La hipertensión en la población pediátrica es un problema clínico y de...
La hipertensión en la población pediátrica es un problema clínico y de...
La hipertensión en la población pediátrica es un problema clínico y de...
La democracia, al igual que la medicina, exige un principio básico: no...
#MSP: El lugar donde médicos, pacientes y profesionales de la salud pu...
El trágico caso de Charlie Kirk, cuya herida de bala en el cuello fue ...
#MSP: El lugar donde médicos, pacientes y profesionales de la salud pu...
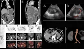
Las infecciones de las vías urinarias aumentan progresivamente en los pacientes masculinos después de los 50 años y a menudo se asocian con epididimitis, orquitis, prostatitis, pielonefritis, uretritis y catéteres urinarios infectados y suelen estar relacionadas con anomalías anatómicas, pero pueden asociarse a otros muchos factores de riesgo.
El virus sincitial respiratorio sigue siendo causa importante de enfermedad aguda del tracto respiratorio inferior en todos los grupos etarios, con los lactantes soportando una parte sustancial de la carga clínica y los adultos mayores
Las infecciones transmitidas por mordeduras representan un grupo complejo de enfermedades causadas por la introducción de diversos patógenos a través de mordeduras de animales
El Comité de Escrutinio del Colegio Médico Dominicano (CMD) informó esta noche los resultados preliminares de 58 mesas electorales, confirmando una ventaja sólida y sostenida del anestesiólogo Dr. Luis Peña Núñez, quien se proclamó como virtual presidente del gremio.
En medio de un ambiente de celebración, tensiones y constante flujo de resultados desde todo el país, solo dos de los cuatro candidatos iniciales continúan disputándose la presidencia del Colegio Médico Dominicano
La legionelosis o enfermedad del legionario es una forma grave y potencialmente mortal de neumonía causada principalmente por la bacteria Legionella pneumophila.
Desde el pasado 17 de julio, ya no está disponible la opción "Presiona 3" dentro de la línea nacional de emergencia 988 (888–988 Lifeline) que brindaba atención especializada a jóvenes LGBTQ+, informó KFF Health News a través de ABC News .
Las picaduras de garrapatas representan una preocupación clínica importante, pues son posibles puertas de entrada para un amplio espectro de organismos patógenos
Un equipo de Harvard logra revertir la demencia en ratones con un suplemento del metal, tras demostrar que la deficiencia del elemento impulsa la enfermedad
La Administración de Alimentos y Medicamentos de EE.UU. (FDA, por sus siglas en inglés) aprobó este miércoles un dispositivo médico que brinda una nueva esperanza a pacientes con artritis reumatoide, una enfermedad crónica que afecta a 1,5 millones de estadounidenses y que con frecuencia es resistente a los tratamientos convencionales.
Un niño nacido la semana pasada de una pareja de Ohio se desarrolló a partir de un embrión que estuvo congelado por más de 30 años, en lo que se cree es que es un récord de tiempo de almacenamiento antes de un nacimiento.
Una vida saludable también se refleja en tus decisiones. Conoce Mercedes-Benz of Ponce, donde la innovación y el estilo se convierten en parte de un camino que apuesta por el bienestar y la calidad de vida.
La apnea obstructiva del sueño es un trastorno respiratorio relacionado con el sueño causado por la obstrucción fisiológica de las vías respiratorias que afecta aproximadamente a mil millones de personas en todo el mundo.
DNV es una agencia acreditadora reconocida internacionalmente cuya responsabilidad incluye la evaluación de los requisitos de la Acreditación Internacional en Asistencia Sanitaria, basados en las normas NIAHO® aprobadas por los Centros de Medicare y Medicaid (CMS) del gobierno de Estados Unidos.
El programa, disponible a través de la plataforma Eliquis 360 Support, se lanzará el 8 de septiembre para pacientes elegibles sin seguro, con seguro insuficiente o de autopago que tengan una receta de Eliquis.
