El tratamiento temporal con esponja de gelatina logró controlar la hemorragia, pero la paciente presentó recurrencia del sangrado dos semanas después; aunque se recomendó usar material embólico permanente, ella rechazó esta opción.

Una paciente de 34 años, sin antecedentes médicos relevantes, acudió por un cuadro de hematuria macroscópica sin traumatismo asociado.
Tras cuatro días de manejo inicial en un hospital local, desarrolló dolor lumbar izquierdo agudo acompañado de síntomas sistémicos como vómitos, mareos, palpitaciones y fatiga, lo que motivó su traslado a nuestra institución. El examen físico reveló dolor a la palpación en la región del riñón izquierdo.
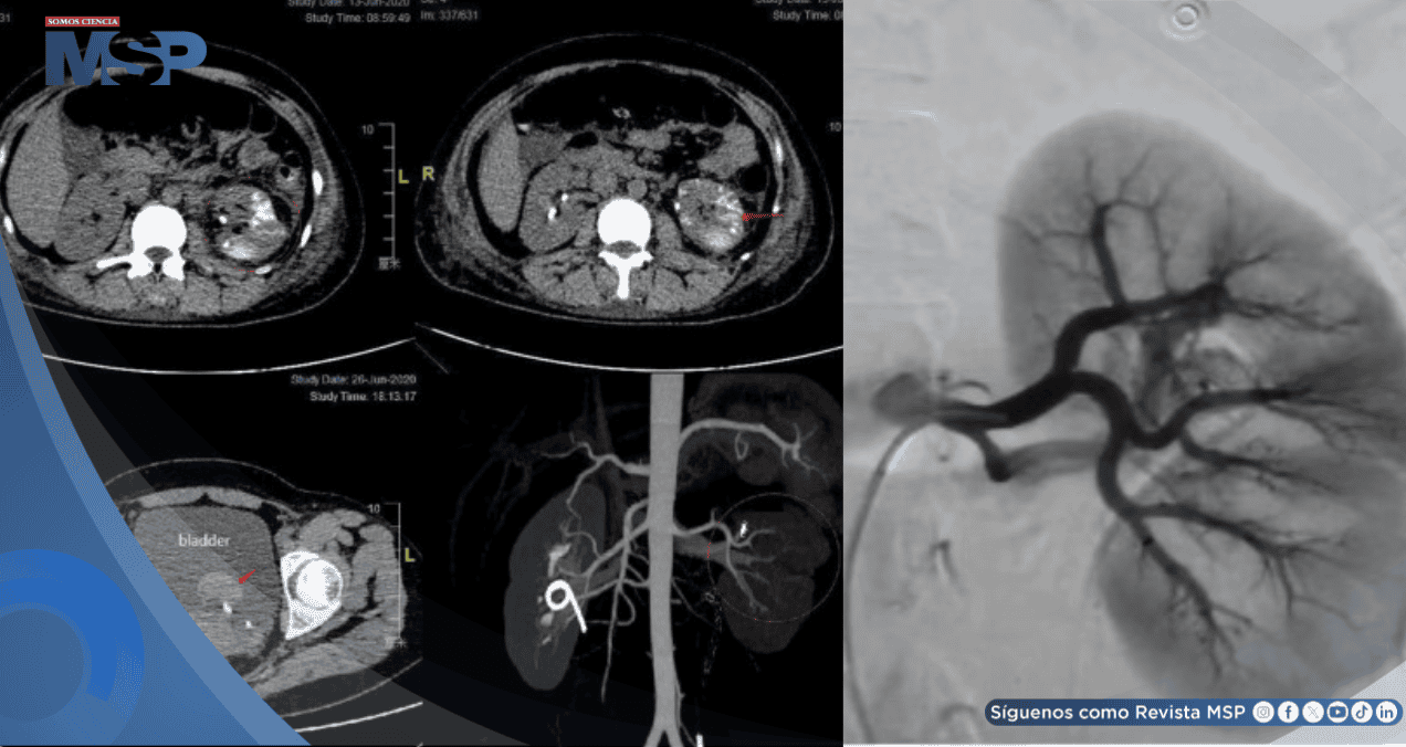
La ureteroscopia identificó un punto de sangrado pulsátil en los cálices renales medios izquierdos, sugiriendo una fístula arteriovenosa renal congénita (FAVr).
Este hallazgo se confirmó mediante angiografía por sustracción digital (DSA), la cual mostró una arteria renal izquierda dilatada y tortuosa que formaba una masa vascular, con opacificación precoz de la vena renal y la vena cava inferior en la fase arterial.
Se realizó una embolización urgente mediante cateterismo selectivo de la arteria renal izquierda. El procedimiento consistió en la oclusión con partículas de esponja de gelatina (560–710 µm) reforzada con tres resortes helicoidales. La DSA de control confirmó la eliminación exitosa de la derivación arteriovenosa.
Sin embargo, dos días después, una tomografía computarizada (TC) reveló múltiples lesiones de alta densidad en el parénquima renal izquierdo y líquido libre en la cavidad pélvica, indicando sangrado residual. La paciente fue dada de alta al octavo día post-embolización.
Reingreso y manejo de una recurrencia
Quince días después, la paciente fue rehospitalizada tras presentar hematuria recurrente. El análisis de orina mostró un recuento elevado de glóbulos rojos (45.690/µl). Una nueva TC abdominal evidenció un ligero sangrado en el riñón izquierdo y un hematoma vesical.
Ante esta recurrencia, el médico intervencionista recomendó el uso de materiales embólicos permanentes para una nueva embolización. No obstante, la paciente rechazó esta opción por motivos económicos y solicitó que se repitiera el procedimiento con esponja de gelatina.
La fístula arteriovenosa renal congénita se define como una comunicación anómala directa y única entre los vasos renales, resultante de una falla focal en el desarrollo vascular embriológico.
Su incidencia es muy baja, aproximadamente del 0.04% de la población, y suele manifestarse clínicamente en la adolescencia o la mediana edad. Su presentación más común es la hematuria macroscópica, ya que típicamente se localiza bajo la mucosa del sistema colector renal. La DSA sigue siendo el método diagnóstico de referencia por su alta precisión para identificar lesiones pequeñas y su anatomía vascular.
La embolización endovascular se mantiene como el tratamiento de primera línea. En este caso (Yong Wei, Qianying Ji, Zhenguo Qiao, Qingyi Zhu), el tratamiento inicial se realizó en un contexto de emergencia, lo que condicionó la elección del material embólico más disponible y seguro en ese momento, que fue de carácter temporal.
Aunque en el seguimiento a seis meses no se evidenció migración del material, los pacientes con FAVr requieren vigilancia de por vida debido al riesgo potencial de crecimiento de la lesión, recurrencia de la hematuria, dolor en el flanco, desarrollo de insuficiencia cardíaca de alto gasto o isquemia renal distal.
Sobre la base de la necesidad de un tratamiento definitivo que prevenga la recurrencia, y tras el manejo exitoso de la hemorragia aguda inicial con preservación de la función renal, se concluye que la mejor opción terapéutica, cuando es posible, es el uso de materiales embólicos permanentes.
La selección del tamaño y tipo del material es crucial, ya que afecta directamente a la eficacia y durabilidad de la embolización.