carillas


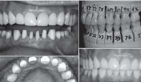
Pérdida dental no cariosa por factores erosivos, fue tratada con una reconstrucción total de la dentadura
Pérdida dental no cariosa por factores erosivos, fue tratada con una reconstrucción total de la dentadura

Actualmente, las estrategias de reconstrucción permiten un enfoque más conservador en la rehabilitación dental, utilizando materiales vitrocerámicos y técnicas de cementación adhesiva para minimizar la pérdida de estructura dental.