La Fundación Triple-S y la Fundación para el Futuro de la Salud de Puerto Rico entregaron, en alianza, $238,000 en becas a 21 estudiantes y profesionales en formación en el campo de la salud, incluyendo médicos residentes y estudiantes de diversas disciplinas.
La Ley 53-2025 en Puerto Rico garantiza acompañamiento a pacientes de diálisis. Una medida histórica que humaniza el tratamiento renal crónico e integra el apoyo emocional al modelo de atención.
Es un medicamento antidepresivo que pertenece a una clase de medicamentos llamados inhibidores selectivos de la recaptación de serotonina (ISRS).
Los estudios de neuroimagen mostraron un patrón atípico de hiperintensidades simétricas en la sustancia blanca, sin realce con contraste ni restricción en la difusión, hallazgos poco comunes para un tumor cerebral.
Los hombres son más vulnerables por factores anatómicos y hormonales, como una vía aérea más larga y la falta de protección hormonal que ofrecen los estrógenos en las mujeres.
Evitar una infección en un reemplazo articular implica intervenir en distintos momentos: antes, durante y después de la cirugía de la mano de un equipo multidisciplinario.
El tumor mostró un comportamiento clínico agresivo, con crecimiento rápido, recurrencia temprana postquirúrgica y desenlace fatal, asociado a características histológicas de mal pronóstico.
Existen dos rutas de tratamiento. Una de alta intensidad, que implica un trasplante de médula ósea autólogo, y otra que no requiere trasplante. La novedad radica en que ahora la opción no trasplantable incluye un cuarto medicamento.
Los hombres enfrentan un grave retraso en el diagnóstico de trastornos mentales debido al estigma asociado con la masculinidad tradicional, lo que les impide buscar ayuda a tiempo y complica el tratamiento.
El Dr. Ramos enfatiza que ser padre conlleva presencia activa, disciplina sin violencia y formación emocional. Los padres, incluso aquellos que no son biológicos, deben participar en la crianza y educación.
En este día especial, Puerto Rico honra a todos los padres, especialmente a aquellos que, desde la medicina y la ciencia, han ejercido una paternidad ampliada, cuidando y protegiendo la salud de todo un pueblo.
Hoy celebramos no solo al profesional, sino al hombre de familia que ha sabido cultivar valores, tradiciones y un profundo sentido de pertenencia en sus hijos, demostrando que la verdadera salud pública, como él bien dice, comienza en el hogar.
#InfografíaMSP ? ¡Cada segundo cuenta ante un paro cardíaco! La atención rápida y coordinada puede marcar la diferencia entre la vida y la muerte. La identificación de causas reversibles, el liderazgo del código y el uso de herramientas como el ultrasonido son claves durante la reanimación. Además, una buena estructura del equipo mejora la eficacia de la RCP. Conoce más detalles con esta infografía que hemos preparado para ti. Aprende más en www.revistamsp.com
#InfografíaMSP La esclerosis múltiple es una enfermedad autoinmune que afecta el sistema nervioso central y puede alterar funciones motoras, cognitivas y sensoriales. Aunque su causa exacta aún no se conoce, factores como el sexo femenino, la edad y antecedentes familiares pueden aumentar el riesgo. Desde sus síntomas más comunes hasta los tipos de esclerosis múltiple y su manejo actual, esta infografía te brinda una mirada clara y actualizada sobre esta compleja condición neurológica.
#InfografíaMSP Las hormonas adenohipofisarias son esenciales para el equilibrio endocrino del cuerpo. Regulan desde la función tiroidea hasta la reproducción y el crecimiento. En nuestra infografía, exploramos cómo el hipotálamo y la hipófisis anterior trabajan juntos para controlar estas importantes hormonas. TSH, ACTH, FSH, LH, prolactina, hormona del crecimiento y más. Aprende más en www.revistamsp.com
#InfografíaMSP La piel no solo es el órgano más grande del cuerpo, también es una barrera vital que protege, regula y conecta. Conocer sus capas, funciones y anexos, como el cabello, las uñas y las glándulas, es clave para comprender cómo mantenemos el equilibrio y la salud general. ? Desde la epidermis hasta las glándulas sudoríparas, esta infografía te ayudará a visualizar todo lo que compone el sistema tegumentario.
