La pseudomelanosis vesical es una entidad extremadamente infrecuente, caracterizada por el depósito de pigmento de melanina en el urotelio y macrófagos de la lámina propia.

Un hombre de 79 años consultó por hematuria macroscópica indolora de siete semanas de evolución, sin síntomas del tracto urinario inferior acompañantes.
Entre sus antecedentes destacaban cataratas, adrenalectomía izquierda y tratamiento crónico con amlodipino, espironolactona y rivaroxabán. No existían factores de riesgo para carcinoma urotelial.
La exploración física fue normal. El análisis de orina descartó infección bacteriana, y el sedimento mostró hematíes sin dismorfismo. La citología urinaria reveló una infección grave por cándida y células uroteliales con pigmento de melanina, hallazgo inusual que orientó el diagnóstico.
La cistoscopia evidenció trabeculación vesical, divertículos, agrandamiento del lóbulo prostático medio y una masa sólida de 1-2 cm en la pared posterior derecha, aunque la visualización era dificultosa por los detritos intraluminales. La uro-TC del tracto urinario superior no mostró alteraciones.
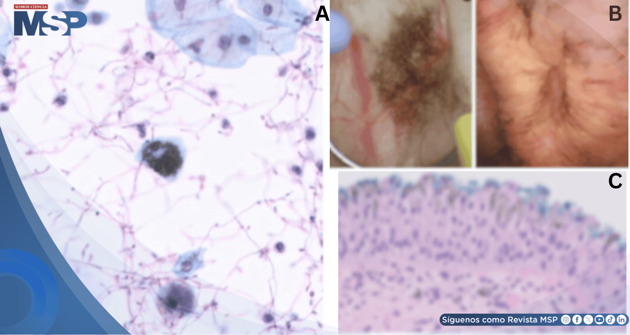
Durante la resección transuretral no se identificó tumor vesical, pero sí múltiples lesiones pigmentadas de coloración negra y parda que fueron biopsiadas de forma selectiva.
El estudio histológico demostró un urotelio con arquitectura conservada, con depósito de pigmento de melanina en las capas superficiales confirmado mediante tinción de Schmorl, y abundantes macrófagos cargados de pigmento en la lámina propia, sin presencia de melanocitos.
En el postoperatorio inmediato el paciente presentó elevados volúmenes residuales tras la retirada del catéter Foley, atribuibles a hiperplasia prostática benigna sobre la base del lóbulo medio agrandado observado durante la cirugía.
Se inició tratamiento con alfabloqueante y, al no lograr micción espontánea satisfactoria tras una semana, se instruyó al paciente en autocateterización intermitente limpia. La hematuria se resolvió sin tratamiento antifúngico específico. Quedó programada una cistoscopia de control a los 6-8 meses.
La pseudomelanosis vesical, descrita por primera vez en 2006, es una condición benigna y casi siempre asintomática, habitualmente descubierta de forma incidental.
Su etiopatogenia no está completamente aclarada, aunque se ha asociado al uso de determinados fármacos (diuréticos tiazídicos, betabloqueantes, suplementos de hierro) y a condiciones como la diabetes mellitus, la hipertensión arterial y la enfermedad renal crónica.
En este caso, de acuerdo a M. Duijn et al., la hematuria tuvo como causa más probable la cistitis por cándida, y las lesiones pigmentadas constituyeron un hallazgo casual.
Aunque la pseudomelanosis se considera benigna, existe asociación descrita con melanoma maligno y carcinoma urotelial, por lo que se recomienda seguimiento cistoscópico periódico con biopsia en caso de cambios en las lesiones. No existen guías clínicas establecidas sobre la duración e intervalos óptimos de dicho seguimiento.