Necrosis extensa del cuero cabelludo como complicación de arteritis de células gigantes

El caso ilustra la importancia del diagnóstico precoz y la agresividad del tratamiento inicial para prevenir secuelas irreversibles.

Laura Guio

    Necrosis extensa del cuero cabelludo como complicación de arteritis de células gigantes

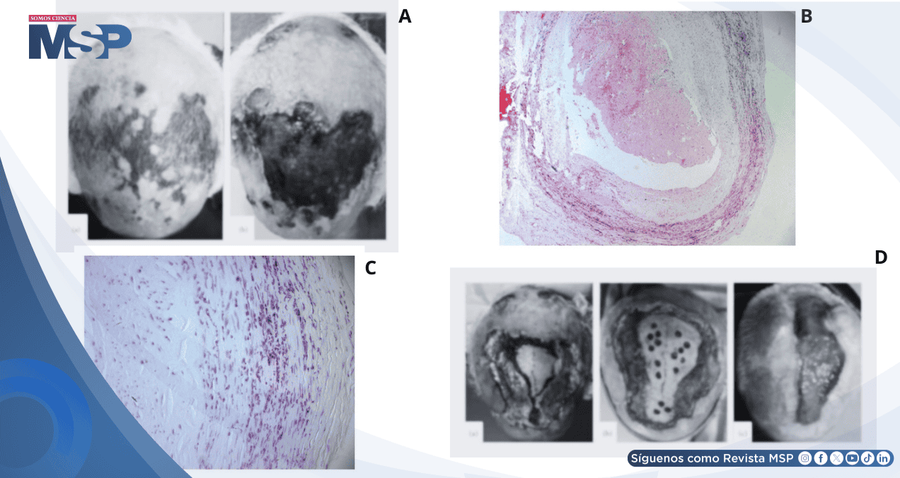
    Un adulto de 72 años, con antecedentes de hipertensión arterial, dislipidemia y amputación de miembro inferior derecho por isquemia aguda hace ocho años, consultó por un cuadro de una semana de evolución caracterizado por ulceraciones necróticas dolorosas del cuero cabelludo. La lesión se inició como un parche hemorrágico en la región parietal que progresó rápidamente en tan solo dos días hacia regiones frontal y occipital.

    El paciente refería cefalea aguda intensa, sin alteraciones visuales ni datos de polimialgia reumática asociada.

    Hallazgos clínicos y paraclínicos

    Al examen físico se evidenciaron extensas ulceraciones necróticas con hiperestesia marcada en las regiones parietal y temporal del cuero cabelludo. Las arterias temporales se palparon induradas y sin pulso en el lado derecho, hallazgo altamente sugestivo de ACG.

    Los exámenes de laboratorio revelaron una proteína C reactiva elevada de 90 mg/L con velocidad de sedimentación globular normal. La biopsia de arteria temporal fue el elemento diagnóstico definitivo, al demostrar una vasculitis granulomatosa de la pared vascular con infiltrado de macrófagos, neutrófilos y células gigantes multinucleadas, confirmando así el diagnóstico de arteritis de células gigantes.

    Evolución y manejo

    Ante la sospecha clínica inicial se instauró de forma inmediata glucocorticoides orales a dosis de 1 mg/kg/día junto con curaciones locales dos veces al día. Sin embargo, a pesar de este tratamiento, las lesiones continuaron progresando.

    A las dos semanas, el paciente fue referido al servicio de cirugía maxilofacial, donde se realizaron múltiples intervenciones quirúrgicas que incluyeron la escisión de tejidos necróticos, trepanación de la tabla externa del cráneo y terapia de heridas por presión negativa en sesiones repetidas a lo largo de varios meses. 

    El uso de tocilizumab, que habría sido de utilidad dada la gravedad y refractariedad del caso, no fue posible por su indisponibilidad en el medio.

    Tras más de un año de seguimiento, se logró una cicatrización parcial satisfactoria sin progresión de la necrosis. El paciente rechazó el injerto cutáneo y se mostró conforme con el resultado estético obtenido. No se registraron recaídas de la enfermedad de base hasta que el paciente falleció un año después por infarto agudo de miocardio.

    Discusión

    La necrosis del cuero cabelludo en el contexto de ACG es una complicación grave que señala un estadio avanzado de la enfermedad. De acuerdo a Safa Idoudi et al., su fisiopatología radica en la oclusión multivascular de las cuatro arterias principales que irrigan el cuero cabelludo temporal, lo que genera isquemia irreversible. 

    Más allá del compromiso cutáneo, la extensión del proceso arterítico puede comprometer la vascularización ocular con riesgo de ceguera permanente y producir necrosis lingual, lo que convierte este cuadro en una verdadera urgencia.

    El presente caso ejemplifica cómo incluso con corticoterapia instaurada oportunamente, los casos graves pueden requerir un abordaje quirúrgico prolongado y multidisciplinario. El antecedente vascular del paciente —amputación por isquemia aguda— sugiere una vasculopatía de base que pudo haber contribuido a la severidad del cuadro.


    Más noticias de Casos-Clinicos