mixofibrosarcoma


Confunden tumor benigno con mixofibrosarcoma maligno en paciente de 65 años
Confunden tumor benigno con mixofibrosarcoma maligno en paciente de 65 años

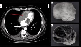
Los mixofibrosarcomas del corazón son tumores extremadamente raros, agresivos y de mal pronóstico, frecuentemente diagnosticados de manera tardía debido a síntomas inespecíficos.