Licenciada en Comunicación Social egresada de la Universidad de Los Andes, Táchira, Venezuela. Locutora Certificada por la Universidad Central de Venezuela. Redactora de Medicina y Salud Pública.
La leucemia mielógena aguda es un cáncer de la sangre y la médula ósea, es decir, del tejido esponjoso que se encuentra dentro de los huesos y el lugar donde se producen las células sanguíneas.
Ante esta situación es muy importante que los pacientes con diabetes estén totalmente preparados ante cualquier eventualidad.
El diagnóstico temprano es preponderante para exacerbar las comorbilidades asociadas.
El síndrome del túnel carpiano es una dolencia asociada tradicionalmente a profesionales como mecanografistas, cocineros y violinistas.
#MSP: Lo más relevante para médicos, pacientes y profesionales de la salud. #Pioneros
#MSP: Lo más relevante para médicos, pacientes y profesionales de la salud. #Pioneros
Estos medicamentos tienen opciones de infusión, inyección o alternativas orales.
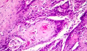
El hallazgo fue reportado por especialistas del Departamento de Patología de la Ponce Health Sciences University
El Dr. Rodríguez precisó que los avances han sido mayores en los últimos 10 y 15 años.
Los avances en cáncer de pulmón están disponibles en Puerto Rico.
La cirugía continúa como principal tratamiento efectivo contra el cáncer de piel, reitera el Dr. Ruiz.











