Factores como la extensión de la resección, la velocidad de crecimiento tumoral, la presencia de síntomas y el riesgo clínico determinan si se inicia vorasidenib, radioterapia, quimioterapia o combinaciones.

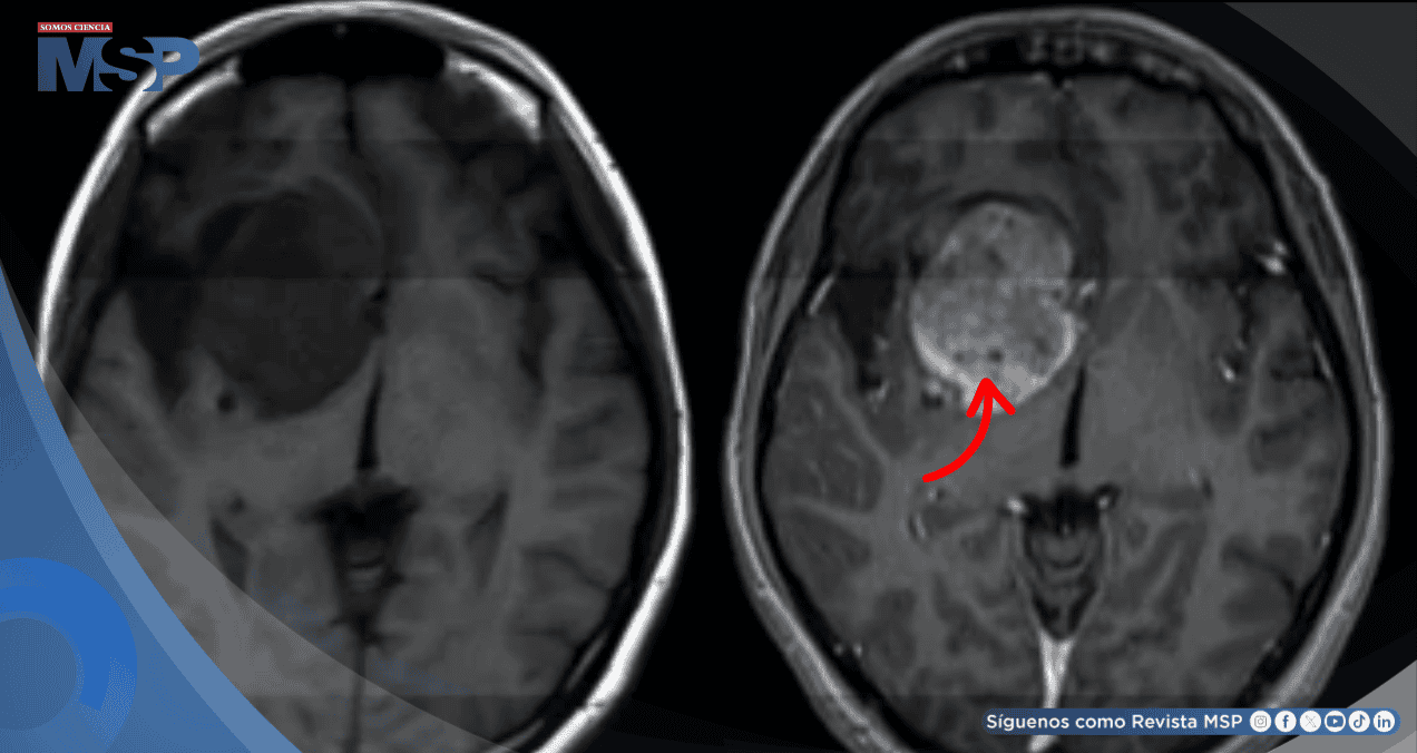
En los últimos años, el tratamiento de los gliomas, un tipo de tumor cerebral, ha experimentado una transformación radical gracias a la medicina de precisión. El descubrimiento clave fue la identificación de una mutación en el gen IDH (isocitrato deshidrogenasa), que distingue a un subgrupo de pacientes con pronóstico más favorable y abre la puerta a terapias específicas.
Este avance, sin embargo, ha generado un nuevo conjunto de preguntas clínicas urgentes para los equipos multidisciplinarios. El Dr. Erik Sulman, director del Departamento de Oncología Radioterápica de la Universidad Duke, lo expresa así: "Dudo constantemente si estamos equilibrando la eficacia y el riesgo de forma adecuada".
Esta incertidumbre fue el centro del simposio Aspectos destacados de San Francisco 2025, donde expertos en neurocirugía, neurología, radiología y oncología radioterápica debatieron el camino a seguir.
El cambio de manejo llegó con la aprobación por parte de la FDA en agosto de 2024 del vorasidenib, el primer inhibidor de IDH. Esta aprobación se basó en los resultados del ensayo clínico INDIGO, que incluyó a pacientes con astrocitomas u oligodendrogliomas de grado 2 con mutación IDH y enfermedad residual no realzada.