#InfografíaMSP Conocer las partes de una jeringa y los calibres de las agujas hipodérmicas es esencial para una administración segura y eficaz de medicamentos. Desde el tipo de cono hasta el color del calibre, cada detalle cumple una función clave en el procedimiento médico. Conoce más diferencias con esta infografía que hemos preparado para ti. Aprende más en www.revistamsp.com
#InfografíaMSP La leche materna no solo alimenta, ¡también protege y se adapta! Desde su composición hasta los cambios en su color, esta maravilla natural evoluciona según las necesidades del bebé y beneficia a la madre. Conoce sus componentes, cómo almacenarla correctamente y qué significan sus variaciones en esta guía visual que hemos preparado para ti. Aprende más en www.revistamsp.com
#InfografíaMSP La esquizofrenia es un trastorno mental grave que altera el pensamiento, las emociones y la conducta. Se manifiesta a través de alucinaciones, delirios, pérdida de contacto con la realidad y síntomas negativos como apatía o aislamiento social. En esta infografía te explicamos sus manifestaciones clínicas, base neurobiológica y otras vías cerebrales implicadas que ayudan a comprender mejor la enfermedad y sus tratamientos.
Biden fue examinado por médicos la semana pasada después de que presentó síntomas urinarios y se le encontró un nódulo en la próstata. Se le diagnosticó cáncer de próstata el viernes, y las células cancerosas ya se han extendido al hueso.
#InfografíaMSP ¿Sabías que CRISPR puede ayudar con el diagnóstico de algunas enfermedades? Esto se debe a que este sistema puede detectar un virus extraño en el ADN con tan solo una gota de sangre, saliva u orina, es decir, que en cuestión de minutos esta tecnología puede decir si la persona tiene dengue, fiebre amarilla, COVID-19, entre otros. Conoce su funcionamiento y aplicaciones con esta infografía que hemos preparado para ti. Aprende más en www.revistamsp.com
#InfografíaMSP ¿Sabías que el cambio climático puede influir en la distribución y la frecuencia de la leptospirosis? Con el aumento de lluvias y eventos climáticos extremos incrementan el contacto entre los humanos y los ambientes contaminados. Conoce más sobre la leptospirosis con esta infografía que hemos preparado para ti. Aprende más en www.revistamsp.com
Los virus del herpes simple (HSV) forman parte de una familia más amplia de herpesvirus. Son muy comunes: afectan aproximadamente al 90% de los adultos en todo el mundo. Y pueden causar llagas dolorosas en o alrededor de la boca o los genitales. Lamentablemente, no existe una cura para las infecciones por HSV, y las personas deben controlar sus brotes con medicamentos.
La jubilación médica supone un reto tanto económico como emocional. Muchos profesionales enfrentan una reducción significativa de ingresos y la pérdida de identidad asociada a su labor. Una planificación financiera adecuada y la preparación emocional son claves para una transición saludable hacia esta nueva etapa de vida.
Las mujeres han desempeñado un papel esencial en el avance de la psicología y la salud pública, liderando investigaciones innovadoras y participando activamente en la formulación de políticas que promueven la equidad y el bienestar comunitario.
Desde la antigüedad, las mujeres han desempeñado roles fundamentales en la medicina, enfrentando desafíos para acceder a la educación formal y ejercer profesionalmente. Concepción Gimeno de Flaquer destaca la idoneidad femenina para la práctica médica y aboga por una atención que respete las particularidades de las pacientes.
La Dra. Janet Lane-Claypon fue una pionera en la epidemiología moderna y en la investigación sobre salud femenina. Sus estudios sobre lactancia materna y cáncer de mama sentaron las bases de los métodos actuales de investigación clínica, como los estudios de cohortes y casos y controles. Su legado continúa influyendo en la salud pública global.
