La hiperemesis gravidarum es una forma grave de náuseas y vómitos del embarazo que afecta hasta el 2% de las gestaciones.

Paciente femenina de 33 años, con 14 semanas de gestación (G4P3), con antecedentes de nefrolitiasis, trombosis venosa abdominal, preeclampsia, trastorno bipolar tipo I, trastorno de ansiedad generalizada y abuso de sustancias.
Consultó al servicio de urgencias por varios días de evolución de dolor lumbar derecho constante, agudo, calificado en 10/10, irradiado al flanco derecho, acompañado de náuseas y vómitos persistentes.
La paciente no presentaba fiebre, disuria, dolor abdominal ni sensibilidad a la palpación de la columna vertebral. El día previo al ingreso, en otro centro hospitalario, se le realizó una tomografía computarizada (TC) de abdomen que reportó un probable cálculo renal derecho no obstructivo de 1 mm; sin embargo, el apéndice no fue visualizado en ese estudio. La paciente refirió síntomas similares durante episodios previos de nefrolitiasis.
A su ingreso, la ecografía abdominal no evidenció hidronefrosis. El análisis infeccioso —incluyendo hemocultivos y urocultivo— fue negativo. El recuento leucocitario inicial fue normal (7,7). Urología fue consultada y consideró poco probable que un cálculo de ese tamaño justificara la intensidad del dolor referido.
En el segundo día de internación, los laboratorios evidenciaron una leucocitosis significativa (20,0) con neutrofilia (89,3%) e hiponatremia leve. No obstante, los valores se normalizaron progresivamente: 12,1 el tercer día y 9,7 el cuarto día, sin ninguna intervención específica. Los marcadores inflamatorios mostraron elevación moderada (proteína C reactiva 55,8; velocidad de sedimentación globular 31), hallazgos que pueden observarse fisiológicamente durante el embarazo.
Dado que el dolor se exacerbaba con los vómitos y no variaba con el posicionamiento, la palpación ni el movimiento, se planteó la hipótesis de que podría ser secundario a espasmo muscular por emesis frecuente. Sin embargo, ante la refractariedad al tratamiento analgésico —incluyendo morfina parenteral a dosis crecientes— se decidió ampliar el estudio diagnóstico.
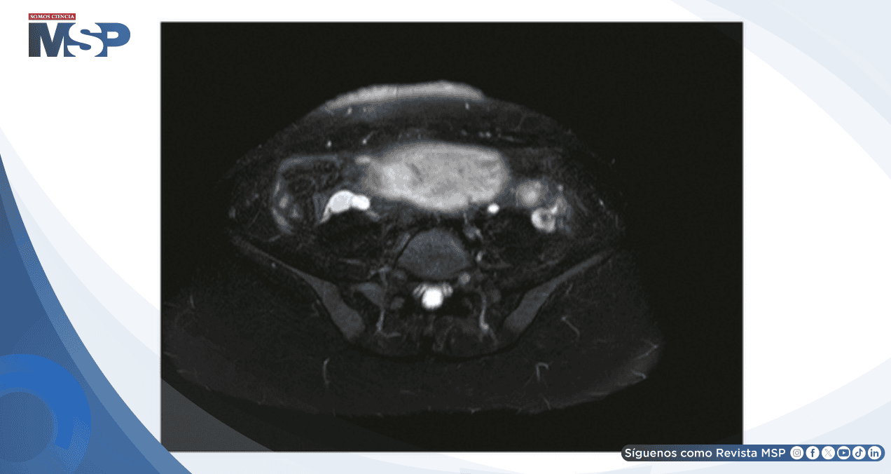
Se realizó resonancia magnética (RM) y venografía por resonancia magnética (MRV) de abdomen y pelvis sin contraste, que evidenció:
Apendicitis aguda no complicada con un apéndice de 12 mm y cambios inflamatorios periapendiculares, sin signos de perforación.
Pelviectasia derecha leve (4,9 mm).
La procalcitonina resultó elevada a 0,61, lo que, en conjunto con los hallazgos imagenológicos, orientó definitivamente al diagnóstico.
La paciente fue ingresada inicialmente por dolor intratable y náuseas, requiriendo un abordaje multidisciplinario coordinado.
El servicio de Obstetricia intervino para optimizar el régimen antiemético en el contexto de su hiperemesis gravídica, mientras que Psiquiatría asumió el ajuste de la medicación para el trastorno bipolar, ofreciéndole risperidona como terapia complementaria, la cual fue aceptada por la paciente dada su búsqueda activa de alivio sintomático.
Paralelamente, la unidad de Manejo del Dolor fue consultada ante el requerimiento progresivamente creciente de opiáceos y la naturaleza implacable del cuadro álgico, que no cedía a pesar de las dosis frecuentes de morfina parenteral y analgésicos complementarios.
Se inició piperacilina-tazobactam intravenosa. En los días subsiguientes la paciente presentó mejoría clínica progresiva. Completó seis días de antibióticos intravenosos, con control adecuado del dolor y tolerancia a la vía oral al momento del alta.
Si bien la apendicectomía es el tratamiento de primera línea para la apendicitis aguda durante el embarazo, la literatura reciente documenta el tratamiento exitoso con antibióticos en casos no complicados durante la gestación. En este caso particular, la naturaleza no complicada del cuadro y el trimestre de embarazo orientaron la decisión hacia el manejo médico conservador, con resultado favorable.
Este caso representa, hasta donde se conoce, la primera descripción de apendicitis aguda enmascarada en el contexto de hiperemesis gravídica. De acuerdo a Janice Chung et al., lo más destacable es que el dolor intratable de la paciente, refractario a analgesia máxima, se resolvió tras el tratamiento de la apendicitis, a pesar de una presentación clínica atípica y hallazgos radiológicos apenas sugestivos.
La HG es un diagnóstico de exclusión, y este caso lo ilustra con claridad: ante un dolor que no responde al tratamiento esperado, siempre deben buscarse causas orgánicas concurrentes. La presentación sin fiebre, con leucocitosis transitoria y marcadores inflamatorios sólo moderadamente elevados —que además pueden ser fisiológicos en el embarazo— dificultaron y retrasaron el diagnóstico oportuno.