Más del 70% de los casos de cáncer de pulmón en el mundo se diagnostican en etapas avanzadas, lo que reduce significativamente las posibilidades de remisión.

En Estados Unidos y en gran parte del mundo, más de 2.2 millones de personas son diagnosticadas con cáncer de pulmón cada año. En Puerto Rico, aunque el registro de casos ha mejorado en los últimos años, esta enfermedad continúa siendo un problema de salud relevante, al igual que en muchos otros países.
"Muchos países han estado tomando medidas significativas desde el punto de vista de disminuir la incidencia de fumadores, pero en otros países eso no ha disminuido y el problema mayor ha sido ese porque al no haber un control estricto sobre el cigarrillo muchos de esos otros países han tenido una incidencia mayor", señaló el Dr. Arnulfo Santana Santana, Presidente de la Sociedad Puertorriqueña de Neumología y pulmunólogo.
El especialista destaca que, aunque ha habido avances en algunos aspectos, el vapeo se ha convertido en un problema creciente, especialmente entre los jóvenes. Señalando que muchos estudiantes comienzan a vapear a edades tempranas, lo que puede llevarlos al consumo de cigarrillos tradicionales. Esto aumenta el riesgo de desarrollar cáncer de pulmón, ya que la exposición prolongada y temprana al tabaco incrementa la probabilidad de padecer esta enfermedad.
Asimismo, el experto señala que en diversos países existen industrias, como la del acero, que generan contaminantes, entre ellos la amina, los cuales pueden contribuir al desarrollo de enfermedades.
Vea el programa completo aquí.
"Puerto Rico antes nosotros teníamos el problema de asbestos, hoy en día no tenemos tantos problemas de asbestos, sin embargo se ha podido controlar, pero todavía encontramos muchos edificios viejos donde encontramos elementos de asbestos y personas que durante muchos años se han expuesto a ello, que pudiera ser otro factor importante".
Además, menciona la incertidumbre sobre la incidencia del radón en la isla, un gas natural asociado al cáncer de pulmón, cuya presencia es monitoreada por la EPA (Agencia de Protección Ambiental de Estados Unidos) en otros países.
El Dr. Santana destaca que el cáncer de pulmón es frecuente en mujeres no fumadoras, mencionando que diversos estudios han mostrado una mayor incidencia en este grupo, y aunque la evidencia aún no es concluyente, se sugiere que las hormonas podrían influir en el desarrollo de la enfermedad.
"El cáncer de pulmón es un cáncer curable, si lo conseguimos tempranamente, desgraciadamente más del 70% de los cánceres que nosotros vemos en todo el mundo son avanzados, o sea que estamos hablando que es una mínima cantidad que nosotros podemos curar", resaltó.
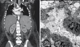
Por esta razón, el Instituto Nacional de Salud y el Departamento de Oncología han impulsado estudios comparativos sobre la efectividad de radiografías y tomografías computarizadas (CT scan) en la detección temprana. Los resultados han demostrado que, en grupos de riesgo, el uso de CT scan permite identificar el cáncer en etapas iniciales, aumentando las oportunidades de tratamiento y curación.
El pulmonólogo explicó que el seguimiento con radiografías de tórax no es la opción más adecuada para detectar cáncer de pulmón en pacientes de alto riesgo. En su lugar, recomienda la tomografía computarizada (CT scan) de baja dosis, especialmente en personas con más de 20 años fumando una caja de cigarrillos al día o en exfumadores que dejaron el hábito hace menos de 15 años. Este método ha demostrado ser eficaz en la detección temprana de la enfermedad, lo que aumenta las posibilidades de un tratamiento exitoso.
En Puerto Rico, existen varios centros que realizan tomografías computarizadas de baja dosis para la detección temprana del cáncer de pulmón. Sin embargo, en pacientes con antecedentes de exposición significativa y síntomas como tos persistente, hemoptisis o dificultad para respirar, así como en aquellos con enfermedades respiratorias crónicas, podría ser más adecuado realizar una tomografía convencional. Aunque este método implica una mayor exposición a la radiación, permite identificar hallazgos específicos que pueden ser clave para el diagnóstico.
Uno de los principales desafíos en Puerto Rico y Estados Unidos es el acceso a estudios médicos debido a las restricciones impuestas por los planes de salud, según lo se{ala en Dr. Santana. Estas barreras dificultan la atención de personas en alto riesgo, a pesar de la importancia de la detección temprana. Aunque los costos son un factor clave para las aseguradoras, es fundamental garantizar que los pacientes reciban los estudios necesarios en el momento adecuado.
"Muchas veces si nosotros tenemos una idea clara de lo que debemos enviarle en un momento dado a ese paciente, le disminuimos el costo al plan médico, pero a la misma vez tratamos de diagnosticar tempranamente muchas de esas condiciones que en un momento dado ponen la vida en riesgo de ese paciente", agregó.
Existen cuatro tipos histológicos de cáncer de pulmón, siendo el adenocarcinoma el más común en la actualidad, superando al carcinoma escamocelular. El tratamiento ha avanzado significativamente gracias a una variedad de medicamentos que se adaptan a las características genéticas de cada tipo de cáncer.
La inmunoterapia ha demostrado resultados positivos en la mejora de la calidad y expectativa de vida de los pacientes. Además, se continúa investigando en este campo, con avances prometedores, "hoy en día se está tratando de desarrollar la vacuna de cáncer de pulmón, que ya yo considero que tiene unos avances significativos", concluyó.