#InfografíaMSP ?? Las lesiones al correr pueden afectar músculos, articulaciones y ligamentos, provocando dolor, inflamación y limitaciones físicas si no se tratan a tiempo. Conoce las causas, síntomas y riesgos de las lesiones más comunes como la fascitis plantar, tendinitis de Aquiles o el síndrome del piriforme en esta infografía que hemos preparado para ti. Aprende más en www.revistamsp.com
#InfografíaMSP Los abscesos perianales son acumulaciones de pus en la zona anal que, si no se tratan a tiempo, pueden derivar en complicaciones como fístulas anales o infecciones severas. Conoce sus tipos, causas, síntomas y factores de riesgo en esta infografía que hemos preparado para ti. Aprende más en www.revistamsp.com
#MSP: El lugar donde médicos, profesionales de la salud y pacientes pueden entrar. #SomosCiencia #MSPLíderesPioneros #MSPLegadoQueInspira #PANLAR2025 #YoVoyAPANLAR
#MSPInfografía ? | El Manto de Turín ha sido objeto de estudio médico-científico por las múltiples lesiones visibles en la figura que representa. Análisis traumatológicos y forenses sugieren una muerte por crucifixión, precedida por tortura, golpes y daño neurológico severo. Explora cómo la ciencia moderna analiza esta figura desde la medicina del trauma, revelando datos sobre lesiones craneales, torácicas y musculoesqueléticas que siguen generando debate. Aprende más en www.revistamsp.com
La inhibición de una proteína clave en la señalización del crecimiento celular bloquea la progresión tumoral en el adenocarcinoma de pulmón. Este hallazgo podría combinarse con otras terapias oncológicas y mejorar su efectividad, según un nuevo estudio en ratones.
#MSPInfografía | La malnutrición infantil es una emergencia silenciosa. Afecta el crecimiento, el desarrollo cognitivo y la salud de millones de niños en el mundo. ? Con lactancia materna, acceso a alimentos nutritivos y seguimiento médico, puede prevenirse. Conoce sobre nutrición infantil con esta infografía que hemos preparado para ti. Aprende más en www.revistamsp.com
Aproximadamente el 94% de las partículas microplásticas se liberan durante los primeros ocho minutos de masticación.
En los casos de ACP o "alzhéimer visual", se observó una acumulación predominante de proteínas tóxicas en el lóbulo parietal posterior.
Durante la menopausia, estos problemas se ven acentuados por los cambios hormonales, específicamente por la disminución de estrógenos.
#MSPInfografía | A menudo, la #adicción a la #comida se utiliza como una forma de hacer frente a situaciones estresantes o emocionalmente difíciles. Las personas después de un atracón suelen experimentar sentimientos de angustia, culpa o vergüenza. Conoce cómo se ve la adicción a la comida en el cerebro con esta infografía que hemos preparado para ti. Aprende más en www.revistamsp.com
#MSPInfografía| La migraña es tres veces más común entre la población femenina. Es más que un dolor de cabeza, es muy compleja y su origen aún es desconocido, sin embargo, tal es el impacto que tiene que es la segunda causa mundial de incapacidad. Esta condición puede estar muy asociada a la salud mental, ya que como la ansiedad o la depresión pueden complicar el tratamiento de la migraña. Aprende más sobre la migraña y sus tratamientos con esta infografía o en www.revistamsp.com
#MSP: El lugar donde médicos, pacientes y profesionales de la salud pueden entrar. #SomosCiencia #MSPLíderesPioneros #MSPLegadoQueInspira
#MSPSaludMental | Día Mundial del trastorno bipolar Una persona que padece el trastorno de bipolaridad es más propensa a sufrir de la tiroides, diabetes, obesidad, problemas al corazón, entre otros., y si no es tratada a tiempo puede empeorar seriamente. Conoce más sobre los tipos y síntomas del trastorno bipolar con esta infografía que hemos preparado para ti. Aprende más en www.revistamsp.com
