Los niveles extremadamente altos de glucosa y los síntomas previos no identificados mostraron que la paciente tenía diabetes sin diagnosticar, lo que favoreció la aparición del absceso.

Una paciente de 52 años acudió al servicio médico con un cuadro de dolor lumbar y limitación del movimiento que se mantenía durante cuatro días. El examen físico inicial reveló dolor específico en la región lumbar y glúteo izquierdo, que la paciente calificó como 6 en una escala visual analógica del dolor.
Notablemente, no se observaron signos de hinchazón, entumecimiento o debilidad muscular en las extremidades inferiores, y el sistema neurovascular aparecía intacto. Sin embargo, la prueba de Lasegue resultó positiva, un hallazgo que suele asociarse con problemas discales.
Ante la dificultad para obtener rápidamente una resonancia magnética, se optó por realizar una tomografía computarizada que mostró cambios degenerativos en la columna vertebral y una hernia discal lumbar que comprimía levemente las raíces nerviosas.
Basándose en estos hallazgos, se estableció el diagnóstico inicial de hernia discal y se inició tratamiento con antiinflamatorios y relajantes musculares.
A pesar del tratamiento instaurado, los síntomas de la paciente no mostraron mejoría. Simultáneamente, los análisis de sangre revelaron un recuento de glóbulos blancos elevado a 20.3×10?/L, muy por encima de los valores normales.
La situación se complicó cuando se observó enrojecimiento, hinchazón, calor y dolor en la región lumbar de la paciente.
Estos signos locales de infección, sumados a la fiebre que alcanzó los 38.9°C y el aumento del dolor hasta 8 en la escala EVA, alertaron al equipo médico sobre la posibilidad de un proceso infeccioso subyacente.
Inicialmente, se administraron antibióticos de amplio espectro dirigidos a bacterias comunes como el Staphylococcus aureus, pero el cuadro clínico persistió sin mejoría notable.
La reevaluación de la historia clínica y el examen físico reveló información crucial que había pasado desapercibida en la primera evaluación. La paciente refería síntomas sistémicos que incluían micción frecuente, sed y hambre excesivas, cambios de peso en los meses previos y un dolor intenso alrededor del ombligo que había comenzado desde su segundo día de hospitalización.
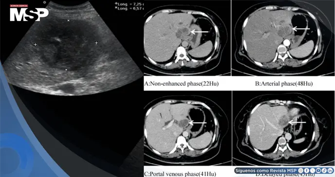
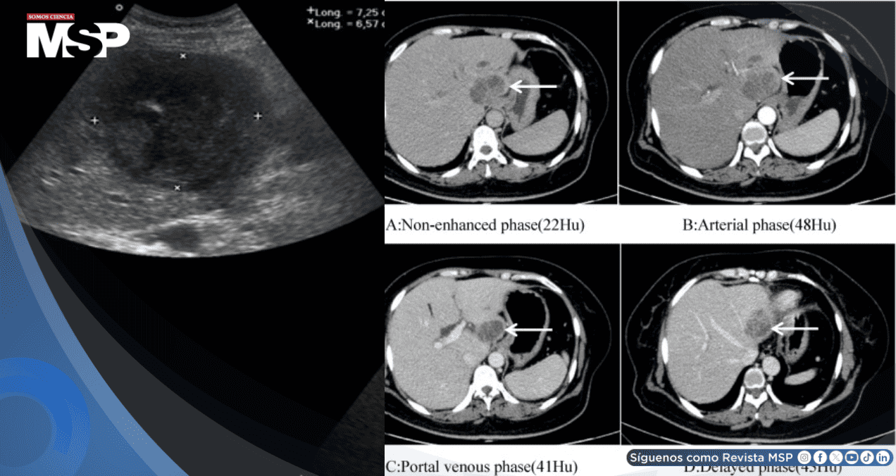
La medición de glucosa en sangre mostró un valor dramáticamente elevado de 25.7 mmol/L, mientras que una tomografía computarizada abdominal completa identificó la verdadera causa del problema: un absceso hepático de tamaño considerable (44 x 42 mm). Estos hallazgos explicaban la falta de respuesta al tratamiento inicial y orientaron el manejo hacia una condición infecciosa grave asociada a diabetes no diagnosticada.
Una vez identificado el absceso hepático como la causa primaria del cuadro clínico, se implementó un tratamiento antibiótico específico dirigido contra la Klebsiella pneumoniae hipervirulenta, patógeno frecuentemente asociado con este tipo de infecciones en Asia Oriental.
El cambio terapéutico a piperacilina-tazobactam, combinado con el control estricto de los niveles de glucosa en sangre supervisado por el servicio de endocrinología, resultó en una mejoría clínica significativa.
Después de varias semanas de tratamiento antiinfeccioso dirigido, el absceso hepático mostró una reducción notable en su tamaño, disminuyendo hasta 19.15 mm, y la paciente experimentó una recuperación progresiva de todos sus síntomas.
El caso (Xiaogang Hao, Hongxu Yan, Pengfei Zhang, Ye Wang) subraya la importancia de mantener un alto índice de sospecha clínica frente a pacientes cuyos síntomas no evolucionan como se esperaría con el tratamiento inicial.
La diabetes no diagnosticada actuó como factor predisponente crucial, debilitando el sistema inmune y facilitando el desarrollo de una infección severa. El absceso hepático se presentó con síntomas atípicos que inicialmente simularon una condición ortopédica común, demostrando cómo las infecciones profundas pueden manifestarse con sintomatología engañosa.
La lección fundamental recalca la necesidad de abordajes integrales que consideren tanto los hallazgos locales como los síntomas sistémicos, especialmente cuando el curso clínico no sigue los patrones esperados. La persistencia en la búsqueda diagnóstica y la reevaluación continua del paciente resultaron determinantes para identificar y tratar adecuadamente esta condición potencialmente grave.