La suspensión del fármaco y tratamiento esteroideo corto resultaron en recuperación completa.

Mujer de 81 años con diagnóstico de carcinoma ductal invasivo de mama izquierda estadio IA, positivo para receptores de estrógeno y progesterona, HER2/neu negativo, diagnosticado en febrero de 2023 mediante mamografía de cribado que mostró asimetría en cuadrante superoexterno.
La paciente no presentaba historia previa de hepatopatía, enfermedades autoinmunes o consumo significativo de alcohol. Su medicación habitual incluía aspirina, lisinopril, sertralina, desipramina, paracetamol y complejo multivitamínico, negando consumo de suplementos herbales.
El tratamiento oncológico consistió en mastectomía parcial izquierda en mayo de 2023, seguida de radioterapia mamaria parcial acelerada con 30 Gy administrados en 5 fracciones. Se inició tratamiento adyuvante con anastrozol 1 mg diario en julio de 2023.
En marzo de 2024, tras 8 meses de tratamiento con anastrozol, la paciente acudió a consulta refiriendo orina oscura de una semana de evolución como síntoma principal, acompañada de hiporexia, astenia y debilidad generalizada. La exploración física reveló una paciente anictérica, con abdomen blando y depresible, sin presencia de edemas periféricos.
Las pruebas de función hepática realizadas en marzo de 2024 mostraron elevaciones marcadas con ALT de 1172 UI/L, AST de 988 UI/L, fosfatasa alcalina de 474 UI/L, bilirrubina total de 1.4 mg/dL y bilirrubina directa de 0.7 mg/dL.
Notablemente, la función hepática sintética se encontraba conservada con albúmina de 3.6 g/dL e INR de 1.0. Los marcadores inmunológicos revelaron anticuerpos anti-músculo liso positivos con título elevado de 1:640 e inmunoglobulina G de 1854 mg/dL. Los anticuerpos antinucleares y antimitocondriales resultaron negativos.
Las serologías virales para hepatitis A, B, C, VIH, virus de Epstein-Barr, citomegalovirus y herpes simple tipos 1 y 2 fueron todas negativas. Los niveles séricos de paracetamol fueron indetectables, y tanto la alfa-1 antitripsina como el hierro sérico se encontraban dentro de límites normales.
La ecografía hepática con estudio Doppler mostró un parénquima hepático de características normales, sin evidencia de trombosis portal ni otras alteraciones estructurales significativas.
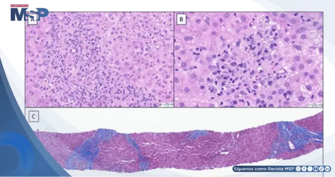
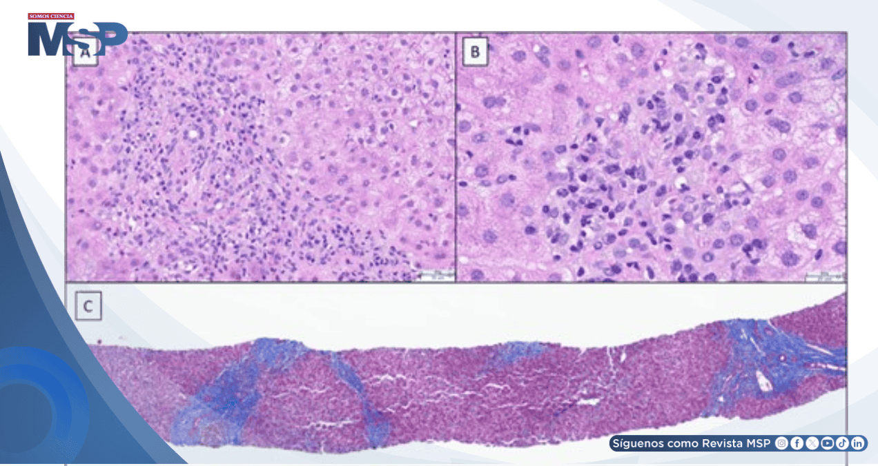
La biopsia hepática percutánea demostró un infiltrado linfoplasmocitario portal y lobular intenso con hepatitis de interfaz focal, necrosis confluente lobular y proliferación ductal leve, acompañado de depósitos de histiocitos epitelioides.
La tinción tricrómica reveló fibrosis portal prominente con áreas focales de fibrosis en puente, hallazgos compatibles con hepatitis autoinmune inducida por anastrozol.
Al ingreso hospitalario se procedió a la suspensión inmediata del anastrozol debido a la sospecha de hepatotoxicidad medicamentosa.
Se administró N-acetilcisteína intravenosa siguiendo el protocolo hepatoprotector estándar con dosis inicial de 150 mg/kg seguida de 100 mg/kg durante 2 días consecutivos. Adicionalmente, se inició tratamiento con prednisona 40 mg diarios durante 7 días como terapia inmunomoduladora.
La paciente presentó una respuesta clínica favorable temprana con mejoría sintomática y descenso significativo de las transaminasas tras la suspensión del anastrozol.
Dada la rápida mejoría observada y las reservas expresadas por la paciente respecto a la corticoterapia prolongada, se decidió discontinuar la prednisona después del curso de 7 días. Para continuar el tratamiento oncológico, se realizó el cambio a exemestano, un inhibidor de aromatasa esteroideo, que fue bien tolerado sin evidencia de hepatotoxicidad.
La evolución bioquímica fue extraordinariamente favorable. En junio de 2024, tres meses después del episodio inicial, se documentó la normalización completa de todas las pruebas de función hepática.
Los marcadores inmunológicos también se normalizaron, con anticuerpos anti-músculo liso negativos e IgG dentro de los límites normales. La tolerancia al exemestano ha sido excelente, sin evidencia de recurrencia de hepatotoxicidad o efectos adversos significativos.
Este caso, según los autores, Shahab Haghollahi et al., representa el cuarto caso reportado en la literatura médica de hepatitis autoinmune inducida por anastrozol, presentando características distintivas que amplían nuestro conocimiento sobre esta rara complicación.
La edad avanzada de 81 años de nuestra paciente es superior a los casos previamente reportados, que oscilaban entre 66 y 71 años, lo cual es particularmente notable dado que la hepatitis autoinmune típicamente presenta un patrón bimodal de edad en mujeres, con picos en la adolescencia tardía y alrededor de la menopausia.