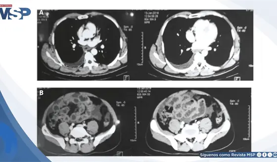
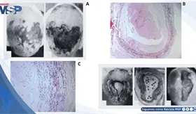
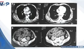
Tras descartar causas parasitarias e infecciosas, la histología ileal confirmó el diagnóstico de gastroenteritis eosinofílica con componente de serositis.
Recibir un diagnóstico de diabetes, hipertensión, cáncer o insuficiencia cardíaca transforma la vida entera. Pero hay una pregunta que pocas veces sale de los consultorios y casi nunca entra en ellos: ¿qué pasa con mi sexualidad ahora?
La salud sexual no desaparece con la enfermedad, sino que requiere un enfoque sensible e informado por parte de los profesionales de la salud.
La herramienta podría transformar el diagnóstico de una complicación que provoca hemorragias masivas y cuya incidencia va en aumento en Estados Unidos.
Un análisis identificó en el semen humano moléculas procedentes de insecticidas, retardantes de llama y otras sustancias de uso cotidiano asociados a se asocian con menor cantidad, movilidad y vitalidad de los espermatozoides.
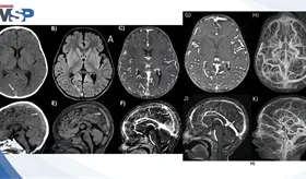
El caso ilustra la importancia del diagnóstico precoz y la agresividad del tratamiento inicial para prevenir secuelas irreversibles.
Experta compartió técnicas prácticas para incorporar la risoterapia en la vida diaria durante el evento celebrado en Plaza Las Américas.
Especialistas explican que recibir un diagnóstico grave no extingue el deseo, no anula las emociones ni borra la necesidad de intimidad.
Organismos sanitarios de todo el mundo alertan sobre niveles elevados de plomo en alimentos cotidianos y suplementos dietéticos.
Las inundaciones que afectan el norte de Colombia, con más de 156.000 personas damnificadas y al menos 14 muertos, pueden desencadenar múltiples epidemias simultáneas.
Especialista explica qué es un infarto con elevación del segmento ST, por qué el tiempo de respuesta es determinante para salvar el músculo cardíaco y qué síntomas deben motivar una consulta inmediata.










