La joven inicialmente fue diagnosticada con anemia, pero en realidad padecía de algo mucho más grave.
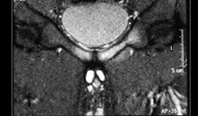
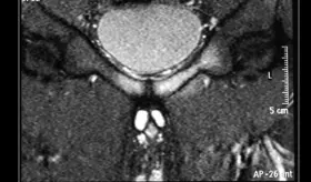
El hematoma comprimía la médula espinal y fue causado por sangrado arterial, no venoso, lo cual es poco común en estos casos.
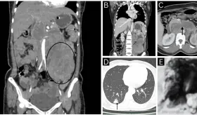
El paciente no tenía factores de riesgo ni inmunosupresión, lo que hizo aún más inusual el desarrollo de la infección.
Lideró procesos clave de renovación dentro de la Asociación, incluyendo la actualización de su revista científica.
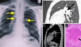
Más de 180 tipos de saborizantes en productos de vapeo pueden generar sustancias tóxicas al ser calentados, lo que aumenta el riesgo de daño pulmonar.
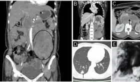
La reactivación ocurrió en el contexto de un aumento en la inmunosupresión, específicamente con el incremento del micofenolato mofetilo (MMF).
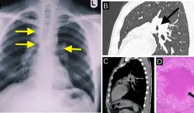
Usar agua del grifo en lavados nasales podría favorecer infecciones poco comunes pero graves.
Especialistas de todo el país se reúnen en un espacio que combina ciencia, formación médica y trabajo interdisciplinario para fortalecer la atención cardiovascular en la isla.
El diagnóstico preciso requiere reconocer signos sutiles y evitar intervenciones que pueden agravar el riesgo en pacientes no estratificados.
La interrupción brusca del lorazepam, tras un uso sostenido, puede provocar un síndrome de abstinencia severo que incluye convulsiones, insomnio intenso, agitación y, en algunos casos, psicosis.
El antecedente de fracturas costales recurrentes por tos y el uso prolongado de omeprazol, un inhibidor de la bomba de protones, son factores que contribuyen a la disminución de la densidad ósea, favoreciendo la osteoporosis.