#InfografíaMSP | La radiación afecta el funcionamiento de varios órganos y tejidos, y producir efectos agudos tales como enrojecimiento de la piel, caída del cabello, quemaduras por radiación o síndrome de irradiación aguda. Asimismo, puede provocar algunos tipos de cáncer. Aprende más sobre los efectos de la radiación en el cuerpo humano con esta infografía o en www.revistamsp.com
#InfografíaMSP | El inmunólogo, Karl Landsteiner, descubrió los #grupossanguíneos A, B, AB y O en 1901. Gracias a este hallazgo, las "transfusiones de #sangre son seguras y se entendió por qué algunas tenían éxito y otras causaban reacciones adversas. Conoce más sobre la transfusión de sangre con esta infografía que hemos preparado para ti. Aprende más en www.revistamsp.com
#MSPSalud Estas son algunas de las enfermedades provocadas por el exceso de grasas en el cuerpo. Lo bueno es que incluso una modesta pérdida de peso puede mejorar o prevenir los problemas de salud relacionados con la obesidad. Conoce el impacto de la grasa en la salud con esta infografía que hemos preparado para ti. Aprende más en www.revistamsp.com
#MSPInfografía | La #regeneracióntisular es un tipo de tratamiento que busca es restaurar, sustituir y aumentar la capacidad funcional de un tejido que ha sido dañado o sufrido una lesión por una situación particular. Conoce los mecanismos moleculares del ejercicio con esta infografía que hemos preparado para ti. Aprende más en www.revistamsp.com
#InfografíaMSP ¿Sabías que en casos graves, el AEH puede causar hinchazón en las vías respiratorias superiores, lo que puede provocar dificultad para respirar y, en casos extremos, asfixia? Conoce más sobre el angioedema hereditario con esta infografía que hemos preparado para ti. Aprende más en www.revistamsp.com
#MSPOncología | Día mundial de la prevención del cáncer cervical Las medidas de prevención que una mujer debe tomar es vacunarse contra el VPH, ya que es uno de los factores que causa esta condición, y hacerse las pruebas programadas de rutina (VPH y la del Papanicolaou), la cual debe realizarse desde los 25 años. Conoce los síntomas y las etapas de este cáncer con esta infografía que hemos preparado para ti. Aprende más en www.revistamsp.com
#InfografíaMSP Alrededor del 99% de los casos de cáncer cervical están asociados con ciertos tipos de VPH. Por ello, la vacunación contra este virus es fundamental para prevenir la infección y, asimismo, reducir los riesgos de este tipo de cáncer. Conoce más sobre el cáncer cervical con esta infografía que hemos preparado para ti. Aprende más en www.revistamsp.com
#InfografíaMSP En la medicina, la adrenalina se emplea para tratar una variedad de condiciones, tales como, reacciones alérgicas graves (anafilaxia), asma aguda, paro cardíaco y shock. Conoce más sobre cómo actúa la adrenalina en el cuerpo con esta infografía que hemos preparado para ti. Aprende más en www.revistamsp.com
#InfografíaMSP El magnesio juega un papel en la regulación de los niveles de glucosa en sangre al influir en la acción de la insulina. Conoce más sobre la importancia del magnesio en el cuerpo con esta infografía que hemos preparado para ti. Aprende más en www.revistamsp.com
#InfografíaMSP ¿Dolor fantasma? Las personas que han perdido una extremidad pueden experimentar dolor fantasma, una sensación de dolor que parece provenir de la parte del cuerpo que ya no está allí. Conoce más las razones por las que sentimos dolor y cómo vivir con él con esta infografía que hemos preparado para ti. Aprende más en www.revistamsp.com
#InfografíaMSP En el marco del día mundial del Síndrome de Down, queremos concientizar a las personas sobre la importancia de dejar aún lado los prejuicios que aún hay en la sociedad sobre esta condición. Conoce más sobre este síndrome con esta infografía que hemos preparado para ti. Aprende más en www.revistamsp.com
