A pesar del tratamiento intervencionista exitoso mediante embolización, evolucionó con complicaciones de hipertensión portal severa, presentando descompensación aguda con hemorragia digestiva alta y choque hipovolémico.

Un hombre de 57 años ingresó al servicio de urgencias refiriendo dolor sordo y molestias persistentes en la región superior del abdomen con más de dos meses de evolución.
El paciente tenía como antecedente significativo un accidente automovilístico ocurrido en 2015 que le causó lesiones abdominales severas, requiriendo en su momento una resección parcial de intestino delgado y la realización de una colostomía.
Al momento del ingreso hospitalario, el examen físico reveló un paciente con evidente ictericia, manifestada por coloración amarillenta tanto de la piel como de las escleróticas.
El abdomen se encontraba distendido, con una cicatriz quirúrgica extensa de aproximadamente 25 centímetros de longitud visible en la región inferior derecha del abdomen.
Llamaba la atención la presencia de várices prominentes en la pared abdominal, signo indicativo de circulación colateral. A la palpación, el abdomen se encontraba blando y sin evidencia de sensibilidad o dolor a la presión.
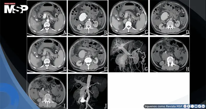
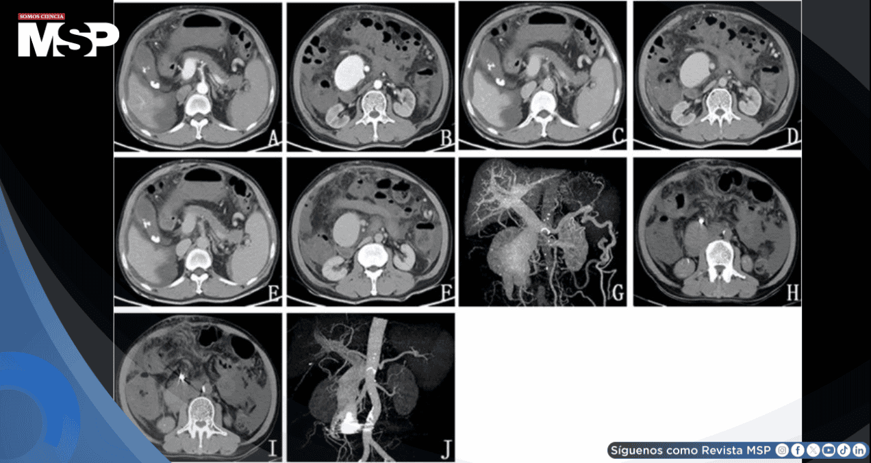
Los estudios de imagen realizados fueron determinantes para establecer el diagnóstico. La tomografía computarizada contrastada del abdomen superior junto con la venografía por tomografía de la vena porta demostraron hallazgos compatibles con cirrosis hepática establecida y esplenomegalia.
Sumado a eso, se identificó hipertensión portal con formación de extensa circulación colateral que comprometía el esófago, el fondo gástrico y la pared abdominal. Un hallazgo particularmente llamativo fue la dilatación de aspecto tumoral de la vena mesentérica superior, acompañada de formación de ascitis.
La cavografía de vena cava inferior y la arteriografía celíaca permitieron confirmar el diagnóstico definitivo de fístula arteriovenosa mesentérica superior de origen postraumático, estableciendo una relación directa con el accidente sufrido años atrás.
Ante estos hallazgos, se decidió realizar un procedimiento de cirugía vascular intervencionista para la oclusión de la fístula arteriovenosa mesentérica superior mediante técnicas endovasculares.
El procedimiento se completó exitosamente y el paciente mostró mejoría clínica inicial, siendo dado de alta hospitalaria con indicaciones de seguimiento ambulatorio.
Dos meses después de su egreso hospitalario, el paciente acudió nuevamente al servicio de urgencias presentando un cuadro de deterioro progresivo.
Refería coloración amarillenta de piel y escleróticas con más de 20 días de evolución, acompañada de pérdida del apetito y somnolencia marcada durante los últimos tres días.
El día de su reingreso, la situación clínica se tornó crítica cuando el paciente presentó evacuaciones de color negro, indicativas de hemorragia digestiva alta. Su condición hemodinámica se deterioró rápidamente, con caída abrupta de la presión arterial hasta cifras de 60/40 mmHg, configurando un cuadro de choque hipovolémico.
A pesar de las maniobras de reanimación y rescate implementadas, la respuesta al tratamiento fue pobre. Finalmente, el paciente y sus familiares decidieron el alta voluntaria, falleciendo posteriormente por las complicaciones de la hemorragia digestiva alta secundaria a várices esofágicas y gástricas.
La fístula arteriovenosa mesentérica superior de acuerdo con Chenglong Guo et al., representa una entidad clínica poco común que típicamente surge como consecuencia de trauma abdominal o como complicación iatrogénica de procedimientos quirúrgicos.
Su historia natural se caracteriza por una evolución insidiosa con síntomas inespecíficos que pueden permanecer durante meses o años. Inicialmente se manifiesta con dolor abdominal y diarrea, pero progresa hacia complicaciones graves de hipertensión portal incluyendo esplenomegalia, ascitis, várices esofagogástricas y sangrado gastrointestinal potencialmente fatal, como ocurrió en este caso.
El diagnóstico se establece mediante estudios de imagen, siendo la angiografía por tomografía computarizada en fases arterial y venosa el método de elección. La arteriografía digital por sustracción continúa siendo el estándar de oro para determinar la ubicación anatómica precisa y la extensión vascular, ofreciendo la mayor sensibilidad y especificidad diagnóstica.
Respecto al tratamiento, aunque históricamente la cirugía abierta ha sido la modalidad tradicional con el objetivo de eliminar la fístula y reconstruir el flujo vascular normal, esta presenta una mortalidad aproximada del 18% y es técnicamente compleja en pacientes con cirugías abdominales previas debido a las adhesiones.