El dolor torácico agudo y pleurítico que apareció inmediatamente después de la punción seca fue interpretado como una distensión muscular, lo que retrasó el diagnóstico durante tres días.

Una mujer de 35 años, con un índice de masa corporal normal de 22 y sin antecedentes médicos significativos, acudió al servicio de urgencias por dolor torácico persistente que se había agravado en los últimos días.
El origen de sus síntomas se remontaba a una sesión de punción seca, un procedimiento terapéutico común para el dolor musculoesquelético, que había recibido tres días antes por un dolor lumbar crónico.
El tratamiento fue realizado por un fisioterapeuta certificado en una clínica ambulatoria. El objetivo era abordar puntos gatillo en los músculos trapecio superior y romboides derechos.
Según la documentación, el terapeuta insertó una aguja de 70 mm en la región del músculo supraespinoso, en la cara posterior de la escápula, hasta contactar con el hueso, procediendo luego a retirarla. La paciente, en posición sentada, no refirió dolor torácico ni dificultad respiratoria inmediata tras el procedimiento.
Sin embargo, tras realizar un estiramiento indicado por el terapeuta para aliviar una sensación de rigidez, la paciente experimentó un dolor agudo bajo la escápula que empeoraba con la inspiración. En ese momento, el síntoma fue interpretado como una distensión muscular y se manejó con maniobras de liberación, tras lo cual la paciente reportó una mejoría y fue dada de alta sin signos de alarma respiratoria.
El dolor torácico persistió, lo que llevó a la paciente a buscar atención médica tres días después del procedimiento. En urgencias, su examen inicial era estable, sin taquipnea ni taquicardia significativas, y con una saturación de oxígeno del 96%.
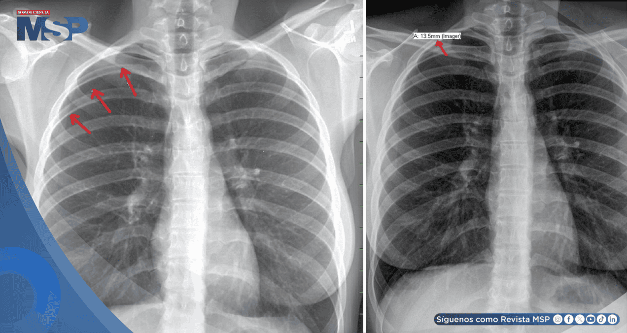
No obstante, la auscultación reveló una disminución del murmullo vesicular en el hemitórax derecho. Una radiografía de tórax confirmó el diagnóstico: un neumotórax derecho iatrogénico, con un colapso pulmonar del 20%, atribuido directamente a la punción seca.
La paciente recibió un tratamiento conservador con oxigenoterapia y observación hospitalaria. Afortunadamente, el neumotórax mostró signos de resolución espontánea en los dos días siguientes, sin necesidad de procedimientos invasivos como la colocación de un tubo torácico.
Fue dada de alta con recomendaciones de seguimiento y la advertencia de evitar intervenciones similares en el futuro, debido a un posible mayor riesgo asociado a su constitución corporal con baja grasa subcutánea.
El neumotórax es una complicación conocida, aunque infrecuente, de la punción seca cuando la aguja penetra la pleura parietal.
La revisión sistemática del caso sugiere varias explicaciones posibles: una identificación incorrecta del plano óseo de la escápula, el impacto de la aguja en una costilla adyacente, o una migración de la aguja debido al movimiento del paciente mientras esta permanecía insertada.
Según los autores (Arora A, Arora Y, Vasireddy S. 2025) un punto crítico de análisis fue el manejo inicial del dolor agudo post-procedimiento; una revisión por pares posterior indicó que la queja de dolor bajo la escápula tras el estiramiento debería haber motivado una derivación inmediata a urgencias, en lugar de una espera de tres días.
Los síntomas de un neumotórax, como dolor torácico pleurítico, disnea o tos seca, pueden manifestarse de forma retardada, horas después de que el paciente haya abandonado la clínica. Este caso subraya la importancia de que los profesionales informen a los pacientes sobre esta posibilidad y los instruyan para buscar atención urgente ante la aparición de dichos signos.
A pesar de este evento adverso, es importante contextualizar que la punción seca es una intervención ampliamente reconocida por sus beneficios en el manejo del dolor miofascial crónico.
La evidencia científica respalda su eficacia para reducir el dolor, mejorar el rango de movimiento y acelerar los resultados de la rehabilitación en condiciones como la lumbalgia crónica, las cefaleas tensionales y la fibromialgia. Se considera una terapia costo-efectiva con un perfil general de efectos secundarios leves, como dolor o hematoma local.
La seguridad del procedimiento depende fundamentalmente de la competencia del profesional.
Tanto las directrices irlandesas como australianas enfatizan que la formación debe centrarse en desarrollar las habilidades necesarias para una práctica segura, incluyendo un conocimiento profundo de la anatomía de riesgo, en especial en regiones cercanas a la cavidad torácica como el trapecio superior.