#MSPInfectología | Las hepatitis son enfermedades que se pueden prevenir cuidando los medios por los que se transmiten. Es importante recalcar que la infección de hepatitis B se contagia cien veces más que el virus del #VIH. Conoce el ciclo de la hepatitis con esta infografía que hemos preparado para ti. Aprende más en www.revistamsp.com
#MSPCardiovascular | ¿Sabías qué una de cada seis personas en el mundo padecerá un accidente cerebrovascular a lo largo de su vida? Conoce más sobre el ictus con esta infografía que hemos preparado para ti. Aprende más en www.revistamsp.com
#InfografíaMSP | Si se presenta un aumento en los niveles de la #bilirrubina en la sangre puede causar #ictericia, signo de un problema médico subyacente, como una enfermedad hepática o una afección de los glóbulos rojos. Conoce más sobre el metabolismo de la bilirrubina con esta infografía que hemos preparado para ti. Conoce más en www.revistamsp.com
#InfografíaMSP ¿Sabías que la presencia de un marcador tumoral elevado no siempre indica la presencia de cáncer?, ya que pueden aumentar debido a otras condiciones médicas o factores no cancerosos. Conoce más sobre los indicadores tumorales con esta infografía que hemos preparado para ti. Aprende más en www.revistamsp.com
#InfografíaMSP Durante el #embarazo, las #hormonastiroideas son esenciales para el desarrollo adecuado del cerebro y el sistema nervioso del feto. Conoce más sobre la síntesis de la hormona tiroidea con esta infografía que hemos preparado para ti. Aprende más en www.revistamsp.com
#InfografíaMSP ¿Sabías que el sistema glinfático fue descubierto hasta el 2012? Además, las investigaciones sugiere que mejorar la función de este sistema podría ser una estrategia potencial para prevenir o tratar enfermedades neurodegenerativas. Conoce más sobre el sistema glinfático con esta infografía que hemos preparado para ti. Aprende más en www.revistamsp.com
#lnfografíaMSP En el Día Mundial de la Endometriosis, la ciencia avanza con terapias innovadoras como la inmunoterapia y la nanomedicina, ofreciendo nuevas alternativas para quienes enfrentan esta enfermedad crónica y mejorando la precisión en el diagnóstico. Conoce los tratamientos y diagnósticos más avanzados para la endometriosis con esta infografía que hemos preparado para ti. Aprende más en www.revistamsp.com
#InfografíaMSP Los #riñones son los encargados de eliminar el #ácido que producen las células del cuerpo y mantienen un equilibrio saludable de agua, sales y minerales en la sangre. Sin este equilibrio, es posible que los nervios, los músculos y otros tejidos de nuestro #cuerpo no funcionen correctamente. Conoce más sobre la anatomía del riñón con esta infografía que hemos preparado para ti
#InfografíaMSP ¿Sabías que el #riñón filtra aproximadamente 180 litros de #sangre al día? Esto significa que tu #sistemaurinario está trabajando constantemente para eliminar desechos y mantener el equilibrio hídrico de tu cuerpo. Conoce más sobre el sistema urinario con esta infografía que hemos preparado para ti. Aprende más en www.revistamsp.com
#InfografíaMSP Se estima que hasta el 50% de los hombres experimentarán #síntomas de #prostatitis en algún momento de sus vidas, haciendo de esta una condición bastante común. Conoce más sobre la prostatitis con esta infografía que hemos preparado para ti. Aprende más en www.revistamsp.com
#InfografíaMSP En la medicina, la adrenalina se emplea para tratar una variedad de condiciones, tales como, reacciones alérgicas graves (anafilaxia), asma aguda, paro cardíaco y shock. Conoce más sobre cómo actúa la adrenalina en el cuerpo con esta infografía que hemos preparado para ti. Aprende más en www.revistamsp.com
#InfografíaMSP |¿Sabías que la pancreatitis crónica puede llevar al desarrollo de diabetes tipo 3c? Esto se debe a la afectación del tejido pancreático encargado de la producción de insulina y otras hormonas relacionadas con la regulación del azúcar en sangre. Conoce más sobre la pancreatitis crónica con esta infografía que hemos preparado para ti. Aprende más en www.revistamsp.com
