COMUNICADOS DE PRENSA
Regístrate
Ingresa
Noticias
Artículos Médicos
Educación Continua
Micrositios
Podcast
Eventos
Revistas
Revistas
Artritis
Pediatría
Ginecología
Cardiología
Covid-19
Ver todas
×
Fisioterapia
ACR 2023
Administración y Gerencia Médica
Alergología e inmunología
Anestesiología
Cardiología
Cardiovascular
Casos-Clinicos
Cirugia
Comunicados de Prensa
Covid-19
Dermatología
Diabetes
Endocrinología
Endocrinología-Diabetes
Enfermería
EULAR
Expertos en Salud
Farmacología
Fisiatría
Gastroenterología
General
Genética
Geriatría
Ginecología-Obstetricia
Hematología
HIV
Hospitales
Humanidades Médicas
Infectología
|
Regístrate
Ingresa
Noticias
Artículos Médicos
Educación Continua
Micrositios
Podcast
Eventos
Revistas
Revistas
Artritis
Pediatría
Ginecología
Cardiología
Covid-19
Ver todas
×
Fisioterapia
ACR 2023
Administración y Gerencia Médica
Alergología e inmunología
Anestesiología
Cardiología
Cardiovascular
Casos-Clinicos
Cirugia
Comunicados de Prensa
Covid-19
Dermatología
Diabetes
Endocrinología
Endocrinología-Diabetes
Enfermería
EULAR
Expertos en Salud
Farmacología
Fisiatría
Gastroenterología
General
Genética
Geriatría
Ginecología-Obstetricia
Hematología
HIV
Hospitales
Humanidades Médicas
Infectología
Hoy en Medicina y Salud Pública
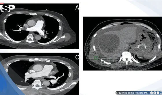
Embolia pulmonar en silla de montar asociada a fármaco en paciente con enfermedad renal y cáncer gástrico
Enero 20, 2026
¿Cómo mantener el control de la diabetes? Una condición que no define al paciente
Enero 20, 2026
Llega Convención SPED 2026 que abordará manejo integral de diabetes y obesidad en Puerto Rico
Enero 20, 2026
Síndrome de Fuchs inducido por levofloxacina se ocultó tras mucositis severa sin lesiones cutáneas
Enero 20, 2026
OMS clasifica las carnes procesadas al mismo nivel cancerígeno que el asbesto y el tabaco: Grupo 1
Enero 20, 2026
Síntomas digestivos que parecen colon irritable podrían ser cáncer colorrectal ¿Cómo diferenciarlos?
Enero 19, 2026
Experta aclara mitos sobre carbohidratos y proteínas de la nueva pirámide alimentaria de EE.UU.
Enero 19, 2026
Síndrome HAIR-AN en adolescente con resistencia a insulina e hiperandrogenismo por ovario poliquístico
Enero 19, 2026
"Cuidarse no retrasa la vida, la sostiene":¿Qué es el Blue Monday y por qué es el ´día más triste del año
Enero 19, 2026
Lo Más Visto
Ver más
1
Mini-examen clínico: ¿Está familiarizado con infecciones de las vías urinarias en los hombres?
Enero 17, 2026
2
Síndrome de Fuchs inducido por levofloxacina se ocultó tras mucositis severa sin lesiones cutáneas
Enero 20, 2026
3
Síndrome HAIR-AN en adolescente con resistencia a insulina e hiperandrogenismo por ovario poliquístico
Enero 19, 2026
4
"Como siempre les digo a mis residentes, el paciente es primero, uno no puede discriminar", Dr. Sánchez
Enero 18, 2026
5
Fiebre y rigidez cervical por uso de trimetoprim-sulfametoxazol imitó meningitis en mujer con una ITU
Enero 17, 2026
Lo Último
Ver más
Embolia pulmonar en silla de montar asociada a fármaco en paciente con enfermedad renal y cáncer gástrico
Enero 20, 2026
¿Cómo mantener el control de la diabetes? Una condición que no define al paciente
Enero 20, 2026
Llega Convención SPED 2026 que abordará manejo integral de diabetes y obesidad en Puerto Rico
Enero 20, 2026
Síndrome de Fuchs inducido por levofloxacina se ocultó tras mucositis severa sin lesiones cutáneas
Enero 20, 2026
OMS clasifica las carnes procesadas al mismo nivel cancerígeno que el asbesto y el tabaco: Grupo 1
Enero 20, 2026
Expertos en Salud
Más allá de las articulaciones: Lo nuevo...
Junio 29, 2025
Artículos Médicos
Uso de la pirotecnia
Diciembre 11, 2025
Valoración Geriátrica Integral: una herramienta útil en otras especialidades
Noviembre 21, 2025
Abordaje biopsicosocial de la diabetes tipo 2 en atención primaria: atención centrada en la persona
Noviembre 12, 2025
Ver más
Noticias
Síntomas digestivos que parecen colon irritable podrían ser cáncer colorrectal ¿Cómo diferenciarlos?
Enero 19, 2026
Experta aclara mitos sobre carbohidratos y proteínas de la nueva pirámide alimentaria de EE.UU.
Enero 19, 2026
Síndrome HAIR-AN en adolescente con resistencia a insulina e hiperandrogenismo por ovario poliquístico
Enero 19, 2026
Ver más
Infografías
Regurgitación Mitral Degenerativa
Enero 14, 2026
¿Cómo reconocer los síntomas del mieloma múltiple?
Octubre 11, 2025
Así actúa el gen EGFR en el desarrollo del cáncer de pulmón
Octubre 11, 2025
Revista del Mes
La Genética del Cáncer de Seno en La Familia Puertoriqueña
×
Regístrate
Medicina y Salud Pública
Profesión
Médico
Farmacéutico
Enfermero
Estudiante de medicina
Profesional de la salud
Paciente
Otro
Seleccionar la revista para recibir por medio de correo electronico
Revista Medicina y Salud Pública
Revista Salud y Pediatría
Revista Ginecología y Obstetricia
Revista Diabetes
Revista Artritis y Reumatología
Deseo recibir el newsletter de Medicina y Salud Pública
Cargando, por favor espere.
REGISTRARSE
Regresar
×
Iniciar Sesión
Medicina y Salud Pública
Validando, por favor espere.
ENTRAR
Olvidé mi contraseña
¿No tienes cuenta?
Regístrate aquí
Regresar
×
Recuperar Contraseña
Enviando... por favor espere.
ENVIAR
Iniciar sesión
¿No tienes cuenta?
Regístrate aquí
Regresar