Paciente con cáncer de mama triple negativo metastásico fungiante, que tras progresar a dos líneas de quimioterapia, logró una respuesta clínica significativa con radioterapia ultrahipofraccionada

Una mujer de 83 años acudió al servicio de urgencias con una historia de seis meses de evolución de una masa en mama izquierda, acompañada de secreción purulenta, sangrado y síntomas constitucionales en el último mes.
La paciente no contaba con antecedentes de tamizaje mamográfico previo y se encontraba en tratamiento anticoagulante con apixabán por embolia pulmonar diagnosticada un año antes. Su estado funcional correspondía a un ECOG 2, manteniendo independencia para actividades básicas de la vida diaria.
El examen físico reveló una masa mamaria ulcerada y purulenta de 10 x 12 cm en la posición horaria 1 de la mama izquierda, con una segunda lesión más pequeña en la posición horaria 4 del mismo lado. La mama presentaba eritema difuso sin retracción del pezón ni piel de naranja. Se palpó adenopatía axilar izquierda móvil de pequeño tamaño.
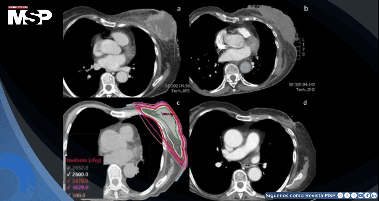
La tomografía computarizada de tórax documentó la gran masa fungiante en mama izquierda, adenopatías axilares y retropectorales con captación anormal, además de múltiples nódulos pulmonares inespecíficos.
El rastreo óseo evidenció un foco de hipercaptación en sacro compatible con metástasis. La biopsia confirmó carcinoma invasivo de mama triple negativo (receptor de estrógenos negativo, receptor de progesterona negativo, HER2 negativo) de grado 2. El estadio clínico fue cT4bN1M1.
La paciente inició quimioterapia paliativa con paclitaxel semanal en ciclos de tres semanas con una semana de descanso. Tras tres ciclos se documentó progresión tumoral tanto en mama como en pulmones, por lo que se cambió a esquema con doxorrubicina semanal bajo el mismo régimen de ciclos.
Durante este tratamiento presentó una reacción de hipersensibilidad que ocasionó demora terapéutica, y posteriormente desarrolló empeoramiento del drenaje purulento sugestivo de infección.
La tomografía de control tras tres ciclos de doxorrubicina mostró aumento del tamaño de la masa mamaria y de los nódulos pulmonares, documentando nueva progresión de la enfermedad.
Ante la progresión sintomática se decidió suspender la doxorrubicina e iniciar radioterapia ultrahipofraccionada a toda la mama izquierda con esquema FAST-Forward de 26 Gy en 5 fracciones.
La simulación se realizó en posición supina con brazos elevados sobre tabla de alas, utilizando técnica de retención respiratoria en inspiración profunda con gestión de posición en tiempo real.
El plan tridimensional conformado cubrió toda la mama desde el borde inferior de la clavícula hasta 2 cm por debajo del surco inframamario, desde el esternón medio medialmente hasta la línea axilar media lateralmente.
Se emplearon campos tangenciales con bloques de media viga, energía de 6 MV y bolo de 5 mm sobre la piel. Los parámetros dosimétricos cumplieron con las restricciones del protocolo FAST-Forward: V95% de mama izquierda 98,4%, dosis media cardíaca 0,35 Gy, dosis media a arteria coronaria 0,99 Gy, V8 Gy de pulmón izquierdo 8,42%, V12,5 Gy 6,8%, y dosis máxima 104,7% de la dosis prescrita. Se realizó verificación diaria con imágenes ortogonales de kilovoltaje.
La evaluación un mes posterior a completar la radioterapia mostró dermatitis leve por radiación, con posterior reepitelización sobre la masa que eliminó la necesidad de apósitos. Dos semanas después de finalizar la radioterapia se reinició la doxorrubicina paliativa.
La tomografía de tórax realizada 3,5 meses después de completar la radioterapia ultrahipofraccionada demostró una reducción tumoral dramática, con medidas de la masa de 0,8 x 1,8 cm, representando una respuesta clínica mayor.
El seguimiento a seis meses confirmó ausencia de complicaciones relacionadas con la radioterapia y sin empeoramiento de los síntomas.
La paciente expresó su experiencia con el tratamiento radiante: "Experimenté algo de picazón de la piel durante aproximadamente un mes después de la radiación, pero no necesité ningún medicamento para esto. No tuve muchos cambios en mis niveles de energía. El tumor se redujo y se volvió mucho más manejable, y pude proceder con la quimioterapia.".
Este caso ilustra de acuerdo a Yejun Hong et al., la eficacia del esquema ultrahipofraccionado FAST-Forward en el contexto paliativo para tumores mamarios sintomáticos intactos.
Con una dosis total equivalente en 2 Gy (EQD2) de 40,6 Gy utilizando a/ß de 3,7 Gy para tejido mamario, este régimen proporciona una dosificación biológicamente equivalente a esquemas adyuvantes convencionales de 40 Gy en 15 fracciones (EQD2 44,7 Gy), mientras que resulta sustancialmente superior a esquemas paliativos cortos como 8 Gy en fracción única (EQD2 16,4 Gy) o 20 Gy en 5 fracciones (EQD2 27 Gy).
La importancia del control local en pacientes con cáncer de mama metastásico radica en su pronóstico potencial de varios años, donde el manejo sintomático y la calidad de vida adquieren relevancia fundamental.
Los esquemas convencionales fraccionados prolongados requieren re-irradiación en 18% de casos con tiempo medio de 16 meses, mientras que dosis únicas de 8 Gy necesitan re-tratamiento en 44% de pacientes con tiempo medio de solo 3 meses. El esquema FAST-Forward ofrece una alternativa que equilibra control local durable, eficacia sintomática, toxicidad mínima y conveniencia para el paciente.