Se destaca la importancia de mantener un alto índice de sospecha diagnóstica ante presentaciones urológicas atípicas en pacientes con factores de riesgo cardiovascular, especialmente cuando la evolución clínica no corresponde con el tratamiento instaurado.

Un hombre de 76 años acudió al Hospital Al-Zahra refiriendo dolor persistente de siete días de evolución en flanco izquierdo con irradiación a testículo y región inguinal ipsilateral.
El cuadro se acompañaba de fiebre, disuria y un episodio único de hematuria macroscópica. Tres días antes había consultado en un centro médico periférico donde recibió tratamiento antibiótico empírico por sospecha de infección urinaria, sin experimentar mejoría clínica significativa.
Entre sus antecedentes médicos destacaban una resección anterior baja realizada un mes previo por neoplasia colorrectal, amputación de extremidad inferior izquierda treinta años atrás, e hipertensión arterial de larga data. Su esquema farmacológico habitual incluía alopurinol, diltiazem, levofloxacina y rosuvastatina.
Al examen físico se documentó temperatura elevada y marcada sensibilidad a la palpación del ángulo costovertebral izquierdo.
El abdomen se presentaba blando, no distendido, sin signos de irritación peritoneal. Los pulsos periféricos en extremidades superiores eran simétricos y de amplitud normal. Considerando la presentación clínica sugestiva de patología del tracto urinario superior y el antecedente quirúrgico reciente, se realizó ecografía renal.
El estudio ultrasonográfico demostró hidronefrosis severa del lado izquierdo con aproximadamente 220 cc de líquido libre perinéfrico que presentaba ecos internos y septaciones. Adicionalmente, el tejido subcutáneo del muslo izquierdo exhibía un patrón en "empedrado" compatible con edema e inflamación significativa.
Los estudios de laboratorio revelaron leucocitosis, nitrógeno ureico elevado (36 mg/dL) y creatinina sérica de 1.1 mg/dL. Estos hallazgos convergieron en un diagnóstico presuntivo de pielonefritis complicada con probable formación de absceso perirrenal.
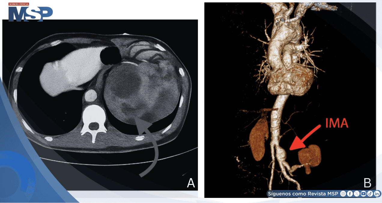
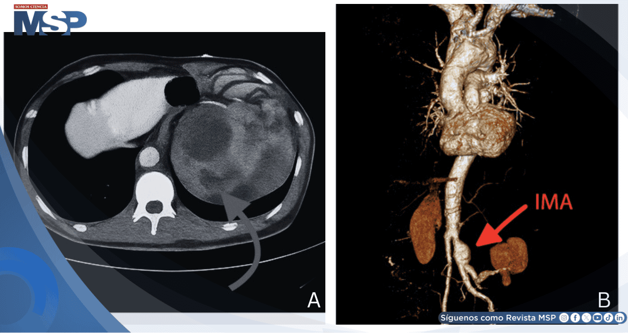
Se inició antibioticoterapia de amplio espectro y se solicitó tomografía computarizada abdomino-pélvica sin contraste para caracterizar mejor el proceso infeccioso sospechado. De manera inesperada, las imágenes revelaron un extenso hematoma retroperitoneal, hallazgo que motivó la realización urgente de angiografía por tomografía computarizada.
El estudio contrastado confirmó la presencia de un aneurisma de arteria mesentérica inferior roto asociado a disección aórtica abdominal.
El hematoma retroperitoneal ejercía efecto compresivo sobre el riñón izquierdo, explicando la hidronefrosis secundaria que inicialmente había orientado hacia un proceso infeccioso. No se identificaron abscesos renales ni infección parenquimatosa renal, descartándose definitivamente la hipótesis diagnóstica inicial.
Se programó intervención quirúrgica de urgencia; sin embargo, el paciente sufrió paro cardiorrespiratorio antes de ingresar a quirófano. Las maniobras de reanimación cardiopulmonar avanzada resultaron infructuosas.
Este caso ilustra según Elahe Nasri Nasrabadi et al., las dificultades diagnósticas inherentes a las presentaciones atípicas de patología vascular aórtica.
La disección aórtica puede manifestarse con síntomas que simulan múltiples condiciones médicas dependiendo del segmento afectado y las estructuras comprometidas. La literatura médica documenta tasas de diagnóstico erróneo inicial de hasta 78% en pacientes con disección aórtica que consultan a servicios de urgencias.
La fiebre en contexto de disección aórtica puede reflejar respuesta inflamatoria sistémica secundaria a lesión de la pared vascular más que un proceso infeccioso verdadero.
La compresión de estructuras adyacentes por hematomas expansivos puede generar síntomas que remedan patologías de órganos específicos, como se observó en nuestro paciente donde la compresión renal simuló convincentemente una infección del tracto urinario superior.
La naturaleza y ubicación del dolor en disección aórtica correlacionan estrechamente con el sitio anatómico comprometido. A diferencia del dolor anginoso que típicamente se intensifica gradualmente, el dolor de la disección aórtica característicamente alcanza su máxima intensidad de forma súbita. Puede también presentar migración caudal conforme progresa la disección.