La paciente presentó cambios en el hábito intestinal y sangrado rectal con imágenes compatibles con lesiones estenosantes, inicialmente sospechosas de neoplasia sincrónica.

Una mujer de 51 años, fue derivada a una clínica ambulatoria de gastroenterología tras presentar un cuadro clínico de aproximadamente un año de evolución. La paciente había notado una disminución significativa en sus hábitos intestinales, llegando a evacuar solamente cada tres días, acompañado de heces de características alargadas y punzantes, con un empeoramiento progresivo a lo largo de los meses.
Adicionalmente, refería episodios intermitentes de eliminación de sangre roja mezclada con las heces, los cuales ocurrían cada tres o cuatro semanas. Resulta relevante señalar que la paciente negaba cualquier tipo de dolor abdominal asociado, pérdida de peso o sudores nocturnos, síntomas que suelen estar presentes en patologías más agresivas.
Al realizar el examen físico, los signos vitales se encontraban dentro de parámetros normales, con presión arterial de 124 sobre 78 milímetros de mercurio, frecuencia cardíaca de 80 latidos por minuto y frecuencia respiratoria de 14 respiraciones por minuto. Las auscultaciones pulmonar y cardíaca no revelaron alteraciones de interés.
El abdomen se presentaba indoloro a la palpación, sin masas palpables ni visceromegalias, y los ruidos intestinales eran normales. El examen rectal no mostró nódulos, sangrado activo ni masas palpables, y no había agrandamiento de ganglios linfáticos.
En cuanto a sus antecedentes personales, la paciente tenía historia de colelitiasis sintomática por la cual se encontraba en espera de cirugía, dos cesáreas previas correspondientes a sus dos gestaciones y una histerectomía realizada en 2011 debido a fibromas uterinos.
Negaba el uso continuo de medicamentos, así como alcoholismo, tabaquismo o consumo de drogas. Un dato particularmente relevante para el caso es que no presentaba antecedentes familiares de enfermedades del tracto gastrointestinal ni de ningún tipo de cáncer.
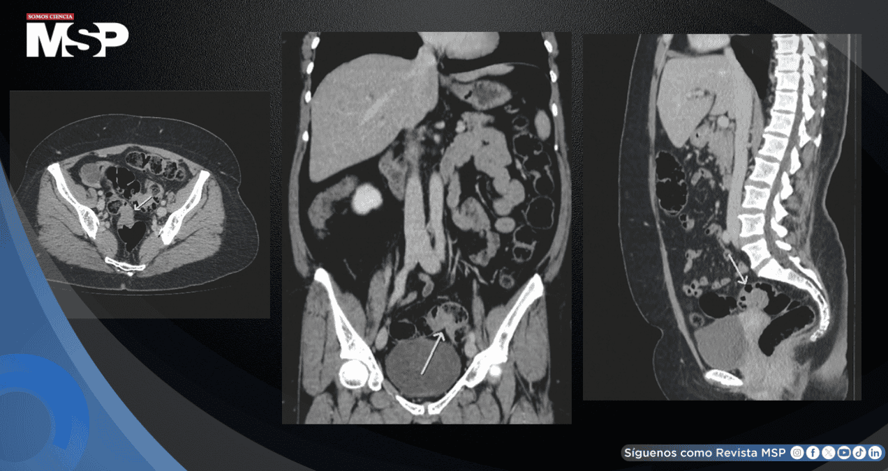
Las investigaciones se iniciaron con pruebas de laboratorio que incluyeron hemograma completo, función renal, electrolitos y pruebas de función hepática, todas las cuales resultaron normales. Posteriormente, se realizó una tomografía computarizada de abdomen que reveló dos áreas de engrosamiento parietal irregular.
La primera se localizaba en el recto superior, con una extensión aproximada de 3 centímetros, mientras que la segunda se encontraba en el segmento medio del colon sigmoide, midiendo alrededor de 2.5 centímetros de longitud.