El ensayo demostró una "mejora significativa en la supervivencia libre de progresión de los pacientes que recibieron vorasidenib", un beneficio que se mantuvo independiente de otros factores clínicos.
Este fármaco oral, bien tolerado en general, ofrece una nueva opción para pacientes que antes solo tenían como alternativas la observación, la radioterapia o la quimioterapia citotóxica.
Sin embargo, esta nueva herramienta no resuelve todas las dudas, sino que las reformula. Las grandes preguntas que ahora enfrentan los especialistas son: ¿A qué pacientes se les debe ofrecer vorasidenib como primer tratamiento? ¿En qué momento es todavía necesaria la radioterapia o la quimioterapia? ¿Cómo se combinan estas modalidades? "Quedan muchas preguntas por responder".
Además, reconoce el Dr. Sulman, enumerando los dilemas: "¿A quién seleccionamos para el tratamiento con inhibidores de IDH? ¿Cuándo es apropiado administrar agentes citotóxicos iniciales como la radioterapia y la quimioterapia? ¿Cuál es el mejor tratamiento que se puede utilizar, cuando el paciente experimenta una progresión del tumor, como tratamiento de rescate?".
La llegada de los inhibidores de IDH obliga a revaluar el papel de la radioterapia, un pilar del tratamiento durante décadas. Los datos históricos, como los del ensayo RTOG-9802, establecieron que para pacientes de "alto riesgo" (mayores de 40 años o con resección subtotal), la radioterapia seguida de quimioterapia con el esquema PCV mejoraba la supervivencia general. Sin embargo, la nueva era exige decisiones más matizadas.
Un factor crucial en esta reevaluación es la comprensión de los efectos cognitivos. Tradicionalmente, se ha tendido a diferir la radioterapia para evitar su potencial impacto neurocognitivo. No obstante, evidencia reciente presentada por la Dra. Lia Halasz sugiere que este temor podría estar sobredimensionado con las técnicas modernas de irradiación.
"La idea de que la radiación en el cerebro ocasiona inevitablemente un deterioro neurocognitivo puede no ser cierta en la era de la radioterapia moderna", señala el análisis. De hecho, estudios muestran que "el tumor en sí mismo tiene un impacto cognitivo", por lo que retrasar el tratamiento activo es siempre una cuestión de equilibrar riesgos.
La clave, según los expertos, está en una evaluación individualizada que considere la velocidad de crecimiento del tumor (para lo cual las imágenes avanzadas son vitales), la cantidad y localización de la enfermedad residual, y la presencia de síntomas neurológicos.
El Dr. Sulman enfatiza que "no todos los tumores crecen de forma lineal y que algunos tumores pueden crecer de forma muy rápida e inesperada", por lo que la vigilancia activa, cuando se elige, debe ser muy estrecha.
En la práctica actual, muchos centros están adoptando un algoritmo que comienza con el objetivo neuroquirúrgico de una "resección máxima segura". Tras la cirugía, la decisión se bifurca.
Para pacientes con resección completa y sin características de alto riesgo, se considera iniciar vorasidenib, retrasando así las terapias citotóxicas. Por el contrario, para aquellos considerados de alto riesgo (con síntomas neurológicos persistentes o tumor residual significativo), se suele recomendar iniciar radioterapia, a menudo seguida de quimioterapia.
Esta decisión se toma en el seno de una conferencia multidisciplinaria, donde la opinión del oncólogo radioterapeuta es fundamental. "Todo ello lleva, una vez más, a hacer hincapié en la necesidad de un debate multidisciplinar y en la necesidad de que el oncólogo radioterapeuta participe en ese debate", subraya el Dr. Sulman.
La colaboración con el hematólogo también es esencial, ya que los nuevos tratamientos exigen monitorear efectos como el aumento de enzimas hepáticas.
El vorasidenib en monoterapia es solo el comienzo. La comunidad científica ya está explorando el siguiente paso: combinarlo con otras modalidades. "Se están llevando a cabo muchas investigaciones en todo el mundo que combinan el vorasidenib con radioterapia y/o quimioterapia", comenta el Dr. Sulman.
También se investigan combinaciones con inhibidores de PARP, inmunoterapia y vacunas terapéuticas en numerosos ensayos clínicos.
Persisten importantes lagunas de conocimiento. No está claro si los inhibidores de IDH son efectivos en tumores con realce de contraste (un marcador de mayor agresividad), ni cuál es el momento óptimo para iniciarlos o combinarlos.
Además, se requiere más datos sobre la seguridad a largo plazo de la exposición intrauterina a estos fármacos. Mientras la ciencia avanza, el mensaje para los médicos es claro: el tratamiento del glioma con mutación IDH ha entrado en una era de opciones personalizadas.
La radioterapia mantiene un papel crucial, pero su momento de administración y su secuencia con las nuevas terapias dirigidas deben decidirse caso a caso, en un diálogo continuo entre especialistas y con el paciente en el centro.