síndromes mielodisplásicos


Alteraciones en la producción de células sanguíneas: Síndromes mielodisplásicos
Alteraciones en la producción de células sanguíneas: Síndromes mielodisplásicos

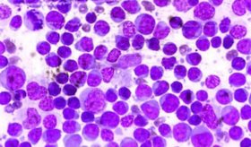
En personas con síndromes mielodisplásicos, las células madre de la médula ósea se convierten en células anormales, lo que afecta la producción y funcionalidad de las células sanguíneas, resultando en una disminución de su número.