isquémico


Joven puertorriqueño enfrenta infarto agudo con elevación del ST asociado síndrome antifosfolípido
Joven puertorriqueño enfrenta infarto agudo con elevación del ST asociado síndrome antifosfolípido

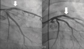
El síndrome coronario agudo rara vez ocurre en individuos jóvenes y rara vez se asocia con el síndrome antifosfolípido.