El caso ilustra cómo el uso prolongado de corticosteroides inhalados y la disfunción inmunológica asociada a EPOC pueden predisponer a infecciones atípicas, requiriendo un alto índice de sospecha diagnóstica y técnicas invasivas para su identificación.

Un hombre de 86 años con antecedentes de EPOC en manejo desde 2018 acudió al servicio de urgencias con cuadro de insuficiencia respiratoria aguda.
Su tratamiento habitual incluía corticosteroides inhalados, antagonistas muscarínicos de acción prolongada, beta-agonistas de acción prolongada y roflumilast. Había recibido cursos cortos de prednisona oral para exacerbaciones previas, siendo el último seis meses antes del ingreso actual.
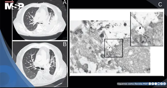
El paciente fue admitido en la unidad de cuidados intensivos médicos con diagnóstico inicial de neumonía severa. Los estudios de imagen revelaron consolidación en el lóbulo inferior izquierdo, compatible con proceso infeccioso. Se inició tratamiento empírico con piperacilina/tazobactam y metilprednisolona sistémica.
A pesar del tratamiento antibiótico de amplio espectro, la condición clínica del paciente continuó deteriorándose. Ante la falta de respuesta terapéutica, se decidió realizar una broncoscopia diagnóstica para obtención de muestras respiratorias directas. Los cultivos de esputo identificaron especies de Nocardia, confirmando el diagnóstico de nocardiosis pulmonar.
El recuento absoluto de neutrófilos se mantuvo dentro de parámetros normales tanto antes como durante la hospitalización, descartando inmunosupresión celular significativa.
Este hallazgo sugiere que la susceptibilidad a la infección no se debió a neutropenia, sino probablemente a la disfunción de macrófagos asociada con EPOC severa y al efecto inmunosupresor acumulativo de los corticosteroides.
Una vez establecido el diagnóstico microbiológico, se inició terapia específica con trimetoprim-sulfametoxazol (TMP-SMX).
Aunque no fue posible cultivar la especie específica de Nocardia para realizar pruebas de sensibilidad antimicrobiana, el paciente mostró mejoría clínica progresiva con el régimen terapéutico seleccionado.
Los estudios de imagen de seguimiento demostraron resolución parcial de la consolidación pulmonar. El paciente fue dado de alta con plan de seguimiento ambulatorio estrecho y continuación de la terapia antibiótica prolongada, como se requiere típicamente en casos de nocardiosis.
Este caso destaca varios aspectos importantes en el manejo de pacientes con EPOC de acuerdo a Joel Rodriguez-Ramos et al., primero, la EPOC severa constituye por sí misma un factor de riesgo para infecciones oportunistas debido a la disfunción inmunológica inherente, particularmente la alteración en la función de macrófagos alveolares.
Las especies de Nocardia tienen mecanismos específicos de evasión inmunológica, incluyendo factores de cordón y dimicolato de trehalosa, que interfieren con la fusión fagosoma-lisosoma, permitiendo su supervivencia intracelular.
Segundo, el uso crónico de corticosteroides inhalados, aunque a dosis bajas, puede contribuir al riesgo de infecciones atípicas. Si bien los corticosteroides sistémicos de altas dosis y uso prolongado están claramente asociados con inmunosupresión, el papel de los corticosteroides inhalados en el riesgo infeccioso es más controversial. Sin embargo, en pacientes con múltiples factores de riesgo, su contribución puede ser significativa.
El microbioma respiratorio alterado en pacientes con EPOC, caracterizado por la proliferación de especies bacterianas específicas incluyendo Actinomyces (familia taxonómica de Nocardia), crea un ambiente propicio para la colonización y posterior infección por patógenos oportunistas. Esta disbiosis se asocia con respuestas inflamatorias alteradas y daño estructural bronquial progresivo.
La nocardiosis pulmonar es difícil de diagnosticar debido a su presentación clínica inespecífica y a la dificultad para cultivar el microorganismo.
Los cultivos convencionales tienen baja sensibilidad, y el crecimiento de Nocardia puede requerir varios días. La broncoscopia se vuelve fundamental en pacientes que no responden a antibióticos de amplio espectro convencionales.
Las técnicas emergentes como la secuenciación del gen 16S rRNA ofrecen perspectivas prometedoras para la detección rápida y precisa de patógenos difíciles de cultivar. Estas herramientas moleculares podrían acortar significativamente el tiempo hasta el diagnóstico definitivo y el inicio de terapia dirigida.