#MSPInfografía | Las lágrimas tienen diversas funciones, y por eso los ojos producen entre 15 y 30 galones al año, que contribuyen a mantener la salud ocular, además de comunicar emociones. Conoce las funciones y los beneficios de las lágrimas con esta infografía que hemos preparado para ti. Aprende más en www.revistamsp.com
#MSPInfografía | Hay factores que pueden alterar la producción de serotonina ocasionando un descenso de los niveles presentes en el organismo. Una dieta pobre en triptófanos, el estrés, los cambios hormonales y la diabetes son algunas de las causas. Aprende más sobre la serotonina con esta infografía o en www.revistamsp.com
#MSPInfografía| El sistema inmunitario genera anticuerpos que te protegen contra las sustancias extrañas, esto es bueno cuando una sustancia es dañina. Sin embargo, el sistema inmunitario de algunas personas reacciona exageradamente a ciertas sustancias que normalmente no provocan una reacción alérgica. Aprende más sobre el shock anafiláctico con esta infografía o en www.revistamsp.com
#InfografíaMSP | ¿Sabías que los miomas uterinos son muy comunes en mujeres en edad reproductiva, afectando a casi la mitad de las mujeres a partir de los 40 años? En nuestra infografía descubrirás más acerca de los tipos de miomas que existen. Aprende más sobre este y otros temas ginecológicos en www.revistamsp.com
#InfografíaMSP | ¿Alguna vez te has preguntado porque los tubos de muestras de sangre tienen un #color en particular? Todo se debe al tipo de prueba que necesitas y aquí te explicamos cada color. Conoce más con esta infografía que hemos preparado para ti. Aprende más en www.revistamsp.com
#InfografíaMSP El nervio vago es una enorme red de más de 100.000 fibras que viajan desde casi todos los órganos internos hasta el cerebro. Conoce la conexión entre estos dos órganos con esta infografía que hemos preparado para ti. Aprende más en www.revistamsp.com
#InfografíaMSP | El uso de cánula requiere atención especializada para evitar complicaciones. ? Monitorea constantes vitales, ? mantén una correcta humidificación, ? asegura la fijación del dispositivo y ? conoce qué hacer en caso de obstrucción. Conoce más con esta infografía que hemos preparado para ti. Aprende más en www.revistamsp.com
#InfografíaMSP ¿Sabías que el tratamiento para la tuberculosis es de 6 meses? Es importante no abandonarlo, pues de lo contrario se puede provocar una resistencia de la bacteria. Conoce más sobre la tuberculosis con esta infografía que hemos preparado para ti. Aprende más en www.revistamsp.com
#InfografíaMSP | Se desarrollan en el 15% de los pacientes diabéticos, con mayor frecuencia en los adultos mayores, y preceden al 85% de todas las amputaciones de miembros inferiores provocadas por esta condición. Conoce más sobre las úlceras en el pie diabético con esta infografía que hemos preparado para ti. Aprende más en www.revistamsp.com
#lnfografíaMSP Un nivel elevado de un marcador tumoral no siempre significa que una persona tiene cáncer. Por eso, los marcadores tumorales generalmente se utilizan junto con otros métodos diagnósticos. Conoce más sobre los marcadores de cáncer de células con esta infografía que hemos preparado para ti. Aprende más en www.revistamsp.com
#lnfografíaMSP En 2025, la FDA evalúa nuevos medicamentos para enfermedades respiratorias, neurológicas, metabólicas y muchos otros padecimientos, abriendo paso a tratamientos más innovadores y efectivos. Conoce más sobre estos medicamentos próximos a aprobar con esta infografía que hemos preparado para ti. Aprende más en www.revistamsp.com
#Infografi´aMSP | La obesidad no es solo un problema de peso, sino una condición de salud que aumenta el riesgo de diabetes, hipertensión, enfermedades cardiovasculares y más. Conoce ma´s con esta infografi´a que hemos preparado para ti.
