El cuadro se caracterizó por neumonía necrotizante, aleteo auricular con respuesta ventricular rápida, insuficiencia cardíaca biventricular y formación de trombos intracardíacos bilaterales.

Un hombre de 43 años sin comorbilidades cardiovasculares conocidas consultó al servicio de urgencias tras cuatro días de disnea progresiva y fiebre intermitente.
Como antecedente relevante, el paciente refería consumo crónico de anfetaminas, cannabis y benzodiazepinas. Al ingreso, el electrocardiograma reveló aleteo auricular con conducción 2:1 y frecuencia ventricular de 150 latidos por minuto.
Los marcadores inflamatorios mostraron elevación significativa de proteína C reactiva (136 mg/L) y el NT-proBNP alcanzó 2147 ng/L, sugiriendo compromiso cardíaco agudo.
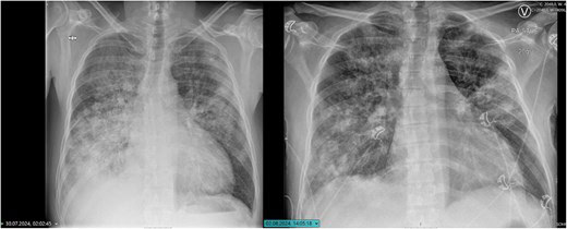
La radiografía de tórax evidenció infiltrados bilaterales difusos con pequeño derrame pleural, mientras que la ecocardiografía transtorácica documentó un ventrículo izquierdo dilatado con hipocinesia global y fracción de eyección severamente reducida del 30%.
La tomografía computarizada de tórax descartó embolia pulmonar pero confirmó neumonía bilateral confluente. Se inició tratamiento con penicilina G, posteriormente modificada a piperacilina-tazobactam para ampliar cobertura antibiótica, además de amiodarona intravenosa para control de la arritmia.

Radiografías de tórax desde la admisión inicial (izquierda) y la reingreso (derecha). La imagen inicial muestra amplias consolidaciones bilaterales consistentes con neumonía grave y derrame pleural. En la readmisión, hay una consolidación bilateral persistente pero ligeramente mejorada, lo que indica una resolución parcial de los infiltrados pulmonares.
Tras solo dos días de tratamiento antibiótico parenteral, el paciente decidió abandonar el hospital contraindicación médica. A pesar de permanecer en aleteo auricular con frecuencia ventricular elevada, sus signos vitales se mantuvieron relativamente estables con saturación de oxígeno del 94%.
Se le prescribieron antibióticos orales, pero rechazó categóricamente la anticoagulación recomendada y la cardioversión eléctrica, además de negarse a la ecocardiografía transesofágica necesaria para descartar trombos previo a cualquier intento de reversión del ritmo.
Apenas 24 horas después del alta voluntaria, el paciente reingresó en estado de shock con presión arterial de 90/55 mmHg, frecuencia respiratoria de 28 por minuto y saturación de oxígeno del 91%.
El análisis gasométrico mostró hipoxemia significativa con PaO2 de 8.1 kPa y elevación del lactato sérico. Los marcadores cardíacos se incrementaron aún más, con NT-proBNP de 3022 ng/L, y llamativamente, el dímero D superó 20 mg/L, sugiriendo un estado protrombótico severo.
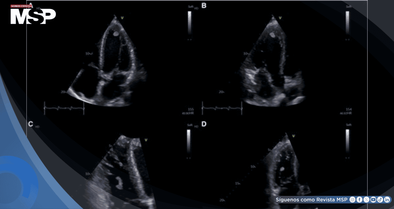
La ecocardiografía de reingreso reveló un deterioro dramático de la función ventricular izquierda, ahora con fracción de eyección del 22%.
El hallazgo más alarmante fue la identificación de dos masas intracardíacas: una masa pedunculada adherida a las cuerdas tendinosas de la válvula tricúspide y otra localizada en el ápice del ventrículo izquierdo. A pesar del compromiso biventricular, la función sistólica del ventrículo derecho se mantenía relativamente preservada en este momento.
Se inició tratamiento intensivo con heparina de bajo peso molecular a dosis plenas, amiodarona, soporte inotrópico vasodilatador y cobertura antibiótica de amplio espectro con cloxacilina, gentamicina y azitromicina.
La tomografía de seguimiento confirmó la presencia de trombos en ambos ventrículos, aunque afortunadamente no se detectaron fenómenos embólicos sistémicos en cerebro, hígado, bazo o riñones.
El día 13 tras el inicio de los síntomas, la serología confirmó infección por Mycoplasma pneumoniae, lo que llevó al ajuste del esquema antibiótico a ciprofloxacina y vancomicina.
Para el día 14, el paciente desarrolló delirio y agravamiento del shock cardiogénico, con nueva evidencia de disfunción ventricular derecha. Ante el riesgo inminente de eventos tromboembólicos catastróficos, fue trasladado a un centro terciario para soporte con balón de contrapulsación intraaórtico y cardioversión eléctrica exitosa del aleteo auricular.
El paciente evolucionó favorablemente tras la cardioversión, manteniendo ritmo sinusal con infusión continua de amiodarona. Fue dado de alta el día 29 con mejoría significativa de la fracción de eyección (35-40%) y tratamiento anticoagulante con edoxaban, además de completar esquema antibiótico prolongado con doxiciclina y ertapenem.
Los estudios de trombofilia realizados al alta revelaron anticoagulante lúpico ligeramente elevado, sugiriendo un componente autoinmune en la fisiopatología del estado protrombótico.
Este caso de acuerdo con Ai Phi Thuy Ho et al., señala la capacidad del Mycoplasma pneumoniae de desencadenar complicaciones trombóticas graves, incluso en pacientes jóvenes sin factores de riesgo cardiovascular tradicionales.
La formación de trombos biventriculares representa una complicación extraordinariamente rara que probablemente resultó de múltiples factores: los efectos protrombóticos directos del patógeno, la disfunción ventricular severa con estasis sanguínea, la respuesta inflamatoria exagerada y posiblemente una predisposición autoinmune no diagnosticada previamente.
El comportamiento del paciente, incluyendo el alta voluntaria temprana y el rechazo inicial a la anticoagulación, contribuyó significativamente a la evolución tórpida.
Su historia de consumo crónico de estimulantes pudo haber favorecido un estado de hipercoagulabilidad y respuesta inmune desregulada.
Este caso destaca la necesidad de mantener un alto índice de sospecha para complicaciones cardiovasculares en neumonías atípicas, especialmente cuando se acompañan de marcadores inflamatorios y dímero D marcadamente elevados, así como la importancia crítica de la anticoagulación temprana en pacientes con factores de riesgo trombótico.