El diagnóstico final fue de linfoma compuesto, específicamente la coexistencia de leucemia linfocítica crónica/linfoma linfocítico pequeño (CLL/SLL) y linfoma folicular (FL).

Paciente masculino de 54 años acudió a evaluación por presentar linfadenopatía generalizada (inflamación de los ganglios linfáticos) y linfocitosis en sangre periférica. El paciente no refería síntomas B como pérdida de peso, fiebre o sudores nocturnos.
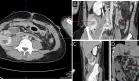
Los estudios de imagen mostraron un ganglio linfático retroperitoneal izquierdo aumentado de tamaño, midiendo 2.1 cm. Ante estos hallazgos, se inició un estudio exhaustivo para caracterizar la naturaleza de la enfermedad.
El abordaje diagnóstico incluyó múltiples modalidades. La biopsia y aspiración con aguja fina revelaron hallazgos significativos en la tinción de Hematoxilina-Eosina. Se observó un patrón difuso de células linfoides pequeñas con cromatina condensada, altamente sugerente de leucemia linfocítica crónica/linfoma linfocítico pequeño (CLL/SLL).
Simultáneamente, se identificaron áreas con centros germinales alterados que mostraban presencia de centrocitos y centroblastos, hallazgos compatibles con linfoma folicular (FL).
La inmunohistoquímica proporcionó información crucial para el diagnóstico. La población correspondiente a CLL/SLL mostró positividad para los marcadores CD5, CD20 y CD23, junto con un bajo índice proliferativo evidenciado por la expresión mínima de Ki-67. Esta población resultó negativa para ciclina D1.
Por otro lado, la población correspondiente al linfoma folicular expresó marcadores característicos de células del centro germinal, incluyendo CD10, BCL-2 y BCL-6.
La citometría de flujo confirmó la presencia de dos poblaciones clonales distintas. La primera población, compatible con CLL/SLL, mostró expresión de CD5, CD19, CD20 y CD23 débil, junto con restricción de cadena ligera kappa. La segunda población, correspondiente al linfoma folicular, expresó CD10, CD19 y CD20, con restricción de cadena ligera lambda.
Para complementar estos hallazgos, se realizó análisis digital de las muestras mediante el sistema QuPath, que permitió cuantificar con precisión la expresión de los diferentes marcadores y confirmar definitivamente la coexistencia de ambas neoplasias.
El diagnóstico final fue de linfoma compuesto, específicamente la coexistencia de leucemia linfocítica crónica/linfoma linfocítico pequeño (CLL/SLL) y linfoma folicular (FL). La primera entidad se caracterizó morfológicamente por la presencia de células pequeñas con centros de proliferación, mostrando un inmunofenotipo positivo para CD5 y CD23 con baja proliferación. La segunda entidad, el linfoma folicular, mostró la típica morfología con centrocitos y centroblastos en folículos alterados, con un inmunofenotipo positivo para CD10 y BCL-2.
Considerando la naturaleza indolente de ambas neoplasias en este caso, se decidió implementar una estrategia de vigilancia activa. El plan de seguimiento incluyó evaluaciones clínicas trimestrales, estudios de laboratorio periódicos (hemograma, perfil metabólico y LDH), así como la realización de estudios de imagen o nuevas biopsias en caso de detectarse progresión de la enfermedad.
Adicionalmente, se programó el análisis de mutación en TP53 debido a su conocido impacto pronóstico. En esta fase inicial no se consideró necesario iniciar terapia sistémica, aunque se enfatizó la importancia de reevaluar esta decisión ante cualquier cambio en la condición clínica o parámetros biológicos del paciente.
Este caso ilustra varios aspectos relevantes en el manejo de los linfomas. Primero, deja ver los desafíos diagnósticos que presentan los linfomas compuestos, los cuales requieren necesariamente la integración de técnicas morfológicas, inmunohistoquímicas y de citometría de flujo para identificar adecuadamente clones independientes que coexisten en un mismo paciente.
Segundo, evidencia las implicaciones terapéuticas de esta coexistencia neoplásica, donde aunque el manejo inicial pueda ser conservador en casos indolentes, la presencia de dos neoplasias distintas obliga a un monitoreo más estrecho por la posibilidad de transformaciones agresivas.
Tercero, muestra cómo los avances tecnológicos, particularmente el análisis digital mediante plataformas como QuPath, pueden mejorar significativamente la precisión en la cuantificación de marcadores y el diagnóstico.