Los hallazgos sugieren que tanto la infección por SARS-CoV-2 como la vacunación podrían actuar como desencadenantes de trastornos autoinmunes en personas genéticamente susceptibles, aunque no se establece una relación causal definitiva.
A los 6 meses se observa una mejora significativa en la función cardíaca en el grupo tratado con células madre, aunque no se registran diferencias estadísticas en mortalidad general o por causas cardiovasculares.
El Hospital celebró 513 años de servicio ininterrumpido, consolidándose como la institución de salud más antigua de Puerto Rico, símbolo de evolución, fe y atención médica de excelencia.
La convención resaltó la revolución tecnológica en la urología, con especial atención en el tratamiento focal del cáncer de próstata, que permite destruir solo el área afectada sin comprometer la continencia ni la función sexual
La IA predijo el 42.4% de los cánceres de intervalo concentrándose en el 20% de las mujeres con mayores puntuaciones de riesgo, superando a las herramientas de predicción convencionales.
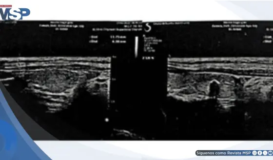
A pesar de los análisis normales, presentaba reserva ovárica baja y hallazgos ecográficos anormales. Durante la cirugía se descubrió daño severo en sus órganos reproductivos, con adherencias, trompas bloqueadas y destrucción del tejido ovárico.
La vejiga hiperactiva se caracteriza por la pérdida del control del músculo vesical, afectando la capacidad de retener la orina, y es frecuente en mujeres y en hombres mayores con problemas prostáticos.
Aunque no existe una cura definitiva, los tratamientos actuales permiten alcanzar la remisión, un estado en el que el paciente no presenta síntomas ni actividad inflamatoria.
El tratamiento consiste en una única inyección en la cóclea que introduce una copia sana del gen OTOF mediante un virus desactivado.
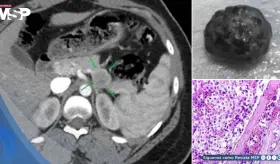
El pólipo, de aproximadamente 3 × 1.7 × 1.5 cm, fue identificado mediante endoscopia y resecado completamente por polipectomía con asa diatérmica, con confirmación histopatológica de leiomioma positivo para Desmina y anticuerpo anti-músculo liso.
Cuba se encuentra en fase de alarma ciclónica, con todos los protocolos de emergencia activados para proteger la vida humana. Las autoridades insisten en no confiarse durante la aparente calma del ojo del huracán, ya que las ráfagas más fuertes suelen llegar después.










