Tan solo hay 300 casos de síndrome de Schnitzler reportados desde 1972, hasta la actualidad.
La grasa que ingiere el cuerpo en un gran porcentaje queda en las articulaciones. Siendo uno de los problemas que más afecta a la población.
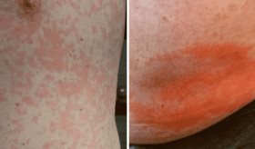
La afección causa dolor generalizado, fatiga, privación del sueño y depresión.
Al no ser tratada a tiempo, esta enfermedad, puede afectar diferentes órganos del paciente, es una patología que puede llegar a generar diferentes afecciones a nivel de pulmón.
Aunque no existe una cura para este tipo de patologías, un tratamiento adecuado y un diagnóstico temprano, puede mejorar la manifestación y sintomatología de la afección.




