Un dolor de cabeza que empeora al estar de pie y mejora al acostarse es una señal de alerta. Esta cefalea ortostática fue la clave para identificar que no se trataba de migraña, sinusitis ni cambios hormonales, sino de un problema con la presión del líquido que rodea el cerebro.

Una mujer de 50 años, activa y sana, llegó a consulta con un dolor de cabeza que llevaba tres semanas sin ceder. Su historia comenzó el día después de una sesión intensa de ejercicios para fortalecer el torso.
Primero sintió un dolor en la parte superior de la espalda, y luego apareció un dolor de cabeza frontal, como una banda apretada alrededor de la frente, que empeoraba claramente al agacharse y mejoraba un poco al acostarse. Ningún analgésico común le hacía efecto.
Durante varias semanas, su dolor fue interpretado de distintas maneras. Primero, su médico de cabecera pensó en una sinusitis y le recetó antibióticos. Al no mejorar, se consideró una migraña y probó con un medicamento específico (sumatriptán).
Como el dolor persistía, incluso se sugirió que podía estar relacionado con los síntomas de la perimenopausia. La situación se volvió más alarmante cuando, además del dolor, comenzó con náuseas, vómitos, visión borrosa y sensación de desequilibrio. Fue en ese punto cuando la derivaron urgentemente al un hospital para una evaluación más profunda.
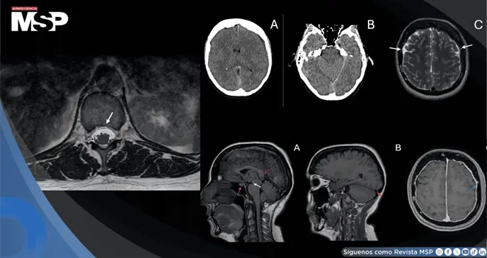
En el hospital, el examen neurológico inicial era normal. Sin embargo, al realizar una tomografía computarizada de cráneo para descartar problemas serios, los médicos encontraron un pequeño hematoma (acumulación de sangre) en el espacio que recubre el cerebro (espacio subdural).
Este hallazgo, en una paciente joven sin ningún golpe en la cabeza, fue la primera señal de que algo más complejo estaba ocurriendo.
La clave para el diagnóstico estuvo en conectar todos los puntos: el dolor de cabeza que empeoraba al estar de pie y mejoraba al acostarse (cefalea ortostática), el inicio tras un esfuerzo físico, y ahora, el hematoma espontáneo.
Se sospechó de una Hipotensión Intracraneal Espontánea (HIE). ¿Qué es esto? Es una condición en la que hay una pérdida del líquido cefalorraquídeo (el líquido que amortigua el cerebro y la médula espinal), lo que hace que el cerebro "cuelgue" y tire de estructuras sensibles, causando un dolor de cabeza posicional muy característico.
