El VIH debilitó gravemente el sistema inmunológico del paciente (CD4 162), permitiendo que una bacteria poco común como Rhodococcus causara un absceso pulmonar severo que simuló tuberculosis y no respondió al tratamiento habitual.

Un hombre de aproximadamente 40 años, previamente sano y no fumador, acudió a la consulta de neumología con un cuadro de un mes de evolución caracterizado por fiebre alta intermitente, sudores nocturnos, pérdida de 10 kilogramos de peso, tos seca y dolor pleurítico en el lado izquierdo del tórax.
Negaba alergias, viajes recientes, consumo de sustancias o exposición a animales y tierra. Trabajaba en el aeropuerto.
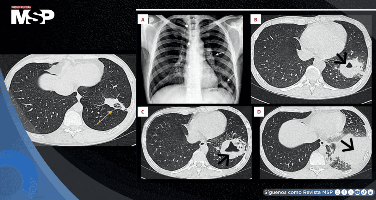
La radiografía de tórax mostró adenopatía hiliar izquierda y una opacidad mal definida en la zona inferior del pulmón izquierdo. Se solicitaron pruebas de VIH y estudios de bacilos acidorresistentes en esputo, pero no se realizaron ni recibieron seguimiento. Tampoco se tomaron hemocultivos.
La tomografía computarizada reveló una lesión cavitada de 55 por 41 milímetros en el lóbulo inferior izquierdo, acompañada de adenopatía hiliar izquierda y ganglios mediastínicos aumentados de tamaño.
El paciente buscó una segunda opinión y, aproximadamente cinco semanas después del inicio de los síntomas, se comenzó tratamiento antituberculoso empírico con isoniacida, rifampicina, etambutol y pirazinamida. También recibió clindamicina y ceftriaxona por posible absceso pulmonar, además de dexametasona durante una semana por indicación poco clara.
Se programó una biopsia pulmonar que no se realizó por deficiencias en el seguimiento y coordinación. Tres semanas después, ante la persistencia de síntomas, se añadió levofloxacino. Sin embargo, a las siete semanas, una nueva tomografía mostró empeoramiento con una cavitación de 60 por 49 milímetros.
Se retomó entonces la biopsia pulmonar guiada por tomografía, aspirándose 10 mililitros de pus. Mientras se esperaban los cultivos, se reinstauraron clindamicina y ceftriaxona, añadiéndose voriconazol empírico.
La tinción de Gram mostró abundantes células de pus y escasos bacilos grampositivos, inicialmente identificados como Corynebacterium, un hallazgo que suele interpretarse como contaminación. Sin embargo, el cultivo definitivo aisló Rhodococcus especies, aunque no fue posible la identificación a nivel de especie.
Los cultivos para anaerobios, hongos y micobacterias fueron negativos. La biopsia mostró inflamación sin evidencia de malignidad o granulomas.
Con el diagnóstico de absceso pulmonar por Rhodococcus, se suspendieron clindamicina y voriconazol. Se discontinuó la terapia antituberculosa después de nueve semanas sin respuesta. Se añadió linezolid parenteral a la ceftriaxona, basándose en el antibiograma que mostraba sensibilidad.
El departamento de enfermedades infecciosas no fue consultado hasta más de un mes después del diagnóstico de Rhodococcus. Para entonces, los síntomas llevaban cinco meses de evolución.
Se realizó una prueba urgente de VIH que resultó positiva, con un recuento de CD4 de 162 células por milímetro cúbico y una carga viral de 533,552 copias por mililitro.
Debido a la falta de disponibilidad de antirretrovirales en el sector privado de Pakistán, el paciente fue referido al programa provincial de control de SIDA, donde se inició terapia con tenofovir, lamivudina y dolutegravir.
También se inició profilaxis para Pneumocystis jiroveci con trimetoprim-sulfametoxazol y para Mycobacterium avium complex con azitromicina. Los antibióticos se ajustaron a moxifloxacino y linezolid, suspendiendo ceftriaxona. No pudo iniciarse rifampicina por falta de disponibilidad.
Aproximadamente cinco semanas después de iniciar la terapia antirretroviral, el paciente presentó nueva tos, fiebre y hemoptisis. La tomografía mostró empeoramiento con una consolidación cavitaria de 87 por 80 milímetros en el lóbulo inferior izquierdo, acompañada de nódulos, derrame pleural leve y adenopatías.
El lavado broncoalveolar identificó Klebsiella especies y Pseudomonas aeruginosa. Los cultivos para hongos y bacilos acidorresistentes fueron negativos.
Se prescribió ertapenem durante una semana para Klebsiella y ciprofloxacino para Pseudomonas. Sin embargo, el paciente desarrolló escalofríos, rigores y fiebre tras la primera dosis de ciprofloxacino, por lo que se suspendió. El moxifloxacino, inicialmente suspendido, se reanudó sin problemas.
Actualmente, el paciente completa siete meses de tratamiento con moxifloxacino y linezolid orales. Una tomografía de seguimiento mostró marcada mejoría, con cambios fibróticos residuales. Ha regresado a trabajar y mantiene adherencia a la terapia antirretroviral, con CD4 de 221 células por milímetro cúbico y carga viral de 187 copias por mililitro.
Rhodococcus es un microorganismo grampositivo que se encuentra en el suelo y el agua, causante de infecciones en huéspedes inmunocomprometidos como personas con VIH, trasplantados y pacientes con terapia inmunosupresora. Se transmite principalmente por inhalación de aerosoles contaminados.
Este es el primer caso reportado de absceso pulmonar por Rhodococcus en un paciente con SIDA en Pakistán. Los tres casos previos reportados en el país fueron en pacientes sin VIH, todos con exposición ambiental o animal, a diferencia de este paciente.
El caso evidencia múltiples obstáculos en entornos con recursos limitados: retraso en el cribado de VIH, biopsia pulmonar diferida, falta de continuidad asistencial, identificación microbiológica errónea inicial, imposibilidad de tipificación a nivel de especie y falta de disponibilidad de medicamentos esenciales como rifampicina en presentación individual.
Según los autores, Wali T.A. y Shafi H., la infección pulmonar es la presentación más frecuente de Rhodococcus, manifestándose como neumonía cavitaria o absceso. En huéspedes inmunocomprometidos se requiere tratamiento combinado con al menos dos antibióticos, preferiblemente con actividad intracelular como macrólidos, fluoroquinolonas o rifampicina.
La mortalidad en pacientes con VIH alcanza el 34 por ciento, significativamente mayor que en inmunocompetentes, debido a la inmunodeficiencia y al retraso diagnóstico.
Este caso subraya la importancia de considerar VIH en infecciones oportunistas, la necesidad de coordinación asistencial y los desafíos que enfrentan los sistemas de salud con recursos limitados para garantizar una atención oportuna y basada en evidencia.