Se estima que un 20% de la población puertorriqueña padece de algún problema de tiroides y la presencia de nódulos aumenta según la edad del paciente.
De acuerdo al diagnóstico del linfoma y su tipo, se podrá dar un mejor tratamiento y ampliar la opción de cura total.
Los resultados preliminares del fármaco experimental sugieren que ha salvado la vida de enfermos desahuciados.
Los pólipos hamartomatosos solitarios son típicamente benignos y se descubren con mayor frecuencia en la población pediátrica, son muy raros en personas adultas.
A pesar de enfrentar un embarazo de alto riesgo y la incertidumbre de quién la atendería, María encontró fortaleza en su fe y el apoyo incondicional de su familia.
El estudio observó una reducción significativa en la progresión estructural en un 70% de los pacientes tratados con apremilast.
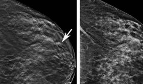
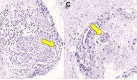
El uso de productos capilares para teñir y modificar la textura del cabello en la adolescencia aumenta el riesgo de padecer cáncer de mama.
Luego de nueve años de hacer parte de la Sociedad Puertorriqueña de Cardiología, el Dr. Luis Renta es el nuevo presidente de la sociedad.
Para prevenir y controlar esta condición, es importante cuidar la piel desde temprana edad y evitar jabones irritantes o fuertes.
La paciente entró a evaluación de rutina con síntomas asintomáticos, tras dos años de su tratamiento con agentes antivirales de acción directa contra la hepatitis C.
El tratamiento del liquen planopilaris es difícil debido a que las opciones actuales son limitadas en cuanto a la inflamación y evitar la progresión de la enfermedad.