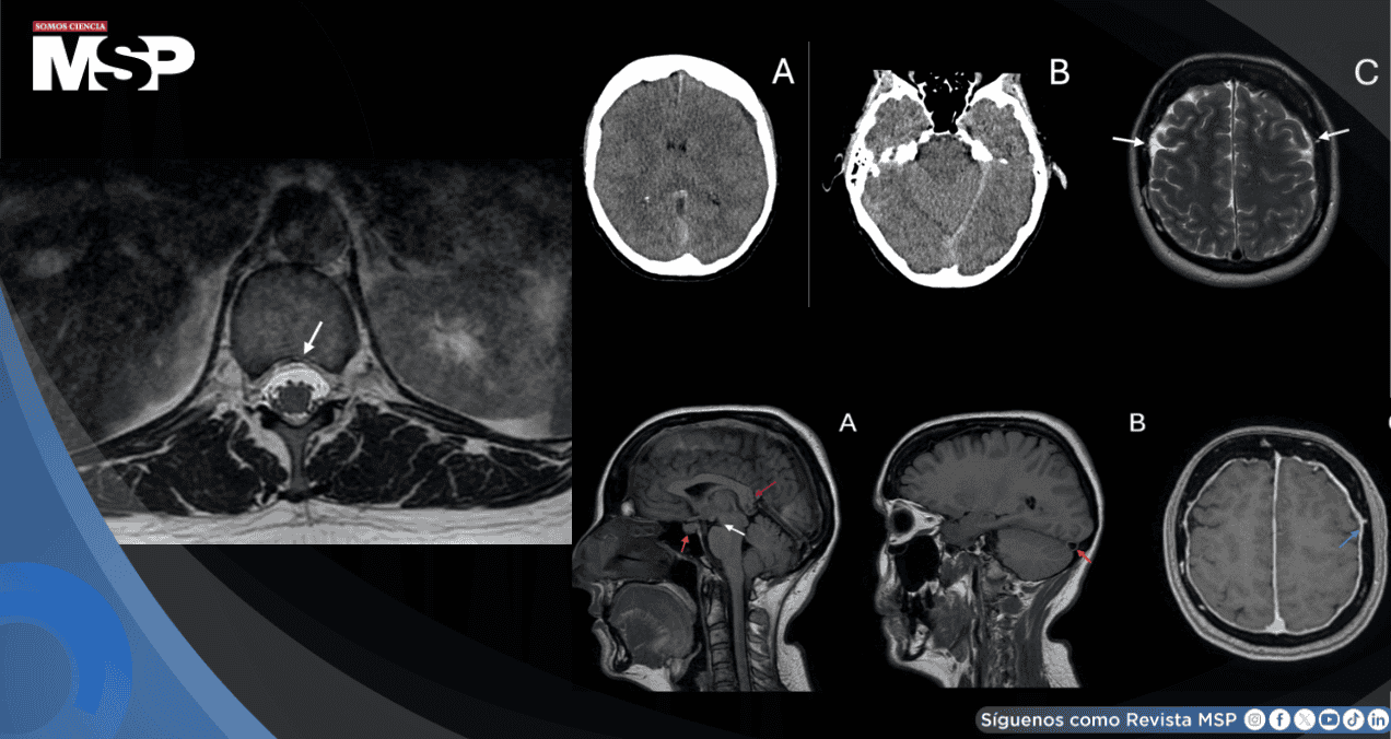
Una resonancia magnética especializada del cerebro y de toda la columna vertebral confirmó el diagnóstico. Mostró no solo el hematoma, sino otros signos típicos de la HIE, como un engrosamiento de las membranas que cubren el cerebro y, lo más importante, una pequeña fuga de líquido cefalorraquídeo en la parte baja de la columna (a la altura de las vértebras torácicas T12-L1).
El primer paso fue un tratamiento conservador: reposo, mucha hidratación y cafeína para intentar aumentar la presión del líquido. Al no ser suficiente, se procedió a un tratamiento mínimamente invasivo llamado Parche Hemático Epidural (PHE).
Este procedimiento consiste en inyectar una pequeña cantidad de la sangre de la propia paciente en el espacio que rodea la médula espinal en la zona lumbar. La idea es que la sangre forme un coágulo que "parche" la pequeña fuga de líquido, sellándola.
La paciente necesitó dos procedimientos de PHE (con 12 ml y luego 15 ml de sangre) con un mes de intervalo. Después del segundo, los síntomas comenzaron a mejorar de forma significativa.
Unos meses después, una nueva resonancia mostró que los signos de la HIE habían desaparecido casi por completo. En su visita de seguimiento, la paciente informó una gran mejoría, había vuelto a trabajar e incluso a nadar regularmente.
Este caso nos enseña que no todos los dolores de cabeza son migrañas o estrés. Un dolor de cabeza nuevo, diferente, que cambia de patrón o que tiene características específicas, como empeorar claramente al pararse, debe ser evaluado cuidadosamente.
Ahora, según los autores Homayra Tanzum F, Cherackakudy Joy A, Athreya Krishnamurthy R, et al., la HIE es una causa tratable, aunque a menudo se diagnostica tarde porque sus síntomas se atribuyen a otras causas más comunes.
Es importante saber que actividades que implican un esfuerzo intenso de la columna, como ciertos ejercicios, pueden, en raras ocasiones, ser un desencadenante. Por último, el caso subraya el valor de una comunicación detallada entre paciente y médico.
Que la paciente insistiera en cómo el dolor cambiaba con la postura fue una de las pistas más valiosas para llegar al diagnóstico correcto y un tratamiento que le permitió recuperar su calidad de vida.