El metronidazol puede causar neurotoxicidad grave tras exposición prolongada, manifestándose como un síndrome cerebeloso subagudo (confusión, ataxia, disartria, nistagmo), incluso en pacientes sin insuficiencia hepática o renal previa.

Una mujer de 70 años, con antecedentes médicos de hipertensión, dislipidemia, obesidad, estenosis aórtica moderada, insuficiencia venosa periférica y nefrolitiasis, acudió a urgencias presentando un cuadro de una semana de evolución consistente en dolor abdominal en la parte superior del abdomen, fiebre y falta de apetito.
Al ingreso, ya llevaba seis días tomando amoxicilina/clavulánico por una sospecha previa de infección urinaria. Aunque se encontraba estable, sin fiebre y con signos vitales normales, la exploración física reveló dolor a la palpación en la parte alta del abdomen.
Los análisis de sangre mostraron signos claros de infección severa: un recuento de glóbulos blancos muy elevado (25.300 células/µL), un marcador inflamatorio (Proteína C Reactiva) en 170 mg/L, y un deterioro en la función renal.
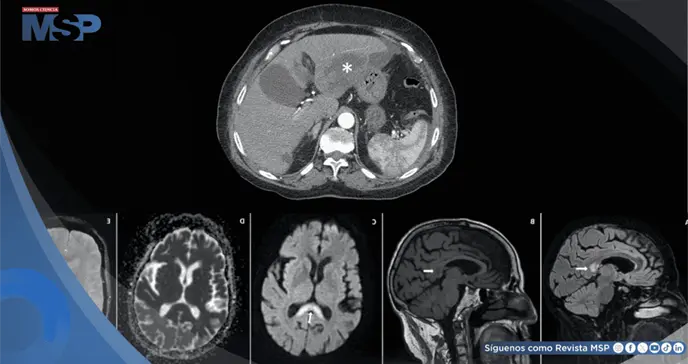
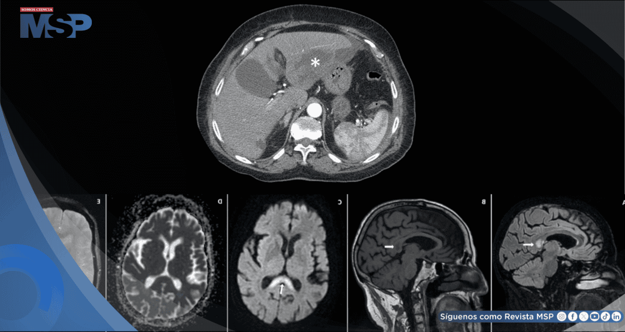
Una tomografía computarizada (TC) abdominal confirmó la gravedad del cuadro, identificando un absceso grande y multiloculado en el lóbulo izquierdo del hígado, de aproximadamente 7x7 cm, acompañado de líquido (ascitis) alrededor del hígado.
La paciente fue ingresada e inició de inmediato un tratamiento antibiótico empírico con ceftriaxona y metronidazol por vía intravenosa, este último a una dosis de 500 mg cada seis horas, sumando 2 gramos diarios.
Dado que la fiebre y el dolor abdominal persistían junto con un aumento de los marcadores inflamatorios, el esquema antibiótico se intensificó a los cuatro días, cambiando a piperacilina-tazobactam, mientras se mantenía el metronidazol. Los hemocultivos realizados fueron negativos.
Para tratar el absceso, se procedió al drenaje percutáneo (a través de la piel) con colocación de un catéter en el día 10 de hospitalización. Una nueva imagen mostró una mejoría, pero no una resolución completa, por lo que se colocó un segundo catéter para drenar el líquido perihepático. Los cultivos del pus y del líquido no mostraron crecimiento de bacterias.
A pesar de la mejoría progresiva de la infección tras el drenaje y los antibióticos, la paciente presentó náuseas, vómitos y anorexia persistentes, lo que condujo a una desnutrición significativa y a una pérdida del 19% de su peso corporal.
