, AST 210 U/L) junto con reactivación del virus de hepatitis B, evidenciada por positividad del HBsAg y carga viral detectable (5 × 107 copias/mL).
Esta complicación obligó a la suspensión inmediata de la quimioterapia y al inicio de terapia antiviral con entecavir 0.5 mg diario, logrando normalización de las pruebas hepáticas y negativización de la carga viral en cuatro semanas. Una biopsia hepática realizada en este contexto mostró cambios inflamatorios sin evidencia de metástasis.
Durante la interrupción del tratamiento oncológico, la paciente desarrolló síntomas rectales incluyendo dolor abdominal y rectorragia. La colonoscopia evidenció una masa circunferencial obstructiva a 12 cm del margen anal, cuya biopsia confirmó adenocarcinoma invasivo.
Los estudios de extensión demostraron una lesión rectal de 8 cm sin metástasis a distancia. Los marcadores tumorales mostraron elevación aislada del CEA (11.9 ng/mL), con CA 15-3 y CA 19-9 dentro de rangos normales.

Tomografía computarizada de tórax que muestra una masa en la mama derecha caracterizada por densidades heterogéneas.

Endoscopia gastrointestinal inferior que muestra la presencia de una masa protuberante en la región rectal.

Una tomografía por emisión de positrones revela una densidad en la cara lateral de la mama derecha, con captación marginal del trazador radiactivo, con un valor de captación estandarizado de 3,2. Además, se observan dos implantes pélvicos distintos.
El equipo multidisciplinario decidió realizar cirugía radical para ambas neoplasias. Se llevó a cabo mastectomía radical modificada derecha con linfadenectomía axilar y resección anterior baja del recto con colostomía derivativa.
El estudio histopatológico de la pieza mamaria mostró carcinoma ductal in situ grado 3 residual de 2 cm (respuesta parcial a la terapia neoadyuvante) con márgenes libres y ausencia de metástasis en los 14 ganglios linfáticos resecados.
En contraste, el estudio rectal reveló adenocarcinoma grado 2 con invasión de la muscular propia (pT3) y metástasis en 2 de 18 ganglios linfáticos (pN1b).
En el postoperatorio, la paciente presentó dolor óseo que motivó realización de PET-CT, el cual mostró áreas hipermetabólicas sospechosas en el lecho quirúrgico mamario y pelvis.
Sin embargo, las biopsias dirigidas confirmaron que se trataba de cambios inflamatorios benignos. Posteriormente completó radioterapia adyuvante en pared torácica y pelvis (45 Gy en 30 fracciones) con buena tolerancia.
Con un seguimiento de tres años, la paciente permanece libre de enfermedad clínica y radiológica. Continúa en vigilancia estrecha y mantiene terapia supresora crónica para hepatitis B.
Según los autores del caso (Al-Bitar, A., Tellawi, I., Kamil, H. et al.), la incidencia de NPM ha aumentado significativamente (2-17%) debido a mayores tasas de supervivencia al cáncer, mejor diagnóstico y factores genéticos predisponentes. La paciente presentó dos particularidades relevantes: una mutación BRCA1 y reactivación de hepatitis B durante quimioterapia.
El diagnóstico diferencial entre metástasis y segundo tumor primario fue crucial. En este caso, las características histopatológicas y moleculares confirmaron dos neoplasias independientes: carcinoma mamario triple negativo y adenocarcinoma rectal. Las modernas técnicas diagnósticas (secuenciación genómica, PET-CT y biopsia líquida) fueron fundamentales para esta distinción.
La reactivación del VHB durante el tratamiento con pembrolizumab subraya la importancia del cribado viral previo a terapias inmunosupresoras. Este evento adverso, potencialmente fatal, fue manejado exitosamente con suspensión temporal de quimioterapia e inicio de entecavir, logrando control virológico en cuatro semanas.