La autopsia reveló un cálculo vesical gigante de 6,5 cm adherido a un delineador de ojos que había penetrado desde el recto hacia la vejiga, causando pielonefritis y sepsis fatal.

Hombre de 60 años con dolor abdominal intermitente de tres años, fue encontrado inconsciente en su domicilio. Al ingreso hospitalario se encontraba en shock séptico con tensión arterial de 67/48 mmHg, fiebre de 38°C y taquicardia.
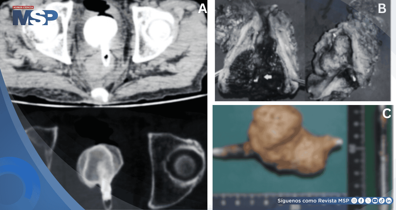
Los estudios mostraron leucocitosis (12.700/µL) y proteína C reactiva elevada (28,36 mg/dL). La tomografía identificó una varilla metálica en región rectal. La inestabilidad hemodinámica impidió cirugía.
Se administraron noradrenalina y piperacilina-tazobactam sin éxito, falleciendo a las 48 horas. La investigación domiciliaria encontró ropa femenina y dispositivos sexuales.
La tomografía post mortem mostró un cuerpo extraño penetrando la pared vesical con enfisema intravesical. El examen externo reveló una úlcera perineal crónica de 5 cm rodeada de cambios de coloración cutánea, con el ano intacto.
Internamente se identificó un delineador de ojos de aluminio (9 × 0,8 cm) penetrando la pared rectal anterior hacia la vejiga, con un cálculo vesical gigante de 6,5 × 6,0 × 4,0 cm adherido. La mucosa rectal circundante estaba eritematosa y edematosa. El riñón izquierdo pesaba 250 g, estaba congestivo y rojizo, mientras el derecho pesaba 110 g y lucía pálido. Había hidronefrosis bilateral. El peritoneo permanecía intacto sin signos de perforación.
El estudio microscópico de la fístula mostró infiltración linfocitaria densa con escasos neutrófilos, compatible con inflamación crónica. El riñón izquierdo presentaba infiltración masiva de neutrófilos y abscesos confirmando pielonefritis aguda. La procalcitonina sérica alcanzó 50,4 ng/mL y los hemocultivos fueron positivos para Escherichia coli y estafilococos.
La muerte resultó de sepsis secundaria a pielonefritis del riñón izquierdos según Tadashi Hosoya et al., aunque los cálculos vesicales constituyen factores de riesgo para infecciones urinarias, en este caso la fístula rectovesical creó una comunicación directa que facilitó el paso de enterobacterias al tracto urinario superior.
La penetración del objeto en el tejido blando debajo de la bolsa rectovesical evitó la perforación peritoneal y la peritonitis aguda, explicando la supervivencia prolongada. El estado inflamatorio crónico con edema pudo haber limitado el espacio de la fístula, restringiendo la transferencia bacteriana aguda.
El tiempo exacto de retención es incierto, pero varios elementos sugieren aproximadamente tres años. La historia clínica coincide con este período, y la formación de cálculos gigantes requiere típicamente meses a años. El fabricante confirmó que el producto llevaba 10 años en el mercado. La inflamación crónica observada, con predominio linfocitario y escasa fibrosis, puede explicarse por la exposición bacteriana continua y las propiedades del aluminio que inhiben la fibrosis.
La dirección ascendente del objeto, el hallazgo de elementos asociados a prácticas autoeróticas en el domicilio y la ausencia de evidencia de agresión sugieren inserción voluntaria con fines de estimulación sexual. Es relevante que aproximadamente 9% de pacientes con cuerpos extraños rectales ocultan el motivo de inserción durante la evaluación inicial, y en 8% el diagnóstico pasa inadvertido.
Este caso extraordinario demuestra que las complicaciones de actividades sexuales pueden manifestarse años después del evento desencadenante. En pacientes con síntomas abdominales crónicos inexplicados, especialmente con infecciones urinarias recurrentes, debe considerarse la posibilidad de cuerpos extraños rectales.
La evaluación forense debe incluir actividades sexuales como posible mecanismo de muerte, incluso cuando ocurrieron años antes. La ausencia de peritonitis aguda no excluye cuerpos extraños penetrantes con potencial de causar complicaciones fatales a largo plazo.