Debido al drenaje incompleto, se decidió continuar con un tratamiento antibiótico prolongado, manteniendo la piperacilina-tazobactam y el metronidazol por vía intravenosa, dada la intolerancia gastrointestinal de la paciente a la forma oral.
En el día 33 del tratamiento antibiótico, la paciente comenzó a mostrar episodios de confusión y postración. Estos síntomas neurológicos progresaron hacia el día 37, consolidándose en un síndrome cerebeloso claro.
Al inicio de estos síntomas, no tenía fiebre, su función renal y hepática eran normales y no presentaba desequilibrios metabólicos.
El examen neurológico detallado reveló múltiples anomalías: un movimiento involuntario de los ojos (nistagmo) en todas las direcciones, dificultad para articular palabras (disartria), temblor en la cabeza y brazos, una marcada falta de coordinación (dismetría) en ambos lados del cuerpo, inestabilidad al estar de pie con tendencia a caerse hacia atrás, y visión doble intermitente.
La fuerza y la sensibilidad se mantuvieron normales. Una tomografía computarizada del cráneo no mostró ninguna lesión aguda.
Ante la evolución subaguda de los síntomas neurológicos en el contexto de una exposición prolongada al metronidazol, se sospechó fuertemente una neurotoxicidad inducida por este fármaco. También se consideró la encefalopatía de Wernicke, dada la desnutrición, por lo que se inició suplementación con tiamina (vitamina B1); sin embargo, los niveles en sangre de esta vitamina resultaron normales.
El metronidazol fue suspendido inmediatamente en el día 37, tras una dosis acumulada total de aproximadamente 74 gramos. La paciente comenzó a mostrar una mejoría neurológica apenas 48 horas después de la suspensión del fármaco, con una recuperación gradual posterior apoyada por tratamiento sintomático y rehabilitación.
Una resonancia magnética cerebral realizada 10 días después de suspender el metronidazol proporcionó hallazgos objetivos que apoyaron el diagnóstico. La imagen mostró una lesión hiperintensa (que se ve brillante) en el esplenio del cuerpo calloso (una estructura que conecta los dos hemisferios cerebrales) en las secuencias T2 y T2-FLAIR. Esta lesión aparecía oscura (hipointensa) en las imágenes T1.
En las secuencias de difusión (DWI), la lesión también era hiperintensa, pero no mostraba restricción de la difusión en el mapa ADC, un patrón que puede verse en las encefalopatías tóxico-metabólicas. No se observaron signos de hemorragia. Estos hallazgos son característicos, aunque no exclusivos, de la neurotoxicidad por metronidazol.
La paciente logró una recuperación neurológica completa en el momento del alta, aproximadamente un mes después de suspender el metronidazol, lo cual fue confirmado en una consulta de seguimiento dos meses después. Este caso ilustra una reacción adversa grave aunque infrecuente al metronidazol.
Según los autores (Caetano IL, Cunha AC, Pinheiro G, et al.), la neurotoxicidad se manifestó como un síndrome cerebeloso subagudo después de una exposición prolongada y una dosis acumulada alta, y ocurrió a pesar de que la paciente no presentaba los factores de riesgo clásicos como insuficiencia hepática o renal.
La relación causal se fundamenta en la clara asociación temporal entre la exposición al fármaco y la aparición de los síntomas, la exclusión de otras causas (como déficit de tiamina, ictus o otras encefalopatías), la compatibilidad de los hallazgos en la resonancia magnética con lo descrito en la literatura para este tipo de toxicidad, y, de manera crucial, la rápida mejoría tras la retirada del fármaco.
El manejo principal es la suspensión inmediata del metronidazol y el tratamiento de soporte, teniendo en cuenta que, aunque el pronóstico suele ser favorable con una recuperación completa, también se han descrito casos con déficits irreversibles, por lo que el reconocimiento temprano es fundamental.