Los hallazgos en resonancia magnética mostraron el patrón característico de edema vasogénico en regiones parieto-occipitales bilaterales.

Un hombre de 43 años con antecedentes de hipertensión arterial resistente de tres años de evolución, cistitis quística y tabaquismo activo, consultó al servicio de urgencias refiriendo cefalea bitemporal intensa, visión borrosa y mareos de tres días de evolución.
El paciente admitió haber suspendido su medicación antihipertensiva tres meses antes de la consulta. Tenía dos visitas previas a urgencias por cuadros similares asociados a cifras tensionales elevadas e hipopotasemia. En estudios previos se había descartado hipertensión secundaria mediante determinación de aldosterona, renina y panel genético para síndrome de Liddle. Su padre padecía hipertensión arterial.
Al ingreso, el paciente presentaba una presión arterial crítica de 225/141 mmHg, frecuencia cardíaca de 77 latidos por minuto y saturación de oxígeno del 97% respirando aire ambiente. El fondo de ojo reveló retinopatía hipertensiva grado IV con papiledema. El examen neurológico inicial no mostró déficit focal, con Glasgow 15/15, fuerza muscular conservada en las cuatro extremidades y ausencia de signos cerebelosos.
Los exámenes de laboratorio mostraron creatinina elevada en 132 µmol/L, hipopotasemia de 3.2 mmol/L, hipomagnesemia de 0.6 mmol/L y glucemia de 6.1 mmol/L. La albúmina sérica estaba disminuida en 26 g/L.
Se inició manejo antihipertensivo con nifedipino oral, valsartán e hidralazina, además de suplementación de potasio y magnesio. Ante la persistencia de cifras tensionales elevadas (201/134 mmHg), se agregó infusión de labetalol. El paciente fue trasladado a la unidad de alta dependencia para monitorización estrecha.
Al segundo día de hospitalización, y con presión arterial sistólica persistentemente mayor a 200 mmHg, el paciente presentó dos convulsiones tónico-clónicas generalizadas separadas por 15 minutos, sin recuperación del estado de conciencia entre ambas, configurando un estado epiléptico.
Se administró lorazepam 2 mg y levetiracetam 3 g intravenosos, logrando cesar la actividad convulsiva. Posteriormente desarrolló deterioro del estado mental con confusión, incapacidad para responder preguntas simples y Glasgow de 13/15, por lo que fue transferido a la unidad de cuidados intensivos.
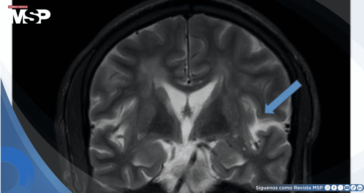
Se realizó resonancia magnética cerebral que demostró extensos parches de hiperintensidad en secuencias T2 y FLAIR distribuidos en el hemisferio cerebeloso izquierdo y regiones periventriculares y subcorticales bilaterales de ambos hemisferios, con predominio posterior.
Las secuencias de difusión (DWI/ADC) no mostraron restricción evidente. Las imágenes T1 con contraste revelaron realce leptomeníngeo parieto-occipital izquierdo. La angiorresonancia de vasos intracraneales descartó vasoespasmo, excluyendo el síndrome de vasoconstricción cerebral reversible.
Ante estos hallazgos radiológicos y la presencia de realce meníngeo, se realizó punción lumbar para descartar meningitis. El análisis del líquido cefalorraquídeo mostró parámetros normales de glucosa (4.13 mmol/L), proteínas (0.22 g/L) y lactato (1.7 mmol/L), descartando proceso infeccioso.
El paciente experimentó mejoría progresiva con control de la presión arterial (sistólica entre 160-175 mmHg) y recuperación gradual del estado mental (Glasgow 14/15), logrando responder preguntas coherentemente. Al sexto día fue transferido de la unidad de alta dependencia.
Sin embargo, dos días después presentó nuevo deterioro cognitivo con confusión y falta de atención, esta vez con presión arterial controlada (135/79 mmHg). El electroencefalograma mostró enlentecimiento generalizado compatible con encefalopatía, sin descargas epileptiformes.
Una nueva resonancia magnética evidenció focos mínimos de restricción a la difusión en tálamo izquierdo, lóbulo occipital izquierdo, región subcortical frontal derecha y corteza parietal derecha.
En los días subsecuentes, el paciente mostró mejoría sostenida del estado mental, alcanzando Glasgow 15/15, con cifras tensionales dentro de rangos normales y continuación de la terapia antiepiléptica. Fue dado de alta hospitalaria tras 11 días de internamiento, en condiciones estables y con mejoría clínica completa.
Este caso ilustra de acuerdo con Bassem Alhariri et al., la presentación clásica del síndrome PRES en el contexto de una crisis hipertensiva severa. La hipertensión arterial representa el factor de riesgo más frecuentemente asociado a PRES, y en este paciente, la suspensión de la medicación antihipertensiva tres meses antes precipitó el evento.
La fisiopatología del PRES se explica principalmente por la teoría vasogénica, según la cual la elevación súbita y marcada de la presión arterial supera los mecanismos de autorregulación cerebral, causando ruptura de la barrera hematoencefálica y edema vasogénico secundario. La predilección por regiones posteriores del cerebro se atribuye a la menor inervación simpática de la circulación vertebrobasilar.
Las manifestaciones clínicas de nuestro paciente, iniciando con cefalea y alteraciones visuales, seguidas por convulsiones y encefalopatía, son concordantes con el espectro típico de presentación del PRES.
El estado epiléptico, aunque grave, se presenta en una proporción significativa de pacientes y generalmente responde adecuadamente al tratamiento anticonvulsivante en combinación con el control de la presión arterial.