Los estudios revelaron anemia microcítica severa (hemoglobina 6.5 g/dL) y neuroimágenes confirmaron trombosis venosa extensa.

Un niño de dos años acudió a urgencias tras presentar una convulsión de un minuto de duración, caracterizada por contracción del brazo derecho y desviación ocular hacia arriba.
A su llegada, el paciente estaba alerta pero febril (38.1°C). La familia reportó fiebres intermitentes durante el último mes, que habían sido atribuidas a otitis media bilateral tratada, sin antecedentes previos de convulsiones.
Los estudios de laboratorio iniciales evidenciaron anemia severa con hemoglobina de 6.5 g/dL, volumen corpuscular medio de 55.7 fL (indicativo de microcitosis) y trombocitosis reactiva de 612 k/µL.
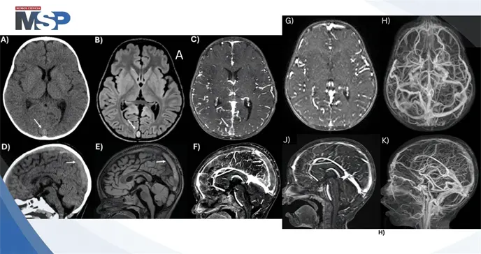
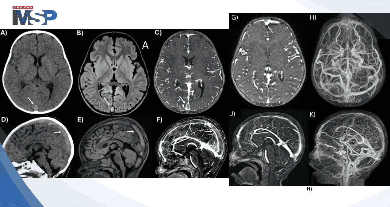
La tomografía computarizada craneal sin contraste mostró un seno sagital superior heterogéneo, hallazgo que fue confirmado mediante resonancia magnética cerebral y venografía por resonancia magnética, las cuales demostraron trombosis del seno transverso derecho, seno sagital superior y venas corticales adyacentes.
El paciente recibió transfusión de glóbulos rojos empaquetados e inició anticoagulación con heparina, además de suplementación con hierro elemental. La punción lumbar reveló una presión de apertura de 36 mmH2O con análisis citoquímico normal del líquido cefalorraquídeo. El electroencefalograma continuo no mostró alteraciones.
Durante la evaluación, se identificó que el niño consumía aproximadamente 24 onzas (710 ml) de leche de vaca diariamente, cantidad que se encuentra en el límite superior de lo considerado seguro por algunos expertos.
Se orientó a los padres sobre la suspensión de la leche de vaca y se proporcionó asesoramiento nutricional apropiado para la edad. Las pruebas serológicas confirmaron el diagnóstico de anemia ferropénica.
El seguimiento a los tres meses demostró resolución casi completa de las trombosis venosas en estudios de neuroimagen. La anticoagulación con heparina de bajo peso molecular se mantuvo durante cinco meses desde la presentación inicial.
Este caso ilustra, de acuerdo a Sam I. Hooshmand et al., una complicación grave pero prevenible de la anemia ferropénica en población pediátrica. Aunque la prevalencia de anemia ferropénica es relativamente baja en países de altos ingresos (4% en Norteamérica), hasta la mitad de los accidentes cerebrovasculares en niños previamente sanos pueden atribuirse a esta condición. La trombosis del seno venoso representa casi la mitad de los casos de accidente cerebrovascular pediátrico asociados a anemia ferropénica.
El consumo elevado de leche de vaca causa anemia ferropénica a través de múltiples mecanismos: bajo contenido de hierro, pérdida oculta de sangre intestinal e inhibición de la absorción de hierro no hemínico por el calcio y la caseína.
Los mecanismos fisiopatológicos que vinculan la anemia ferropénica con la trombosis venosa incluyen la trombocitosis reactiva y la microcitosis, que reducen la deformabilidad de los glóbulos rojos e inducen un estado de hipercoagulabilidad.
Este caso enfatiza la importancia del reconocimiento temprano de la anemia ferropénica y la necesidad de establecer límites claros y basados en evidencia para el consumo de leche de vaca en niños mayores de doce meses. Se sugiere considerar un límite máximo de 12 onzas (355 ml) diarias, proporcionando un margen de seguridad adecuado para prevenir complicaciones potencialmente mortales como las observadas en este paciente.