La ruptura de una aguja espinal durante una cesárea urgente dejó un fragmento de 4 cm en la musculatura paravertebral de una paciente embarazada.

Una gestante primigesta de 40 semanas ingresó en trabajo de parto activo tras ruptura espontánea de membranas.
Sus antecedentes relevantes incluían escoliosis y obesidad con índice de masa corporal de 34.3 kg/m². Se intentó obtener radiografías previas para caracterizar la escoliosis, pero no estaban disponibles al momento del ingreso.
Se solicitó analgesia epidural para el trabajo de parto. El primer intento resultó en aspiración de sangre, mientras que el segundo en el espacio L3-L4 con aguja Tuohy 18G fue exitoso. Sin embargo, el alivio del dolor permaneció subóptimo durante las siguientes horas.
Ante la falta de progresión del trabajo de parto y fiebre intraparto, se indicó cesárea urgente. La evaluación del catéter epidural demostró bloqueo inadecuado, decidiéndose su retiro. El anestesiólogo realizó anestesia espinal con aguja Whitacre 27G (B. Braun Pencan®, 88 mm) con introductor en el mismo espacio. El procedimiento resultó técnicamente complejo, requiriendo tres intentos antes de obtener líquido cefalorraquídeo.
Durante la punción exitosa, el reflujo de líquido cefalorraquídeo fue notablemente más lento de lo esperado, por lo que se administró únicamente una dosis reducida de anestésico local intratecal. Al intentar retirar la aguja, se encontró resistencia inesperada y ocurrió la fractura del material. Solo se recuperó la porción proximal, quedando un fragmento distal de aproximadamente 4 cm en la región paravertebral.
Se procedió inmediatamente con anestesia general para completar la cesárea, que transcurrió sin incidentes adicionales.
Tras la cirugía, la paciente permaneció completamente asintomática, sin dolor lumbar, cefalea, fiebre ni síntomas neurológicos. El examen físico no reveló déficits sensitivos, alteraciones motoras ni anomalías neurológicas.
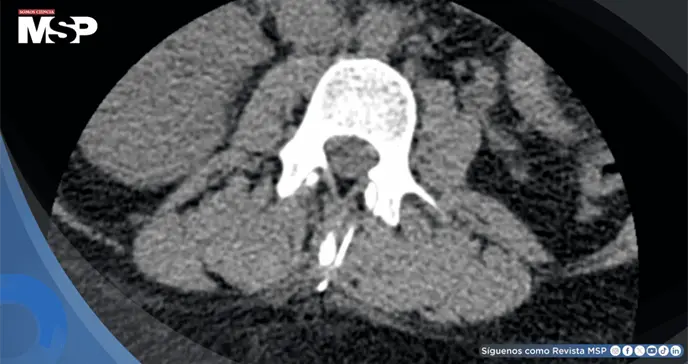
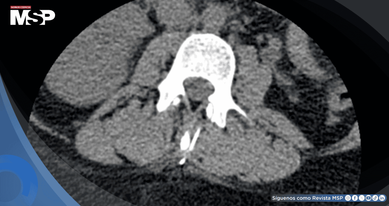
La tomografía computarizada confirmó la presencia del fragmento metálico lineal ubicado en la musculatura paravertebral a nivel L3, aproximadamente 1 cm lateral al proceso espinoso. No se identificó compromiso del canal espinal, hematoma epidural ni otras complicaciones asociadas. La localización superficial del fragmento fue determinante para la planificación terapéutica.
Al tercer día posparto se realizó extracción quirúrgica endoscópica mínimamente invasiva bajo anestesia general. Considerando la edad joven de la paciente, la ubicación accesible del fragmento y el riesgo potencial de complicaciones tardías (migración, infección, dolor diferido), se optó por la intervención quirúrgica temprana.
El procedimiento transcurrió exitosamente con guía por imágenes, recuperando completamente el fragmento sin complicaciones intraoperatorias. El sangrado fue mínimo y no requirió transfusiones. La evolución postoperatoria fue favorable, con deambulación al día siguiente y manejo con analgesia oral convencional.
En el seguimiento a dos semanas, la paciente continuaba asintomática, sin dolor residual, síntomas neurológicos ni limitaciones funcionales. El fabricante de la aguja fue notificado formalmente como parte del protocolo de farmacovigilancia.
Este caso ilustra la confluencia de múltiples factores de riesgo para complicaciones mecánicas en anestesia neuroaxial: obesidad, escoliosis y necesidad de múltiples intentos. Las variaciones anatómicas y la dificultad en la identificación de referencias óseas aumentan la probabilidad de desviación, flexión y tensión mecánica sobre la aguja, especialmente durante su retirada.
La decisión terapéutica se fundamentó en la localización superficial del fragmento, la edad joven de la paciente y la accesibilidad quirúrgica. Aunque el manejo conservador con seguimiento estrecho puede considerarse en pacientes asintomáticos con fragmentos profundos o alto riesgo quirúrgico, la extracción temprana elimina el riesgo potencial de migración, infección o desarrollo tardío de síntomas.
La prevención de esta complicación incluye la selección apropiada del material, minimización de intentos de punción, evitar fuerza excesiva y mantener correcta alineación entre introductor y aguja espinal.
La ecografía neuroaxial preprocedimiento emerge como herramienta valiosa en pacientes con anatomía desafiante, permitiendo mejor identificación de la línea media, estimación de profundidad y mayor tasa de éxito en el primer intento, reduciendo así el riesgo de complicaciones mecánicas.
La implementación más amplia de esta tecnología en poblaciones de riesgo podría disminuir significativamente la incidencia de eventos adversos raros como el descrito.