espina


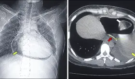
Perforación esofágica por ingestión de espina de pescado genera pericarditis y neumopericardio
Perforación esofágica por ingestión de espina de pescado genera pericarditis y neumopericardio

Las lesiones causadas por la ingestión de cuerpos extraños son raras pero son un desafío para los servicios de salud por las dificultades en el diagnóstico y manejo.