#InfografíaMSP Es el punto de contacto entre una neurona motora y una fibra muscular. De ahí, la señal nerviosa se transmite a través de un neurotransmisor para iniciar la contracción muscular. Conoce más sobre la unión neuromuscular con esta infografía que hemos preparado para ti. Aprende más en www.revistamsp.com
#Infografi´aMSP | El esqueleto del corazo´n proporciona soporte, estabilidad y puntos de anclaje para las va´lvulas cardi´acas, lo que permite el bombeo efectivo de sangre a trave´s del cuerpo. Conoce ma´s sobre el esqueleto del corazo´n con esta infografi´a que hemos preparado para ti. Aprende ma´s en www.revistamsp.com
#InfografíaMSP | ¿Sabías que las contracciones musculares son iniciadas por señales nerviosas? La acetilcolina es el neurotransmisor que las desencadena al transmitir señales desde el nervio hasta el músculo. Conoce más sobre las contracciones musculares con esta infografía que hemos preparado para ti. Aprende más en www.revistamsp.com
#InfografíaMSP La bilis contiene colesterol y sales biliares. Cuando hay un desequilibrio en estas sustancias, pueden formarse cristales que eventualmente se convierten en cálculos biliares. Conoce más sobre el sistema biliar con esta infografía que hemos preparado para ti. Aprende más en www.revistamsp.com
#InfografíaMSP Los niños, especialmente aquellos en edad preescolar y escolar, son más susceptibles a las infecciones por este parásito. La infección puede afectar el crecimiento y el desarrollo físico e intelectual. Conoce más sobre la Ascaris Lumbricoides con esta infografía que hemos preparado para ti. Aprende más en www.revistamsp.com
#Infografi´aMSP Los analge´sicos tienen un alto riesgo de abuso, especialmente los opioides, debido a su potencial adictivo, lo que ha llevado a la crisis de opioides en varias partes del mundo. Conoce ma´s sobre los analge´sicos con esta infografi´a que hemos preparado para ti.
#Infografi´aMSP | Los mu´sculos esquele´ticos permiten el movimiento gracias a impulsos nerviosos que activan la contraccio´n de sus fibras. Durante este proceso, los filamentos de actina y miosina se deslizan entre si´, acortando la fibra muscular y generando fuerza. Conoce ma´s sobre los mu´sculos con esta infografi´a. Aprende ma´s en www.revistamsp.com
#Infografi´aMSP | Una buena opcio´n para mantener o recuperar una buena salud de la microbiota intestinal son los probio´ticos de origen natural, pues son microorganismos vivos que, en cantidades adecuadas, confieren beneficios especiales. Conoce ma´s datos de la microbiota intestinal con esta infografi´a que hemos preparado para ti. Aprende ma´s en www.revistamsp.com
#Infografi´aMSP La rodilla es una de las articulaciones ma´s complejas del cuerpo, permitiendo el movimiento y soportando el peso. Conoce su anatomi´a, funciones y las lesiones ma´s comunes en esta infografi´a. Aprende ma´s en www.revistamsp.com
#Infografi´aMSP La anestesia es sin duda uno de los grandes descubrimientos que se han llevado a cabo e incluso se situ´a entre los cinco mejores avances dentro de la medicina. Gracias a este medicamento se han podido llevar a cabo operaciones de larga duracio´n, intervencio´n de gran complejidad y aliviar dolores como el momento del parto. Aprende sobre los tipos de la anestesia con esta infografi´a o en www.revistamsp.com
Medicina y Salud Pública
Medicina y Salud Pública


















