Los hallazgos sugieren que tanto la infección por SARS-CoV-2 como la vacunación podrían actuar como desencadenantes de trastornos autoinmunes en personas genéticamente susceptibles, aunque no se establece una relación causal definitiva.

Una mujer de 64 años sin antecedentes médicos relevantes acudió a consulta médica presentando dolor e inflamación cervical, acompañados de caída del cabello, estreñimiento y aumento de peso progresivo. La evaluación endocrinológica inicial incluyó estudios de laboratorio y una ecografía tiroidea que reveló la presencia de dos nódulos en el lóbulo izquierdo de la glándula tiroides.
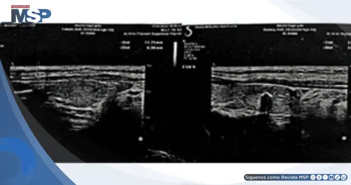
Los hallazgos ecográficos mostraron ambos lóbulos tiroideos con tamaño reducido y disminución heterogénea de la ecogenicidad del parénquima, hallazgos compatibles con tiroiditis linfocítica crónica.
Específicamente se identificaron dos lesiones: un nódulo sólido isoecoico de 18 mm con calcificaciones y patrón de elastografía limítrofe, y otro nódulo isoecoico de 11.7 mm sin calcificaciones pero con vascularización periférica.
La biopsia tiroidea confirmó el diagnóstico de tiroiditis de Hashimoto sin evidencia de malignidad, por lo que se inició tratamiento con levotiroxina 50 mg diarios. Durante el seguimiento, la paciente desarrolló rigidez matutina en articulaciones metacarpofalángicas e interfalángicas proximales aproximadamente diez meses después del diagnóstico tiroideo.
Considerando los antecedentes familiares, como su hermano con diagnóstico de nefritis lúpica, y los nuevos síntomas articulares, se realizaron estudios complementarios que confirmaron el diagnóstico de lupus eritematoso sistémico (LES).
El manejo terapéutico incluyó hidroxicloroquina 250 mg, prednisolona 5 mg y coenzima Q10 diariamente, logrando una mejoría significativa de los síntomas que permitió posteriormente reducir la frecuencia de la medicación a dos veces por semana.
La paciente había recibido esquema completo de vacunación contra COVID-19 que incluyó dos dosis de Sinopharm en julio de 2021 y dosis de refuerzo de PastoCovac Plus en enero de 2022.
Además, presentó infección confirmada por COVID-19 en febrero de 2022 con síntomas leves. La línea de tiempo mostró que la tiroiditis de Hashimoto se manifestó aproximadamente cinco meses después de la dosis de refuerzo, mientras que los síntomas de LES aparecieron cerca de cuatro meses después de la infección por COVID-19.
La hija de la paciente anterior, mujer de 36 años sin antecedentes médicos relevantes, consultó por dolor cervical e inflamación tiroidea acompañada de caída del cabello. Los estudios de laboratorio y ecografía confirmaron tiroiditis de Hashimoto, iniciándose tratamiento con levotiroxina 50 mg diario con mejoría sintomática a los seis meses.
Esta paciente había recibido vacunación completa con Covaxin en mayo de 2021 y refuerzo con PastoCovac Plus en octubre de 2021, presentando infección por COVID-19 un año después de la vacunación con síntomas leves. En este caso, los síntomas de tiroiditis aparecieron aproximadamente cuatro meses después de la infección por SARS-CoV-2.
La posible relación entre infecciones virales y desarrollo de enfermedades autoinmunes adquiere relevancia en el contexto de la pandemia por COVID-19. Si bien la vacunación ha demostrado eficacia en la prevención de formas graves de la enfermedad, existen reportes de enfermedades autoinmunes como hepatitis autoinmune y tiroiditis posterior a la vacunación.
Los mecanismos propuestos para explicar esta asociación incluyen la red antiidiotípica, la propagación de epítopos y el mimetismo molecular. En el caso específico de la infección por COVID-19, se ha observado que los casos graves presentan mayor activación de linfocitos B, lo que conlleva aumento en la producción de anticuerpos y potencial desarrollo de autoinmunidad.
El primer caso muestra una secuencia temporal donde la tiroiditis apareció posterior a la vacunación de refuerzo, mientras que el LES se manifestó después de la infección por COVID-19.
El segundo caso desarrolló tiroiditis aproximadamente cuatro meses después de la infección. Estos patrones temporales sugieren que tanto la vacunación como la infección podrían actuar como desencadenantes de enfermedades autoinmunes en individuos susceptibles.
La aparición de LES casi dos años después de la vacunación hace menos probable la asociación directa con la vacuna, mientras que la proximidad temporal con la infección por COVID-19 sugiere una posible relación causal. Los antecedentes familiares de enfermedades autoinmunes en ambos casos refuerzan la hipótesis de la predisposición genética como factor fundamental.
Estos casos (Mona Sadat Larijani et al.) destacan la importancia de considerar trastornos autoinmunes en pacientes que presenten síntomas compatibles, especialmente aquellos con antecedentes familiares positivos, independientemente del tiempo transcurrido desde la vacunación o infección por COVID-19.
Si bien no puede establecerse una relación causal definitiva, la asociación temporal merece mayor investigación mediante estudios longitudinales que permitan caracterizar mejor estos fenómenos de aparición tardía.
La vigilancia continua y el reporte de casos similares contribuirán al mejor entendimiento de los potenciales efectos autoinmunes tardíos asociados tanto a la infección por SARS-CoV-2 como a la vacunación, particularmente en poblaciones con predisposición genética.