Ambas lesiones presentaban impregnación con contraste y mostraban características estenosantes, aunque no determinaban una obstrucción intestinal significativa aguas arriba.
Entre las posibilidades diagnósticas consideradas inicialmente, destacaba la sospecha de una neoplasia colorrectal sincrónica, es decir, dos tumores primarios simultáneos.
Antes de realizar la colonoscopia, se practicó un enema opaco que confirmó los hallazgos observados en la tomografía. Durante la rectosigmoidoscopia, el dispositivo se insertó hasta 30 centímetros del margen anal, punto en el cual se observó una estenosis concéntrica cubierta por mucosa macroscópicamente normal, que impidió la progresión del instrumento.
A 15 centímetros del margen anal, se identificó un área adicional de reducción de calibre, esta vez cubierta por mucosa de aspecto irregular y friable. Se tomaron biopsias de esta área y el estudio anatomopatológico arrojó como resultado mucosa colónica sin alteraciones relevantes, un hallazgo que resultaría clave para reorientar el diagnóstico.
El sangrado intestinal bajo, representado en este caso como hematoquecia, constituye un signo que puede estar presente en diversas patologías, desde condiciones benignas hasta procesos malignos.
Lo verdaderamente notable en este caso son los cambios en el ciclo intestinal que presentó la paciente, con sangrado rectal cada tres o cuatro semanas, un patrón que debería alertar sobre la posibilidad de endometriosis como diagnóstico diferencial.
Es importante señalar que algunas pacientes pueden presentar múltiples lesiones de endometriosis que afectan a más de un segmento intestinal.
En este caso concreto, se encontraron dos áreas de engrosamiento parietal irregular, una en el recto superior y otra en el colon sigmoide, que inicialmente se interpretaron como sospechosas de neoplasia sincrónica pero que, tras los hallazgos histológicos, resultaron compatibles con endometriosis infiltrativa profunda.
Un aspecto fundamental que ilustra este caso es que la extensión de la enfermedad no está necesariamente relacionada con la intensidad de los síntomas. Muchas mujeres pueden permanecer asintomáticas a pesar de presentar enfermedad extensa, siendo el hallazgo incidental la forma de detección. Por el contrario, algunas mujeres con enfermedad leve pueden experimentar síntomas incapacitantes.
La endometriosis infiltrativa profunda del intestino se caracteriza por invadir al menos a nivel de la serosa y la propia capa muscular. En el caso de esta paciente, el estudio anatomopatológico confirmó que se trataba de endometriosis infiltrativa profunda de pared intestinal, con compromiso de la submucosa y las capas musculares interna y externa, acompañada de fibrosis. Esto evidencia enfermedad extensa según la clasificación patológica, a pesar de que la paciente no había presentado síntomas hasta un año antes de la consulta.
Resulta particularmente llamativo que durante la mayor parte de su vida reproductiva, la paciente no hubiera manifestado los síntomas clásicos de la endometriosis, como dispareunia, dismenorrea e infertilidad, lo que sin duda contribuyó a que el diagnóstico no se considerara inicialmente.
El tejido endometrial fuera del útero constituye probablemente una enfermedad subdiagnosticada, según diversos reportes en la literatura médica. Se presume que algunas pacientes con trastornos funcionales diagnosticados como síndrome del intestino irritable podrían en realidad tener endometriosis intestinal, ya que los síntomas de ambas patologías son inespecíficos y pueden superponerse significativamente.
Por lo tanto, el diagnóstico correcto de endometriosis resulta de gran relevancia clínica porque ofrece alternativas terapéuticas sencillas durante la etapa reproductiva, como la terapia hormonal, que pueden mejorar sustancialmente la calidad de vida de las pacientes y evitar intervenciones quirúrgicas innecesarias.
En este caso, el diagnóstico definitivo permitió reorientar el abordaje terapéutico y evitar una cirugía mayor basada en la sospecha inicial de neoplasia colorrectal.