El menor un peso al nacer de 1,365 g, desarrolló síndrome de distrés respiratorio agudo en su primer día de vida, por lo que requirió soporte ventilatorio invasivo.
#MSPCardiología | ¡Ahora! El Bayamón Heart & Lung Institute realiza y transmite en vivo una cirugía desde la Isla hacia CTO Plus 2026, liderada por el Dr. Ricardo Santiago, cardiólogo intervencional. ¡Sintonízanos ahora y no te pierdas ningún detalle!
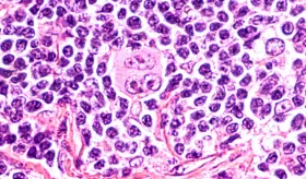
En distintos países se están desarrollando terapias innovadoras (inmunoterapia, CAR-T, vacunas terapéuticas, terapias dirigidas y reprogramación celular) que muestran resultados alentadores. Sin embargo, la mayoría se encuentra en fases preclínicas o ensayos clínicos temprano
Las solicitudes se basan en estudios clínicos de fase 3 que demostraron mejoras significativas en la repigmentación corporal y facial en adultos y adolescentes con vitíligo no segmentario.
Empleados de la biofarmacéutica recorrieron 250 kilómetros en el sur de Chile como parte de una iniciativa solidaria para recaudar fondos en apoyo a pacientes oncológicos en Puerto Rico.
Un nuevo informe de la Sociedad Americana Contra el Cáncer revela una reducción histórica en la mortalidad por cáncer en Estados Unidos.
Los 40 egresados de la Clase 2025 aprobaron en su primer intento el examen nacional de licencia farmacéutica, ubicando a la Escuela de Farmacia del Recinto de Ciencias Médicas en el primer lugar a nivel nacional.
Una investigación internacional identificó un mecanismo inmunológico que podría explicar por qué personas previamente infectadas con Zika presentan mayor riesgo de dengue grave.
#MSP: El lugar donde médicos, pacientes y profesionales de la salud pueden entrar. #SomosCiencia
#MSP: El lugar donde médicos, pacientes y profesionales de la salud pueden entrar. #SomosCiencia
Puerto Rico se une al movimiento Go Red For Women para concienciar sobre las enfermedades cardiovasculares, la principal causa de muerte de las mujeres, y promover la prevención, la educación y el autocuidado en todas las etapas de la vida.










