COMUNICADOS DE PRENSA
Regístrate
Ingresa
Noticias
Artículos Médicos
Educación Continua
Micrositios
Podcast
Eventos
Revistas
Revistas
Artritis
Pediatría
Ginecología
Cardiología
Covid-19
Ver todas
×
Fisioterapia
ACR 2023
Administración y Gerencia Médica
Alergología e inmunología
Anestesiología
Cardiología
Cardiovascular
Casos-Clinicos
Cirugia
Comunicados de Prensa
Covid-19
Dermatología
Diabetes
Endocrinología
Endocrinología-Diabetes
Enfermería
EULAR
Expertos en Salud
Farmacología
Fisiatría
Gastroenterología
General
Genética
Geriatría
Ginecología-Obstetricia
Hematología
HIV
Hospitales
Humanidades Médicas
Infectología
|
Regístrate
Ingresa
Noticias
Artículos Médicos
Educación Continua
Micrositios
Podcast
Eventos
Revistas
Revistas
Artritis
Pediatría
Ginecología
Cardiología
Covid-19
Ver todas
×
Fisioterapia
ACR 2023
Administración y Gerencia Médica
Alergología e inmunología
Anestesiología
Cardiología
Cardiovascular
Casos-Clinicos
Cirugia
Comunicados de Prensa
Covid-19
Dermatología
Diabetes
Endocrinología
Endocrinología-Diabetes
Enfermería
EULAR
Expertos en Salud
Farmacología
Fisiatría
Gastroenterología
General
Genética
Geriatría
Ginecología-Obstetricia
Hematología
HIV
Hospitales
Humanidades Médicas
Infectología
Hoy en Medicina y Salud Pública
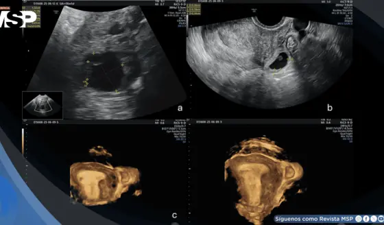
Embarazo intersticial tras transferencia de embriones congelados en paciente con salpingectomía bilateral
Octubre 10, 2025
Salud Mental
Octubre 10, 2025
Científicos descubren que una proteína del cólera podría provocar la autodestrucción de células de cáncer
Octubre 10, 2025
Tramadol: estudios advierten riesgo de convulsiones y eficacia limitada en tratamiento del dolor crónico
Octubre 09, 2025
FDA aprueba primer tratamiento para colitis ulcerosa en niños que logra remisión del 32% en estudios
Octubre 09, 2025
Alianza para la investigación clínica traslacional recibe fondos federales para apoyar la investigación
Octubre 09, 2025
Investigadoras de la UPR proponen nueva metodología para documentar el racismo y colorismo en Puerto Rico
Octubre 09, 2025
Fallo de reemplazo valvular transcatéter ocasiona trombosis aórtica secundaria a infección por COVID-19
Octubre 09, 2025
Inhaladores para el asma y la EPOC emiten más de 2 millones de toneladas de CO2 al año: Estudio
Octubre 09, 2025
Lo Más Visto
Ver más
1
Cuatro mujeres desarrollan cáncer de mama multifocal justo donde colocaban el celular en el sostén
Octubre 07, 2025
2
Mujer de 24 años con coma postcesárea presenta abscesos cerebrales por bacterias orales
Octubre 09, 2025
3
Cómo identificar recaída en esclerosis múltiple y opciones de tratamiento cuando esteroides no funcionan
Octubre 08, 2025
4
Químicos presentes en esmalte gel de uñas alterarían sistema hormonal y pondrían en riesgo la fertilidad
Octubre 07, 2025
5
Tramadol: estudios advierten riesgo de convulsiones y eficacia limitada en tratamiento del dolor crónico
Octubre 09, 2025
Lo Último
Ver más
Embarazo intersticial tras transferencia de embriones congelados en paciente con salpingectomía bilateral
Octubre 10, 2025
Salud Mental
Octubre 10, 2025
Científicos descubren que una proteína del cólera podría provocar la autodestrucción de células de cáncer
Octubre 10, 2025
Tramadol: estudios advierten riesgo de convulsiones y eficacia limitada en tratamiento del dolor crónico
Octubre 09, 2025
FDA aprueba primer tratamiento para colitis ulcerosa en niños que logra remisión del 32% en estudios
Octubre 09, 2025
Expertos en Salud
Más allá de las articulaciones: Lo nuevo...
Junio 29, 2025
Artículos Médicos
Aspectos inmunológicos en el manejo de la leucemia linfocítica aguda
Septiembre 16, 2025
PFAS: Los compuestos químicos invisibles en nuestros hogares y cómo podemos reemplazarlos
Julio 26, 2025
Retos del tratamiento del cáncer de pulmón metastático
Julio 19, 2025
Ver más
Noticias
Alianza para la investigación clínica traslacional recibe fondos federales para apoyar la investigación
Octubre 09, 2025
Investigadoras de la UPR proponen nueva metodología para documentar el racismo y colorismo en Puerto Rico
Octubre 09, 2025
Fallo de reemplazo valvular transcatéter ocasiona trombosis aórtica secundaria a infección por COVID-19
Octubre 09, 2025
Ver más
Infografías
Salud Mental
Octubre 10, 2025
Linfoma Hodgkin vs Linfoma no Hodgkin
Septiembre 16, 2025
Leucemia | Infografía
Septiembre 16, 2025
Revista del Mes
La Genética del Cáncer de Seno en La Familia Puertoriqueña
×
Regístrate
Medicina y Salud Pública
Profesión
Médico
Farmacéutico
Enfermero
Estudiante de medicina
Profesional de la salud
Paciente
Otro
Seleccionar la revista para recibir por medio de correo electronico
Revista Medicina y Salud Pública
Revista Salud y Pediatría
Revista Ginecología y Obstetricia
Revista Diabetes
Revista Artritis y Reumatología
Deseo recibir el newsletter de Medicina y Salud Pública
Cargando, por favor espere.
REGISTRARSE
Regresar
×
Iniciar Sesión
Medicina y Salud Pública
Validando, por favor espere.
ENTRAR
Olvidé mi contraseña
¿No tienes cuenta?
Regístrate aquí
Regresar
×
Recuperar Contraseña
Enviando... por favor espere.
ENVIAR
Iniciar sesión
¿No tienes cuenta?
Regístrate aquí
Regresar