El linfoma de Hodgkin es poco común y su etiología se ha atribuido a fuentes infecciosas como el virus de Epstein-Barr. Estudios han revelado que proteínas virales específicas del VEB conducen el proceso de desarrollo del LH.

Una mujer de 38 años, sin antecedentes médicos significativos previos, acudió a evaluación por una masa cervical derecha indolora de aproximadamente dos semanas de evolución, asociada a síntomas leves de infección de vías respiratorias superiores.
La paciente mantenía su funcionalidad completa, incluyendo su rutina de ejercicios habitual. Es importante destacar la notable ausencia de síntomas B (fiebre, sudores nocturnos profusos, pérdida de peso superior al 10% en los últimos seis meses).
Entre sus antecedentes relevantes figuraba un episodio de mononucleosis infecciosa confirmada serológicamente 15 años antes. Los factores epidemiológicos incluían residencia en Honduras, viaje reciente a las Bahamas y consumo ocasional de carne cruda en forma de carpaccio.
La tomografía computarizada de cuello y tórax reveló adenopatías múltiples bilaterales en cadenas cervicales y mediastínicas. La resonancia magnética cervical mostró compromiso ganglionar supraclavicular y subcarinal bilateral.
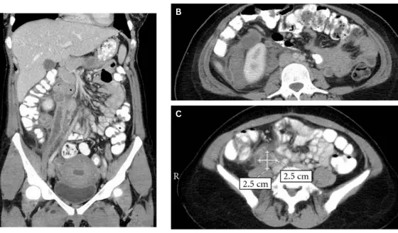
La extensión de la evaluación con tomografía de abdomen y pelvis demostró linfadenopatías retroperitoneales e ilíacas. El estudio PET-TC confirmó la naturaleza hipermetabólica de las adenopatías, con SUV máximo de 18.7 en las lesiones más activas, compatible con proceso linfoproliferativo maligno.
El hemograma mostró anemia normocítica normocrómica leve (hemoglobina 10.8 g/dL), con recuento leucocitario normal y fórmula diferencial sin atipias. La serología para VIH, hepatitis B y C, toxoplasmosis, citomegalovirus y brucelosis resultó negativa.
Los marcadores específicos para VEB mostraron: IgM VCA negativo, IgG VCA positivo (título 1:640), IgG EBNA positivo (título 1:160), patrón serológico compatible con infección remota. La PCR cuantitativa para ADN de VEB en sangre periférica mostró carga viral elevada (2020 UI/mL).
El estudio histológico de la biopsia ganglionar guiada por ultrasonido mostró arquitectura nodal distorsionada por infiltrado difuso de células neoplásicas grandes, incluyendo células de Reed-Sternberg clásicas y variantes lacunares.
El inmunofenotipo mostró: CD15+ (membranoso y golgi), CD30+ (membranoso y paranuclear), PAX5+ (débil), MUM1+, con expresión variable de CD20. Las células resultaron negativas para CD3, CD45, CD79a, BCL6, ALK1 y EMA. La hibridación in situ para EBER (EBV-encoded RNA) mostró fuerte positividad nuclear en las células neoplásicas. El estudio de reordenamiento génico mostró clonalidad para cadenas pesadas de inmunoglobulinas.
La evaluación de extensión mediante estudios imagenológicos y la ausencia de síntomas B permitieron clasificar el caso como Linfoma de Hodgkin Clásico EBV-positivo, estadio III según clasificación de Ann Arbor. El International Prognostic Score calculado fue 2 puntos (estadio III y anemia), correspondiente a riesgo intermedio.
Tras el primer ciclo se documentó reducción superior al 50% en el tamaño de las adenopatías palpables. La reevaluación PET-TC post-tres ciclos mostró respuesta metabólica completa (Deauville 2). La monitorización seriada de carga viral de VEB mostró descenso progresivo, con negativización (<20 UI/mL) tras el tercer ciclo.
Según los autores (Sosa Carcamo ZD, Alvarez S, Irizarry Alvarado JM.), la asociación entre VEB y Linfoma de Hodgkin está bien establecida, particularmente en variantes de esclerosis nodular y cellularidad mixta. El mecanismo patogénico implica la expresión de proteínas virales latentes (LMP-1, LMP-2A, EBNA-1) que activan vías de supervivencia celular (NF-?B, JAK/STAT) y promueven la transformación maligna.
El intervalo de 15 años entre la mononucleosis y el desarrollo de linfoma excede significativamente el período promedio reportado en la literatura (2.5-4 años), sugiriendo posibles factores individuales de persistencia viral o alteraciones inmunológicas subyacentes.
El valor pronóstico del estatus EBV en Linfoma de Hodgkin permanece controversial. Mientras algunos estudios sugieren peor pronóstico en pacientes EBV-positivos, especialmente en adultos mayores, otros reportan mejor respuesta a quimioterapia primera línea. La monitorización de carga viral ha demostrado utilidad en la evaluación de respuesta y detección temprana de recaída, como documentado en este caso.
La incorporación de nivolumab (anti-PD-1) en primera línea se basa en evidencia reciente del estudio CHECKMATE 205, que demostró mejora en supervivencia libre de progresión cuando se añade a quimioterapia.
Este abordaje es relevante en pacientes EBV-positivos, donde la expresión de LMP-1 puede inducir regulación positiva de PD-L1, creando un microambiente inmunosupresor susceptible a bloqueo de puntos de control inmunológico.
Este caso ilustra la importancia de considerar Linfoma de Hodgkin en pacientes con linfadenopatías persistentes, incluso con intervalos prolongados desde infección primaria por VEB; además, se evidencia a utilidad de la monitorización de carga viral como marcador de respuesta.