La paciente presentó una masa anexial sólida con ascitis y hallazgos sugestivos de malignidad ovárica, pese a estar hemodinámicamente estable y con marcadores tumorales normales, lo que llevó a sospecha inicial de cáncer.

Una mujer de 33 años, con dos embarazos previos a término, llegó a urgencias con dolor y presión pélvica intermitentes de tres meses. Su última regla había sido un mes antes y usaba NuvaRing como anticonceptivo.
Sin alteraciones en signos vitales ni hemoglobina, el examen físico solo mostró sensibilidad abdominal leve.
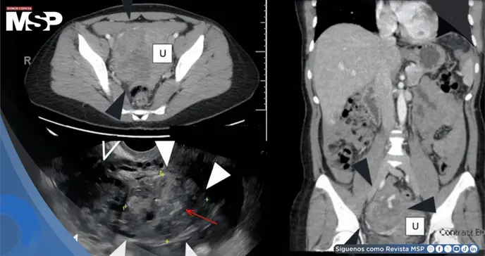
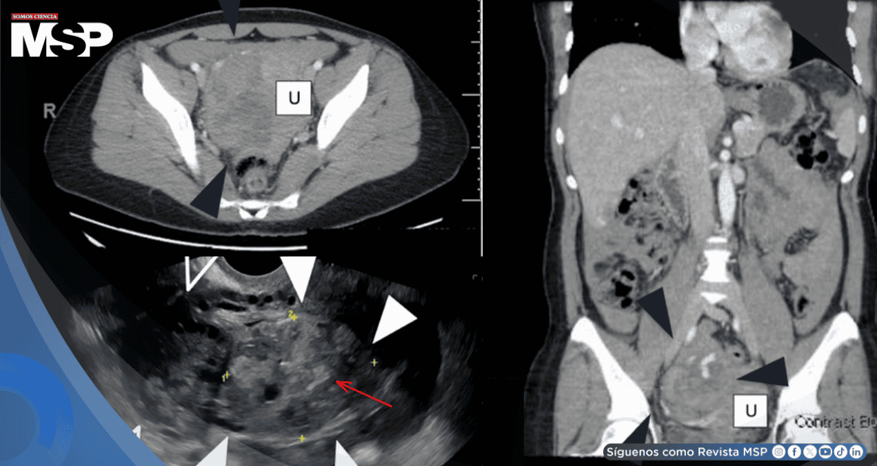
La ecografía transvaginal detectó una masa sólida de 5 cm en el ovario derecho, ascitis en pelvis y abdomen, más líquido simple en fondo de saco y anexos derechos, sin embarazo intrauterino visible.
Los niveles de ßHCG subieron levemente de 260 a 301 mUI/ml en 48 horas. La tomografía computarizada (TC) agravó la sospecha: masa anexial heterogénea de 8,8 cm con vascularidad periférica y líquido libre hiperdenso, evocando posible malignidad ovárica. Marcadores tumorales como CEA y CA-125 resultaron normales.
Dos semanas después, se realizó laparotomía con salpingooforectomía derecha, cistectomía izquierda y legrado uterino, sospechando tumor germinal o de cordones sexuales.
Intraoperatoriamente, hallaron una masa sólida grande en anexo derecho con adherencias densas a peritoneo vesical, fondo de saco, útero y colon sigmoide, más un implante en intestino delgado. El legrado endometrial fue negativo.
La biopsia congelada intraoperatoria sugirió quiste hemorrágico benigno. El anatomopatológico definitivo confirmó una cavidad hemorrágica con vellosidades coriónicas degeneradas junto al ovario y trompa, diagnóstica de embarazo ectópico ovárico.
Implantes en otros sitios mostraron fibrosis e inflamación crónica leve, típicos de ROEP crónica. La ßHCG descendió rápidamente a 2 mUI/ml postoperatorio. La paciente se recuperó sin complicaciones y permaneció estable en seguimientos.
El embarazo ectópico ovárico suele debutar con dolor agudo y hemorragia interna, pero este caso crónico y estable hemodinámicamente mimetizó malignidad.
Los niveles de ßHCG varían ampliamente en ectópicos: hasta 50% por debajo de 1500 mUI/ml, incluso <100 mUI/ml en rupturas. Aquí, la subida leve y caída postquirúrgica encajó mejor con ROEP resuelta espontáneamente que con tumor.
La ecografía mostró masa sólida vascularizada sin "anillo de fuego" clásico, rodeada de corteza ovárica con folículos. La TC reveló heterogeneidad y hemoperitoneo, hallazgos compartidos con quistes hemorrágicos rotos o tumores. Líquido libre pélvico es inespecífico, y tejido trofoblástico puede inducir vasos anormales, simulando neoplasias.
Según las autoras Rebecca Shin, Bridget Neal y Alireza Abidif, algunos casos previos describen ectópicos tubáricos o ováricos hipervasculares confundidos con cáncer por ecografía.
Otros casos, como los de Qing o Savelli, requirieron cirugía para diferenciarlos. Inversamente, tumores germinales o coriocarcinomas han imitado ectópicos con ßHCG elevada y abdomen agudo.
En masas anexiales >10 cm, sólidas, con ascitis o vascularidad, priorizar tumores germinales, trofoblásticos o ROEP, sobre todo en edad fértil. Correlacionar clínica, ßHCG seriales e imágenes detalladas. La cirugía con biopsia intraoperatoria es el gold standard. Este caso enfatiza preparar al paciente para sorpresas quirúrgicas y evitar cirugías innecesariamente radicales.