Los episodios de hemorragia cerebelosa, pérdida de visión y alteraciones severas del estado mental, junto con lesiones desmielinizantes progresivas. A pesar de tratamientos como esteroides, timectomía y plasmaféresis, la paciente continuó deteriorándose.

Una mujer de 37 años con antecedentes de Miastenia Gravis (MG) diagnosticada una década antes, acudió al Servicio de Urgencias por fiebre, debilidad del hemicuerpo izquierdo y cefalea de dos semanas de evolución, acompañada de náuseas y vómitos. +
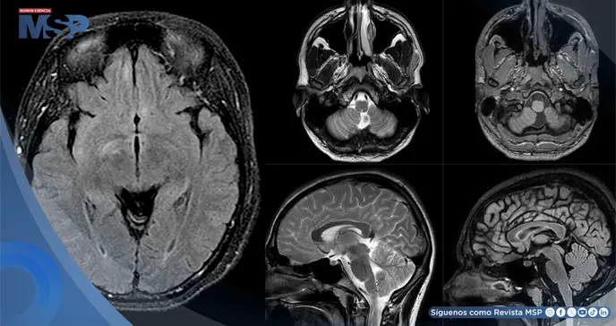
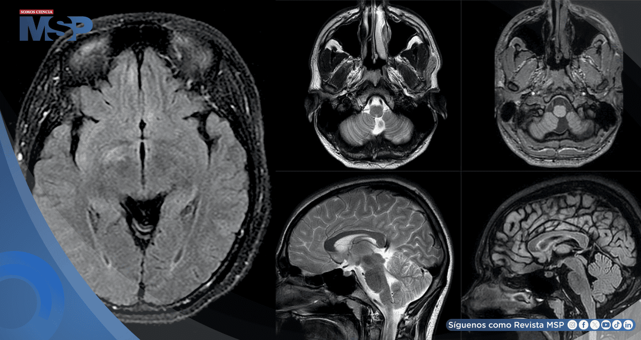
La tomografía computarizada (TC) craneal inicial reveló una hemorragia cerebelosa izquierda. Durante su hospitalización, la paciente desarrolló una pérdida de visión central en el ojo derecho, que describió como un círculo negro. Una resonancia magnética (RM) cerebral confirmó la sospecha clínica al mostrar un realce del nervio óptico derecho, sugestivo de un proceso desmielinizante agresivo.
El estudio se complementó con RM de la columna cervical y torácica, que evidenció un proceso desmielinizante medular central continuo. Con estos hallazgos, la sospecha de un síndrome desmielinizante primario era alta. Se inició tratamiento con metilprednisolona y, de manera crucial, el título de anticuerpos contra la Acuaporina-4 (AQP4), también conocidos como anticuerpos contra la Neuromielitis Óptica (NMO), resultó positivo tras el alta.
Este hallazgo confirmó el diagnóstico de NMOSD (Trastorno del Espectro de la Neuromielitis Óptica).
Los antecedentes de la paciente revelaron que su viaje autoinmune comenzó a los 27 años con visión borrosa, lo que condujo al diagnóstico de MG, tratada inicialmente con piridostigmina. Entre los 27 y 32 años experimentó tres crisis miasténicas, tras lo cual se le realizó una timectomía. A los 39 años, dos años después del diagnóstico de NMO, la paciente regresó a Urgencias con una alteración profunda del estado mental.
Su esposo refirió que había descuidado sus actividades y presentaba periodos de falta de respuesta e incontinencia urinaria. Al ingreso, su estado neurológico fluctuaba drásticamente, con puntuaciones en la Escala de Coma de Glasgow que variaban desde 3 hasta 15 en cortos periodos. Presentaba comportamientos similares a convulsiones, aunque el electroencefalograma resultó negativo para actividad epileptiforme.
Una nueva RM cerebral mostró focos de hiperintensidad en T2 en regiones como el núcleo caudado derecho y los lóbulos frontales y temporales mediales. El análisis del líquido cefalorraquídeo (LCR) fue determinante: mostró una tasa elevada de síntesis de IgG y, lo que es más significativo, fue positivo para anticuerpos contra el receptor de NMDA. Este hallazgo permitió establecer el tercer diagnóstico: encefalitis anti-NMDAR. La paciente fue tratada con plasmaféresis, con lo que la encefalopatía se resolvió y la neuroimagen mostró mejoría.
A lo largo de su evolución, y a pesar del tratamiento con prednisolona, la paciente sufrió exacerbaciones. A los 45 años presentó un nuevo episodio de alteración del estado mental asociado a una infección urinaria. En esta ocasión, se detectó una discapacidad visual severa, con pupilas arreactivas y ausencia de percepción lumínica.
Una TC craneal mostró una pérdida difusa de volumen cerebral. Tras el alta, un examen fisioterapéutico reveló que había perdido la capacidad de mover o sentir las extremidades inferiores. Una resonancia magnética de la columna vertebral confirmó una nueva lesión desmielinizante activa, indicando una exacerbación de la NMO.
Debido a una úlcera gástrica coexistente, se contraindicaron los esteroides intravenosos y se optó por plasmaféresis. Desafortunadamente, este tratamiento se completó tras diez días sin una mejoría significativa, dejando a la paciente con debilidad severa en miembros inferiores y ceguera permanente.
La coexistencia de tres enfermedades autoinmunes en un individuo se conoce como Síndrome Autoinmune Múltiple (SAM), una condición poco frecuente que sugiere una profunda disfunción inmunitaria subyacente. La combinación específica de Miastenia Gravis, Neuromielitis Óptica y encefalitis anti-NMDAR es excepcional, dado que cada una de estas entidades es rara por sí misma.
En la literatura, es más común encontrar informes de la concurrencia de dos de estas enfermedades. Por ejemplo, en casos de MG y NMO concurrentes, los pacientes suelen ser diagnosticados con MG de inicio temprano varios años antes del inicio de la NMO.
Cabe destacar que la timectomía, un tratamiento común para la MG, se ha implicado como un factor de riesgo potencial para el desarrollo posterior de NMOSD, posiblemente debido a una alteración en la regulación de las células T.
El caso (Lauren A. Nguyen ABCDEF 1* , Frishan Rocel O. Paulo ABCDF 1 , Jordan J. Petersen ABCDE 1 , J. Douglas Miles) descrito comparte similitudes con otro previamente publicado, ya que ambas pacientes son mujeres y presentaron síntomas superpuestos como cefalea y debilidad unilateral que condujeron al diagnóstico de NMO, mientras que los cambios de personalidad y la alteración del estado mental llevaron al diagnóstico de encefalitis por NMDAR.
Sin embargo, la secuencia de los diagnósticos fue diferente, y la respuesta al tratamiento también varió. Mientras nuestra paciente respondió inicialmente a los glucocorticoides, el caso de Bonner et al. requirió el uso de rituximab para lograr una mejoría.
El rituximab, un anticuerpo monoclonal que agota las células B, emerge como una opción terapéutica prometedora para estas enfermedades autoinmunes superpuestas, dada su acción inmunosupresora amplia.
Este caso ilustra a lo largo de 12 años la manifestación secuencial de tres trastornos neurológicos autoinmunes raros en una misma paciente. Subraya la importancia clínica de reconocer que los síndromes autoinmunes del sistema nervioso central y periférico pueden coexistir o manifestarse en diferentes momentos de la vida de un paciente.
Este conocimiento es crucial para mantener un alto índice de sospecha clínica, lo que permite un diagnóstico e intervención tempranos y evita retrasos que, como se evidenció en este caso, pueden agravar el pronóstico y resultar en una discapacidad neurológica acumulativa e irreversible.