COMUNICADOS DE PRENSA
Regístrate
Ingresa
Noticias
Artículos Médicos
Educación Continua
Micrositios
Podcast
Eventos
Revistas
Revistas
Artritis
Pediatría
Ginecología
Cardiología
Covid-19
Ver todas
×
Fisioterapia
ACR 2023
Administración y Gerencia Médica
Alergología e inmunología
Anestesiología
Cardiología
Cardiovascular
Casos-Clinicos
Cirugia
Comunicados de Prensa
Covid-19
Dermatología
Diabetes
Endocrinología
Endocrinología-Diabetes
Enfermería
EULAR
Expertos en Salud
Farmacología
Fisiatría
Gastroenterología
General
Genética
Geriatría
Ginecología-Obstetricia
Hematología
HIV
Hospitales
Humanidades Médicas
Infectología
|
Regístrate
Ingresa
Noticias
Artículos Médicos
Educación Continua
Micrositios
Podcast
Eventos
Revistas
Revistas
Artritis
Pediatría
Ginecología
Cardiología
Covid-19
Ver todas
×
Fisioterapia
ACR 2023
Administración y Gerencia Médica
Alergología e inmunología
Anestesiología
Cardiología
Cardiovascular
Casos-Clinicos
Cirugia
Comunicados de Prensa
Covid-19
Dermatología
Diabetes
Endocrinología
Endocrinología-Diabetes
Enfermería
EULAR
Expertos en Salud
Farmacología
Fisiatría
Gastroenterología
General
Genética
Geriatría
Ginecología-Obstetricia
Hematología
HIV
Hospitales
Humanidades Médicas
Infectología
Hoy en Medicina y Salud Pública
Medicina de precisión e IA anticipan riesgos y personalizan el manejo de la diabetes
Noviembre 19, 2025
La pérdida de músculo durante tratamientos para bajar de peso aumenta el riesgo cardiovascular: Experto
Noviembre 19, 2025
Puerto Rico con tasa de tabaquismo más baja en EE. UU.,: persisten retos en detección de cáncer de pulmón
Noviembre 19, 2025
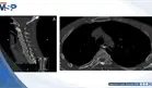
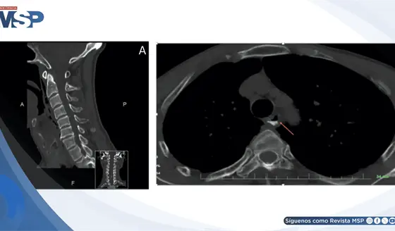
Perforación hipofaríngea simuló lesión menor: disfagia progresiva reveló ruptura de 2.5 cm
Noviembre 19, 2025
Farmacias de Puerto Rico piden inclusión en proyecto que amplía facultades de prescripción a enfermeros
Noviembre 19, 2025
Pancitopenia por tuberculosis con compromiso de médula ósea en paciente con esteroides crónicos
Noviembre 19, 2025
El dolor crónico podría multiplicar el riesgo de hipertensión arterial, según estudio
Noviembre 19, 2025
Estudio revela que un simple escaneo de retina podría predecir el riesgo de accidente cerebrovascular
Noviembre 18, 2025
Úlceras varicosas: ¿Qué son, por qué aparecen y cuál es su manejo?
Noviembre 18, 2025
Lo Más Visto
Ver más
1
¿Inmovilidad y dolor sordo en el hombro? Podría ser capsulitis adhesiva u hombro congelado
Noviembre 18, 2025
2
Estudio revela que un simple escaneo de retina podría predecir el riesgo de accidente cerebrovascular
Noviembre 18, 2025
3
Hemorroides: qué son, por qué aparecen y cómo aliviar el dolor efectivamente
Noviembre 16, 2025
4
Candidiasis esofágica en hombre con asma tras automedicarse con fluticasona y tragar enjuague bucal
Noviembre 17, 2025
5
Agrandamiento del conducto pancreático podría ser una señal temprana de cáncer de páncreas
Noviembre 16, 2025
Lo Último
Ver más
Medicina de precisión e IA anticipan riesgos y personalizan el manejo de la diabetes
Noviembre 19, 2025
La pérdida de músculo durante tratamientos para bajar de peso aumenta el riesgo cardiovascular: Experto
Noviembre 19, 2025
Puerto Rico con tasa de tabaquismo más baja en EE. UU.,: persisten retos en detección de cáncer de pulmón
Noviembre 19, 2025
Perforación hipofaríngea simuló lesión menor: disfagia progresiva reveló ruptura de 2.5 cm
Noviembre 19, 2025
Farmacias de Puerto Rico piden inclusión en proyecto que amplía facultades de prescripción a enfermeros
Noviembre 19, 2025
Expertos en Salud
Más allá de las articulaciones: Lo nuevo...
Junio 29, 2025
Artículos Médicos
Alza de chikungunya en Cuba: llamado urgente a la acción sanitaria nacional
Noviembre 10, 2025
Día internacional de la radiología: la imagen como aliada en la detección temprana del cáncer de mama
Noviembre 08, 2025
Del rosa a la realidad: lo que no se habla del cáncer de mama terminal
Noviembre 03, 2025
Ver más
Noticias
Pancitopenia por tuberculosis con compromiso de médula ósea en paciente con esteroides crónicos
Noviembre 19, 2025
El dolor crónico podría multiplicar el riesgo de hipertensión arterial, según estudio
Noviembre 19, 2025
Estudio revela que un simple escaneo de retina podría predecir el riesgo de accidente cerebrovascular
Noviembre 18, 2025
Ver más
Infografías
¿Cómo reconocer los síntomas del mieloma múltiple?
Octubre 11, 2025
Así actúa el gen EGFR en el desarrollo del cáncer de pulmón
Octubre 11, 2025
Salud Mental
Octubre 10, 2025
Revista del Mes
La Genética del Cáncer de Seno en La Familia Puertoriqueña
×
Regístrate
Medicina y Salud Pública
Profesión
Médico
Farmacéutico
Enfermero
Estudiante de medicina
Profesional de la salud
Paciente
Otro
Seleccionar la revista para recibir por medio de correo electronico
Revista Medicina y Salud Pública
Revista Salud y Pediatría
Revista Ginecología y Obstetricia
Revista Diabetes
Revista Artritis y Reumatología
Deseo recibir el newsletter de Medicina y Salud Pública
Cargando, por favor espere.
REGISTRARSE
Regresar
×
Iniciar Sesión
Medicina y Salud Pública
Validando, por favor espere.
ENTRAR
Olvidé mi contraseña
¿No tienes cuenta?
Regístrate aquí
Regresar
×
Recuperar Contraseña
Enviando... por favor espere.
ENVIAR
Iniciar sesión
¿No tienes cuenta?
Regístrate aquí
Regresar