El paciente acudió dos meses después de lo programado para extracción del stent, encontrándose con una incrustación significativa y anudamiento de la punta superior en pelvis renal izquierda.

Un paciente masculino de 55 años, con peso de 85 kg y estatura de 178 cm, consultó por dolor intenso en flanco izquierdo de 21 días de evolución, acompañado de síntomas urinarios irritativos y hematuria macroscópica.
El paciente negó fiebre, escalofríos o antecedentes médicos relevantes. Sin historia de tabaquismo ni consumo de alcohol, trabajaba como obrero y reportaba ingesta hídrica normal.
Al examen físico, los signos vitales eran estables, pero presentaba sensibilidad marcada en el ángulo costovertebral izquierdo. El resto del examen fue no contributorio.
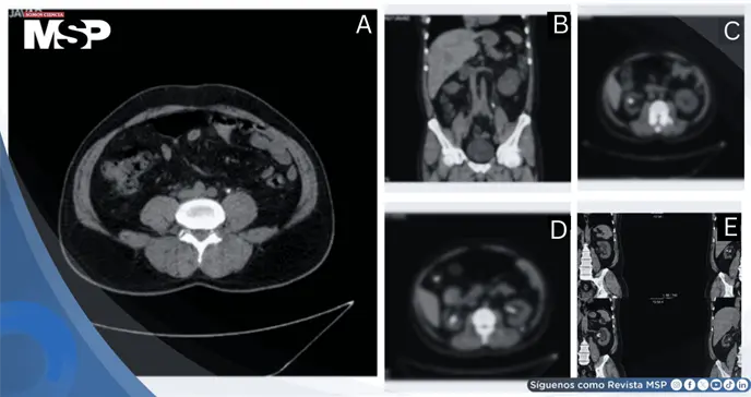
Se realizó tomografía computarizada sin contraste como modalidad de imagen primaria, seleccionada por su precisión superior en la detección de carga litiásica, hidronefrosis y complicaciones potenciales. Los hallazgos revelaron:
Riñón izquierdo: Cálculo de 15 × 8 mm en uréter medio, causando hidronefrosis severa con signos inflamatorios en el sistema colector
Riñón derecho: Cálculo de 13 × 10 mm en pelvis renal, causando hidronefrosis leve
Los resultados de laboratorio mostraron creatinina sérica elevada (6.39 mg/dL), confirmando uropatía obstructiva.
Se realizó nefrostomía percutánea (PCN) inmediata para aliviar la presión en el sistema colector izquierdo y mejorar la función renal.
Esta modalidad se prefirió sobre la colocación de stent DJ debido a la obstrucción completa, hidronefrosis significativa y necesidad de descompresión inmediata. El paciente mantuvo la PCN durante 2 semanas, tras lo cual los niveles de creatinina se normalizaron.
Después de 2 semanas, se realizó litotripsia transuretral (TUL). Sin embargo, debido a estenosis ureteral significativa, se insertó un stent DJ en lado izquierdo. Dada la hidronefrosis leve derecha, se colocó otro stent DJ bilateral, seguido de litotripsia extracorpórea por ondas de choque (ESWL) en lado derecho para facilitar la fragmentación del cálculo pélvico.
Cuatro semanas después, con función renal estable, se realizó ureteroscopia bilateral. Se extrajo el stent derecho y se removió exitosamente un pequeño fragmento litiásico con cesta. El cálculo ureteral izquierdo se fragmentó completamente con litoclasto. Debido a inflamación significativa y edema, se reemplazaron nuevos stents DJ bilaterales para garantizar drenaje y cicatrización adecuados.

(A- D) Vista endoscópica que muestra el stent doble J anudado dentro de la pelvis renal izquierda. La imagen muestra el complejo entrelazamiento del stent, destacando los desafíos encontrados durante la intervención endoscópica para la extracción del stent.
El paciente fue instruido para regresar en 4 semanas para extracción de stents, pero se presentó 2 meses después. Una tomografía computarizada de control mostró tracto urinario permeable sin evidencia de incrustación o anudamiento. Las pruebas de laboratorio preoperatorias, incluyendo bioquímica, creatinina y urocultivo, fueron normales.
Bajo anestesia espinal, se intentó extracción cistoscópica del stent DJ izquierdo con pinza, sin éxito. Mediante ureteroscopio semirrígido de 8 Fr, se identificó:
Incrustación significativa a lo largo de todo el stent DJ
Anudamiento de la punta superior del stent en pelvis renal izquierda
A pesar de que la tomografía computarizada preoperatoria no reveló la incrustación, probablemente debido a la sensibilidad limitada de la TC sin contraste para materiales radiolúcidos y la orientación del stent, la evaluación endoscópica confirmó su presencia.
Se optó por un abordaje mínimamente invasivo en lugar de procedimientos más invasivos como nefrolitotomía percutánea (PCNL). Se utilizó litoclasto para fragmentar cuidadosamente las incrustaciones desde el uréter hasta la pelvis renal. El litoclasto se prefirió sobre fragmentación láser por su eficacia en ruptura de incrustaciones endurecidas, disponibilidad y rentabilidad.
Con maniobras precisas y sin cortar el stent, se desenredó el nudo y se extrajo completamente el stent DJ. Se colocó un nuevo stent DJ ureteral de 5 Fr para garantizar drenaje. La cirugía duró 60 minutos.
El paciente permaneció en observación 24 horas, demostrando niveles de creatinina estables sin complicaciones. Fue dado de alta en buenas condiciones. En el seguimiento al mes, no se detectaron cálculos residuales ni anomalías funcionales, retornando a actividades normales.
Los stents DJ anudados son extremadamente raros, con menos de 100 casos reportados mundialmente. Los factores de riesgo incluyen: Tiempos de retención prolongados, colocación inadecuada y variaciones anatómicas (uréteres cortos)
Aproximadamente el 90% de los stents anudados se localizan en uréter proximal o pelvis renal. La incrustación, aunque frecuentemente vinculada a infecciones urinarias, trastornos metabólicos o formación de biopelículas, no está directamente implicada en el anudamiento.
Este caso según Seyed Reza Hosseini et al., demuestra la eficacia de una estrategia mínimamente invasiva en el manejo de stents DJ anudados e incrustados. A diferencia de estrategias convencionales donde la incrustación severa frecuentemente conduce a procedimientos más invasivos, se optó por abordaje endoscópico.
El uso combinado de ureteroscopio semirrígido y fragmentación con litoclasto permitió limpiar exitosamente el segmento incrustado, liberando la punta del stent para su extracción completa mediante pinza, evitando técnicas abiertas o percutáneas. Este enfoque preservó la integridad ureteral y minimizó la morbilidad del paciente.